ARG46211
anti-SP110 antibody
anti-SP110 antibody for Western blot,IHC-Formalin-fixed paraffin-embedded sections and Human,Mouse,Rat
概述
| 产品描述 | Rabbit Polyclonal antibody recognizes SP110 |
|---|---|
| 反应物种 | Hu, Ms, Rat |
| 应用 | IHC-P, WB |
| 宿主 | Rabbit |
| 克隆 | Polyclonal |
| 同位型 | IgG |
| 靶点名称 | SP110 |
| 抗原物种 | Human |
| 抗原 | A 15 amino acid synthetic peptide within aa. 470 - 520 of human SP110. |
| 偶联标记 | Un-conjugated |
| 別名 | SP110; Transcriptional coactivator Sp110; VODI; Sp110 nuclear body protein; Speckled 110 kDa; IPR1; Interferon-induced protein 41/75; IFI75; IFI41 |
应用说明
| 应用建议 |
|
||||||
|---|---|---|---|---|---|---|---|
| 应用说明 | * The dilutions indicate recommended starting dilutions and the optimal dilutions or concentrations should be determined by the scientist. |
属性
| 纯化 | Affinity chromatography purified |
|---|---|
| 缓冲液 | PBS and 0.02% Sodium azide. |
| 抗菌剂 | 0.02% Sodium azide |
| 浓度 | 1 mg/ml |
| 存放说明 | For continuous use, store undiluted antibody at 2-8°C for up to a week. For long-term storage, aliquot and store at -20°C. Storage in frost free freezers is not recommended. Avoid repeated freeze/thaw cycles. Suggest spin the vial prior to opening. The antibody solution should be gently mixed before use. |
| 注意事项 | For laboratory research only, not for drug, diagnostic or other use. |
生物信息
| 数据库连接 | |
|---|---|
| 基因名称 | SP110 |
| 全名 | SP110 nuclear body protein |
| 背景介绍 | The nuclear body is a multiprotein complex that may have a role in the regulation of gene transcription. This gene is a member of the SP100/SP140 family of nuclear body proteins and encodes a leukocyte-specific nuclear body component. The protein can function as an activator of gene transcription and may serve as a nuclear hormone receptor coactivator. In addition, it has been suggested that the protein may play a role in ribosome biogenesis and in the induction of myeloid cell differentiation. Alternative splicing has been observed for this gene and three transcript variants, encoding distinct isoforms, have been identified. [provided by RefSeq, Jul 2008] |
| 生物功能 | Transcription factor. May be a nuclear hormone receptor coactivator. Enhances transcription of genes with retinoic acid response elements (RARE). [UniProt] |
| 细胞定位 | Nucleus. Note=Found in the nuclear body. [UniProt] |
| 预测分子量 | 78 kDa |
| 翻译后修饰 | Phosphorylated (isoform 2). [UniProt] |
检测图片 (3) Click the Picture to Zoom In
-
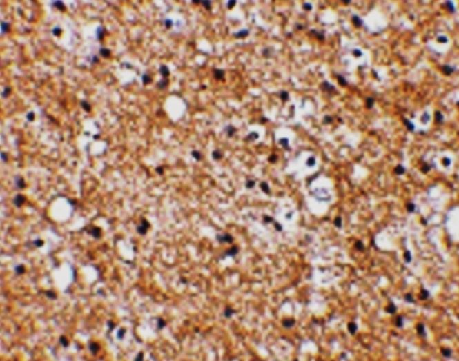
ARG46211 anti-SP110 antibody IHC-P image
Immunohistochemistry: Human brain stained with ARG46211 anti-SP110 antibody.
-
ARG46211 anti-SP110 antibody ICC/IF image
Immunofluorescence: Human brain stained with ARG46211 anti-SP110 antibody.
-
ARG46211 anti-SP110 antibody WB image
Western blot: Hela stained with ARG46211 anti-SP110 antibody.
