ARG56133
anti-SOX17 antibody
anti-SOX17 antibody for IHC-Formalin-fixed paraffin-embedded sections,Western blot and Human,Mouse
概述
| 产品描述 | Rabbit Polyclonal antibody recognizes SOX17 |
|---|---|
| 反应物种 | Hu, Ms |
| 应用 | IHC-P, WB |
| 宿主 | Rabbit |
| 克隆 | Polyclonal |
| 同位型 | IgG |
| 靶点名称 | SOX17 |
| 抗原物种 | Mouse |
| 抗原 | KLH-conjugated synthetic peptide corresponding to aa. 353-387 (C-terminus) of Mouse SOX17. |
| 偶联标记 | Un-conjugated |
| 別名 | VUR3; Transcription factor SOX-17 |
应用说明
| 应用建议 |
|
||||||
|---|---|---|---|---|---|---|---|
| 应用说明 | IHC-P: Antigen Retrieval: Heat mediation was performed in Citrate buffer (pH 6.0). * The dilutions indicate recommended starting dilutions and the optimal dilutions or concentrations should be determined by the scientist. |
||||||
| 阳性对照 | Mouse testis |
属性
| 形式 | Liquid |
|---|---|
| 纯化 | Purification with Protein A and immunogen peptide. |
| 缓冲液 | PBS and 0.09% (W/V) Sodium azide. |
| 抗菌剂 | 0.09% (W/V) Sodium azide. |
| 存放说明 | For continuous use, store undiluted antibody at 2-8°C for up to a week. For long-term storage, aliquot and store at -20°C or below. Storage in frost free freezers is not recommended. Avoid repeated freeze/thaw cycles. Suggest spin the vial prior to opening. The antibody solution should be gently mixed before use. |
| 注意事项 | For laboratory research only, not for drug, diagnostic or other use. |
生物信息
| 数据库连接 | |
|---|---|
| 基因名称 | Sox17 |
| 全名 | SRY (sex determining region Y)-box 17 |
| 背景介绍 | This gene encodes a member of the Sox (Sry-related high mobility group box) family of transcription factors involved in the regulation of embryonic development. The encoded protein plays a role in the determination of cell fate and in maintaining cell identity. This gene regulates tumor angiogenesis and tumor progression. Mutations in the human gene are associated with vesicoureteral reflux, characterized by the backward flow of urine from the bladder into the ureters or the kidney. Alternative splicing results in multiple transcript variants. [provided by RefSeq, Jan 2014] |
| 生物功能 | Acts as transcription regulator that binds target promoter DNA and bends the DNA. Binds to the sequences 5'-AACAAT-'3 or 5'-AACAAAG-3'. Modulates transcriptional regulation via WNT3A. Inhibits Wnt signaling. Promotes degradation of activated CTNNB1. Plays a key role in the regulation of embryonic development. Required for normal looping of the embryonic heart tube. Required for normal development of the definitive gut endoderm. Probable transcriptional activator in the premeiotic germ cells. Isoform 2 (T-SOX17) shows no DNA-binding activity. [UniProt] |
| 细胞定位 | Nucleus |
| 预测分子量 | 44 kDa |
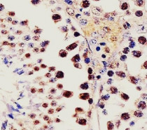
检测图片 (2) Click the Picture to Zoom In
-
ARG56133 anti-SOX17 antibody IHC-P image
Immunohistochemistry: Paraformaldehyde-fixed and paraffin-embedded Mouse testis stained with ARG56133 anti-SOX17 antibody at 1:25 dilution (1 hour, 37°C). Tissue was blocked with 3% BSA for 0.5 hour at RT. Antigen Retrieval: Heat mediation was performed in Citrate buffer (pH 6.0).
-
ARG56133 anti-SOX17 antibody WB image
Western blot: 20 µg of Mouse testis lysate stained with ARG56133 anti-SOX17 antibody at 1:2000 dilution.
