ARG59127
anti-SOX5 antibody
anti-SOX5 antibody for Western blot and Human,Mouse,Rat,Pig
概述
| 产品描述 | Rabbit Polyclonal antibody recognizes SOX5 |
|---|---|
| 反应物种 | Hu, Ms, Rat, Pig |
| 预测物种 | Bov |
| 应用 | WB |
| 宿主 | Rabbit |
| 克隆 | Polyclonal |
| 同位型 | IgG |
| 靶点名称 | SOX5 |
| 抗原物种 | Human |
| 抗原 | Synthetic peptide corresponding to aa. 495-528 of Human SOX5. (EKEKTTLESLTQQLAVKQNEEGKFSHAMMDFNLS) |
| 偶联标记 | Un-conjugated |
| 別名 | L-SOX5B; L-SOX5; Transcription factor SOX-5; L-SOX5F |
应用说明
| 应用建议 |
|
||||
|---|---|---|---|---|---|
| 应用说明 | * The dilutions indicate recommended starting dilutions and the optimal dilutions or concentrations should be determined by the scientist. |
属性
| 形式 | Liquid |
|---|---|
| 纯化 | Affinity purification with immunogen. |
| 缓冲液 | 0.9% NaCl, 0.2% Na2HPO4, 0.05% Sodium azide and 5% BSA. |
| 抗菌剂 | 0.05% Sodium azide |
| 稳定剂 | 5% BSA |
| 浓度 | 0.5 mg/ml |
| 存放说明 | For continuous use, store undiluted antibody at 2-8°C for up to a week. For long-term storage, aliquot and store at -20°C or below. Storage in frost free freezers is not recommended. Avoid repeated freeze/thaw cycles. Suggest spin the vial prior to opening. The antibody solution should be gently mixed before use. |
| 注意事项 | For laboratory research only, not for drug, diagnostic or other use. |
生物信息
| 数据库连接 | |
|---|---|
| 基因名称 | SOX5 |
| 全名 | SRY (sex determining region Y)-box 5 |
| 背景介绍 | This gene encodes a member of the SOX (SRY-related HMG-box) family of transcription factors involved in the regulation of embryonic development and in the determination of the cell fate. The encoded protein may act as a transcriptional regulator after forming a protein complex with other proteins. The encoded protein may play a role in chondrogenesis. A pseudogene of this gene is located on chromosome 8. Multiple transcript variants encoding distinct isoforms have been identified for this gene. [provided by RefSeq, Jul 2008] |
| 生物功能 | Binds specifically to the DNA sequence 5'-AACAAT-3'. Activates transcription of COL2A1 and AGC1 in vitro. [UniProt] |
| 细胞定位 | Nucleus. [UniProt] |
| 预测分子量 | 84 kDa |
检测图片 (2) Click the Picture to Zoom In
-
ARG59127 anti-SOX5 antibody WB image
Western blot: 50 µg of Rat liver, Rat testis, Rat brain, 40 µg of HeLa and A549 lysates stained with ARG59127 anti-SOX5 antibody at 0.5 µg/ml dilution.
-
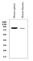
ARG59127 anti-SOX5 antibody WB image
Western blot: 50 µg of sample under reducing conditions. Mouse spleen and Mouse thymus lysates stained with ARG59127 anti-SOX5 antibody at 0.5 µg/ml dilution, overnight at 4°C.
