ARG59275
anti-SPTLC1 antibody
anti-SPTLC1 antibody for Flow cytometry,ICC/IF,IHC-Formalin-fixed paraffin-embedded sections,Western blot and Human,Mouse,Rat
概述
| 产品描述 | Rabbit Polyclonal antibody recognizes SPTLC1 |
|---|---|
| 反应物种 | Hu, Ms, Rat |
| 应用 | FACS, ICC/IF, IHC-P, WB |
| 宿主 | Rabbit |
| 克隆 | Polyclonal |
| 同位型 | IgG |
| 靶点名称 | SPTLC1 |
| 抗原物种 | Human |
| 抗原 | Synthetic peptide corresponding to aa. 444-473 of Human SPTLC1. (IRVVVTVEQTEEELERAASTIKEVAQAVLL) |
| 偶联标记 | Un-conjugated |
| 別名 | SPTI; LBC1; Serine palmitoyltransferase 1; Serine-palmitoyl-CoA transferase 1; EC 2.3.1.50; LCB1; SPT1; SPT 1; Long chain base biosynthesis protein 1; HSN1; LCB 1; HSAN1 |
应用说明
| 应用建议 |
|
||||||||||
|---|---|---|---|---|---|---|---|---|---|---|---|
| 应用说明 | IHC-P: Antigen Retrieval: By heat mediation. * The dilutions indicate recommended starting dilutions and the optimal dilutions or concentrations should be determined by the scientist. |
||||||||||
| 实际分子量 | 53 kDa |
属性
| 形式 | Liquid |
|---|---|
| 纯化 | Affinity purification with immunogen. |
| 缓冲液 | 0.9% NaCl, 0.2% Na2HPO4, 0.05% Sodium azide and 5% BSA. |
| 抗菌剂 | 0.05% Sodium azide |
| 稳定剂 | 5% BSA |
| 浓度 | 0.5 mg/ml |
| 存放说明 | For continuous use, store undiluted antibody at 2-8°C for up to a week. For long-term storage, aliquot and store at -20°C or below. Storage in frost free freezers is not recommended. Avoid repeated freeze/thaw cycles. Suggest spin the vial prior to opening. The antibody solution should be gently mixed before use. |
| 注意事项 | For laboratory research only, not for drug, diagnostic or other use. |
生物信息
| 数据库连接 | |
|---|---|
| 基因名称 | SPTLC1 |
| 全名 | serine palmitoyltransferase, long chain base subunit 1 |
| 背景介绍 | This gene encodes a member of the class-II pyridoxal-phosphate-dependent aminotransferase family. The encoded protein is the long chain base subunit 1 of serine palmitoyltransferase. Serine palmitoyltransferase converts L-serine and palmitoyl-CoA to 3-oxosphinganine with pyridoxal 5'-phosphate and is the key enzyme in sphingolipid biosynthesis. Mutations in this gene were identified in patients with hereditary sensory neuropathy type 1. Alternatively spliced variants encoding different isoforms have been identified. Pseudogenes of this gene have been defined on chromosomes 1, 6, 10, and 13. [provided by RefSeq, Jul 2013] |
| 生物功能 | Serine palmitoyltransferase (SPT). The heterodimer formed with SPTLC2 or SPTLC3 constitutes the catalytic core. The composition of the serine palmitoyltransferase (SPT) complex determines the substrate preference. The SPTLC1-SPTLC2-SPTSSA complex shows a strong preference for C16-CoA substrate, while the SPTLC1-SPTLC3-SPTSSA isozyme uses both C14-CoA and C16-CoA as substrates, with a slight preference for C14-CoA. The SPTLC1-SPTLC2-SPTSSB complex shows a strong preference for C18-CoA substrate, while the SPTLC1-SPTLC3-SPTSSB isozyme displays an ability to use a broader range of acyl-CoAs, without apparent preference. [UniProt] |
| 细胞定位 | Endoplasmic reticulum membrane; Single-pass membrane protein. [UniProt] |
| 预测分子量 | 53 kDa |
| 翻译后修饰 | Phosphorylation at Tyr-164 inhibits activity and promotes cell survival. [UniProt] |
检测图片 (4) Click the Picture to Zoom In
-
ARG59275 anti-SPTLC1 antibody ICC/IF image
Immunofluorescence: U2OS cells were blocked with 10% goat serum and then stained with ARG59275 anti-SPTLC1 antibody (green) at 2 µg/ml dilution, overnight at 4°C. DAPI (blue) for nuclear staining.
-
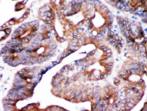
ARG59275 anti-SPTLC1 antibody IHC-P image
Immunohistochemistry: Paraffin-embedded Human intestinal cancer stained with ARG59275 anti-SPTLC1 antibody at 1 µg/ml dilution.
-
ARG59275 anti-SPTLC1 antibody WB image
Western blot: Rat brain, Mouse brain and MCF-7 whole cell lysates stained with ARG59275 anti-SPTLC1 antibody at 0.5 µg/ml dilution.
-
ARG59275 anti-SPTLC1 antibody FACS image
Flow Cytometry: U2OS cells were blocked with 10% normal goat serum and then stained with ARG59275 anti-SPTLC1 antibody (blue) at 1 µg/10^6 cells for 30 min at 20°C, followed by incubation with DyLight®488 labelled secondary antibody. Isotype control antibody (green) was rabbit IgG (1 µg/10^6 cells) used under the same conditions. Unlabelled sample (red) was also used as a control.
