ARG66508
anti-SOX9 antibody
anti-SOX9 antibody for IHC-Formalin-fixed paraffin-embedded sections and Human
概述
| 产品描述 | Mouse Monoclonal antibody recognizes SOX9 |
|---|---|
| 反应物种 | Hu |
| 应用 | IHC-P |
| 宿主 | Mouse |
| 克隆 | Monoclonal |
| 同位型 | IgG2b, kappa |
| 靶点名称 | SOX9 |
| 抗原物种 | Human |
| 抗原 | Synthetic peptide derived from Human SOX9. |
| 偶联标记 | Un-conjugated |
| 別名 | SRXY10; CMPD1; CMD1; SRXX2; SRA1; Transcription factor SOX-9 |
应用说明
| 应用建议 |
|
||||
|---|---|---|---|---|---|
| 应用说明 | IHC-P: Antigen Retrieval: Citric acid buffer (pH 6.0) was used. * The dilutions indicate recommended starting dilutions and the optimal dilutions or concentrations should be determined by the scientist. |
||||
| 实际分子量 | 70 kDa |
属性
| 形式 | Liquid |
|---|---|
| 纯化 | Affinity purification with immunogen. |
| 缓冲液 | PBS, 0.02% Sodium azide, 50% Glycerol and 0.5% BSA. |
| 抗菌剂 | 0.02% Sodium azide |
| 稳定剂 | 50% Glycerol and 0.5% BSA |
| 浓度 | 1 mg/ml |
| 存放说明 | For continuous use, store undiluted antibody at 2-8°C for up to a week. For long-term storage, aliquot and store at -20°C. Storage in frost free freezers is not recommended. Avoid repeated freeze/thaw cycles. Suggest spin the vial prior to opening. The antibody solution should be gently mixed before use. |
| 注意事项 | For laboratory research only, not for drug, diagnostic or other use. |
生物信息
| 数据库连接 | |
|---|---|
| 基因名称 | SOX9 |
| 全名 | SRY (sex determining region Y)-box 9 |
| 背景介绍 | The protein encoded by this gene recognizes the sequence CCTTGAG along with other members of the HMG-box class DNA-binding proteins. It acts during chondrocyte differentiation and, with steroidogenic factor 1, regulates transcription of the anti-Muellerian hormone (AMH) gene. Deficiencies lead to the skeletal malformation syndrome campomelic dysplasia, frequently with sex reversal. [provided by RefSeq, Jul 2008] |
| 生物功能 | Plays an important role in the normal skeletal development. May regulate the expression of other genes involved in chondrogenesis by acting as a transcription factor for these genes. [UniProt] |
| 细胞定位 | Nucleus. [UniProt] |
| 预测分子量 | 56 kDa |
检测图片 (2) Click the Picture to Zoom In
-
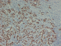
ARG66508 anti-SOX9 antibody IHC-P image
Immunohistochemistry: Paraffin-embedded Human breast carcinoma stained with ARG66508 anti-SOX9 antibody at 1:200 (4°C, overnight). Antigen Retrieval: Citric acid buffer (pH 6.0) was used.
-
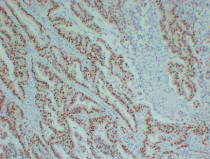
ARG66508 anti-SOX9 antibody IHC-P image
Immunohistochemistry: Paraffin-embedded Human colon carcinoma stained with ARG66508 anti-SOX9 antibody at 1:200 (4°C, overnight). Antigen Retrieval: Citric acid buffer (pH 6.0) was used.
