ARG43069
anti-SOX6 antibody
anti-SOX6 antibody for Flow cytometry,IHC-Formalin-fixed paraffin-embedded sections,Western blot and Human,Mouse,Rat
概述
| 产品描述 | Rabbit Polyclonal antibody recognizes SOX6 |
|---|---|
| 反应物种 | Hu, Ms, Rat |
| 应用 | FACS, IHC-P, WB |
| 宿主 | Rabbit |
| 克隆 | Polyclonal |
| 同位型 | IgG |
| 靶点名称 | SOX6 |
| 抗原物种 | Human |
| 抗原 | Synthetic peptide corresponding to a sequence of Human SOX6. (DQDTVMKAIQEARKMREQIQREQQQQ) |
| 偶联标记 | Un-conjugated |
| 別名 | HSSOX6; Transcription factor SOX-6; SOXD |
应用说明
| 应用建议 |
|
||||||||
|---|---|---|---|---|---|---|---|---|---|
| 应用说明 | IHC-P: Antigen Retrieval: Heat mediation was performed in EDTA buffer (pH 8.0). * The dilutions indicate recommended starting dilutions and the optimal dilutions or concentrations should be determined by the scientist. |
属性
| 形式 | Liquid |
|---|---|
| 纯化 | Affinity purification with immunogen. |
| 缓冲液 | 0.2% Na2HPO4, 0.9% NaCl, 0.01% Sodium azide and 4% Trehalose. |
| 抗菌剂 | 0.01% Sodium azide |
| 稳定剂 | 4% Trehalose |
| 浓度 | 0.5 mg/ml |
| 存放说明 | For continuous use, store undiluted antibody at 2-8°C for up to a week. For long-term storage, aliquot and store at -20°C or below. Storage in frost free freezers is not recommended. Avoid repeated freeze/thaw cycles. Suggest spin the vial prior to opening. The antibody solution should be gently mixed before use. |
| 注意事项 | For laboratory research only, not for drug, diagnostic or other use. |
生物信息
| 数据库连接 | |
|---|---|
| 基因名称 | SOX6 |
| 全名 | SRY (sex determining region Y)-box 6 |
| 背景介绍 | This gene encodes a member of the D subfamily of sex determining region y-related transcription factors that are characterized by a conserved DNA-binding domain termed the high mobility group box and by their ability to bind the minor groove of DNA. The encoded protein is a transcriptional activator that is required for normal development of the central nervous system, chondrogenesis and maintenance of cardiac and skeletal muscle cells. The encoded protein interacts with other family members to cooperatively activate gene expression. Alternative splicing results in multiple transcript variants. [provided by RefSeq, Mar 2009] |
| 生物功能 | Transcriptional activator. Binds specifically to the DNA sequence 5'-AACAAT-3'. Plays a key role in several developmental processes, including neurogenesis and skeleton formation. [UniProt] |
| 细胞定位 | Nucleus. [UniProt] |
| 预测分子量 | 92 kDa |
| 翻译后修饰 | Sumoylation inhibits the transcriptional activity. [UniProt] |
检测图片 (4) Click the Picture to Zoom In
-
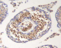
ARG43069 anti-SOX6 antibody IHC-P image
Immunohistochemistry: Paraffin-embedded Mouse testis tissue. Antigen Retrieval: Heat mediation was performed in EDTA buffer (pH 8.0). The tissue section was blocked with 10% goat serum. The tissue section was then stained with ARG43069 anti-SOX6 antibody at 2 µg/ml dilution, overnight at 4°C.
-
ARG43069 anti-SOX6 antibody IHC-P image
Immunohistochemistry: Paraffin-embedded Rat testis tissue. Antigen Retrieval: Heat mediation was performed in EDTA buffer (pH 8.0). The tissue section was blocked with 10% goat serum. The tissue section was then stained with ARG43069 anti-SOX6 antibody at 2 µg/ml dilution, overnight at 4°C.
-
ARG43069 anti-SOX6 antibody WB image
Western blot: 50 µg of sample under reducing conditions. Human placenta, Caco-2 and U2OS whole cell lysates stained with ARG43069 anti-SOX6 antibody at 0.5 µg/ml dilution, overnight at 4°C.
-
ARG43069 anti-SOX6 antibody FACS image
Flow Cytometry: A549 cells were blocked with 10% normal goat serum and then stained with ARG43069 anti-SOX6 antibody (blue) at 1 µg/10^6 cells for 30 min at 20°C, followed by incubation with DyLight®488 labelled secondary antibody. Isotype control antibody (green) was rabbit IgG (1 µg/10^6 cells) used under the same conditions. Unlabelled sample (red) was also used as a control.
