ARG45407
anti-SPOPL antibody
anti-SPOPL antibody for Flow cytometry,ICC/IF,IHC-Formalin-fixed paraffin-embedded sections,Immunoprecipitation,Western blot and Human,Mouse
概述
| 产品描述 | Rabbit Polyclonal antibody recognizes SPOPL |
|---|---|
| 反应物种 | Hu, Ms |
| 应用 | FACS, ICC/IF, IHC-P, IP, WB |
| 宿主 | Rabbit |
| 克隆 | Polyclonal |
| 同位型 | IgG |
| 靶点名称 | SPOPL |
| 抗原物种 | Human |
| 抗原 | Recombinant protein containing to human SPOPL. |
| 偶联标记 | Un-conjugated |
| 別名 | SPOPL; Speckle Type BTB/POZ Protein Like; Speckle-Type POZ Protein-Like; Roadkill Homolog 2; HIB Homolog 2; BTBD33 |
应用说明
| 应用建议 |
|
||||||||||||
|---|---|---|---|---|---|---|---|---|---|---|---|---|---|
| 应用说明 | * The dilutions indicate recommended starting dilutions and the optimal dilutions or concentrations should be determined by the scientist. | ||||||||||||
| 实际分子量 | 45 kDa |
属性
| 形式 | Liquid |
|---|---|
| 纯化 | Affinity purified |
| 缓冲液 | 0.2% Na2HPO4, 0.9% NaCl and 4% Trehalose. |
| 稳定剂 | 4% Trehalose |
| 浓度 | 0.5 mg/ml |
| 存放说明 | For continuous use, store undiluted antibody at 2-8°C for up to a week. For long-term storage, aliquot and store at -20°C or below. Storage in frost free freezers is not recommended. Avoid repeated freeze/thaw cycles. Suggest spin the vial prior to opening. The antibody solution should be gently mixed before use. |
| 注意事项 | For laboratory research only, not for drug, diagnostic or other use. |
生物信息
| 数据库连接 | |
|---|---|
| 基因名称 | SPOPL |
| 全名 | Speckle Type BTB/POZ Protein Like |
| 背景介绍 | Enables identical protein binding activity. Involved in negative regulation of protein ubiquitination and proteasome-mediated ubiquitin-dependent protein catabolic process. Part of Cul3-RING ubiquitin ligase complex. [provided by Alliance of Genome Resources, Nov 2024] |
| 生物功能 | Component of a cullin-RING-based BCR (BTB-CUL3-RBX1) E3 ubiquitin-protein ligase complex that mediates the ubiquitination and subsequent proteasomal degradation of target proteins, but with relatively low efficiency. Cullin-RING-based BCR (BTB-CUL3-RBX1) E3 ubiquitin-protein ligase complexes containing homodimeric SPOPL or the heterodimer formed by SPOP and SPOPL are less efficient than ubiquitin ligase complexes containing only SPOP. May function to down-regulate the activity of cullin-RING-based BCR (BTB-CUL3-RBX1) E3 ubiquitin-protein ligase complexes that contain SPOP. [UniProt] |
| 细胞定位 | Nucleus. [UniProt] |
| 预测分子量 | 45 kDa |
检测图片 (6) Click the Picture to Zoom In
-
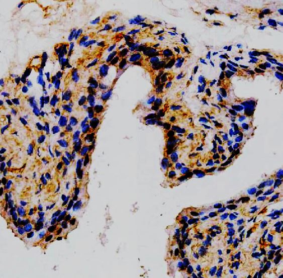
ARG45407 anti-SPOPL antibody IHC-P image
Immunohistochemistry: Human thyroid cancer stained with ARG45407 anti-SPOPL antibody at 2 μg/ml dilution.
-
ARG45407 anti-SPOPL antibody ICC/IF image
Immunofluorescence: A549 stained with ARG45407 anti-SPOPL antibody at 5 μg/ml dilution.
-
ARG45407 anti-SPOPL antibody WB image
Western blot: MCF-7 stained with ARG45407 anti-SPOPL antibody at 0.5 μg/ml dilution.
-
ARG45407 anti-SPOPL antibody IP image
Immunoprecipitation: MCF-7 lysate immunoprecipitated with 2 μg ARG45407 anti-SPOPL antibody.
-
ARG45407 anti-SPOPL antibody FACS image
Flow Cytometry: PC-3 stained with ARG45407 anti-SPOPL antibody at 1 µg/10^6 cells dilution.
-
ARG45407 anti-SPOPL antibody IHC-P image
Immunohistochemistry: Mouse bladder stained with ARG45407 anti-SPOPL antibody at 2 μg/ml dilution.
