ARG42055
anti-SOX13 antibody
anti-SOX13 antibody for IHC-Formalin-fixed paraffin-embedded sections,Western blot and Human,Mouse
概述
| 产品描述 | Rabbit Polyclonal antibody recognizes SOX13 |
|---|---|
| 反应物种 | Hu, Ms |
| 应用 | IHC-P, WB |
| 宿主 | Rabbit |
| 克隆 | Polyclonal |
| 同位型 | IgG |
| 靶点名称 | SOX13 |
| 抗原物种 | Human |
| 抗原 | Synthetic peptide of Human SOX13. |
| 偶联标记 | Un-conjugated |
| 別名 | ICA12; Transcription factor SOX-13; Islet cell antigen 12; Type 1 diabetes autoantigen ICA12; SRY; Sox-13; Sex determining region Y |
应用说明
| 应用建议 |
|
||||||
|---|---|---|---|---|---|---|---|
| 应用说明 | * The dilutions indicate recommended starting dilutions and the optimal dilutions or concentrations should be determined by the scientist. | ||||||
| 阳性对照 | WB: Mouse liver IHC-P: Human tonsil and Human lung cancer |
||||||
| 实际分子量 | ~ 71 kDa |
属性
| 形式 | Liquid |
|---|---|
| 纯化 | Affinity purification with immunogen. |
| 缓冲液 | PBS (pH 7.4), 0.05% Sodium azide and 40% Glycerol. |
| 抗菌剂 | 0.05% Sodium azide |
| 稳定剂 | 40% Glycerol |
| 浓度 | 0.4 mg/ml |
| 存放说明 | For continuous use, store undiluted antibody at 2-8°C for up to a week. For long-term storage, aliquot and store at -20°C. Storage in frost free freezers is not recommended. Avoid repeated freeze/thaw cycles. Suggest spin the vial prior to opening. The antibody solution should be gently mixed before use. |
| 注意事项 | For laboratory research only, not for drug, diagnostic or other use. |
生物信息
| 数据库连接 | |
|---|---|
| 基因名称 | SOX13 |
| 全名 | SRY (sex determining region Y)-box 13 |
| 背景介绍 | This gene encodes a member of the SOX (SRY-related HMG-box) family of transcription factors involved in the regulation of embryonic development and in the determination of cell fate. The encoded protein may act as a transcriptional regulator after forming a protein complex with other proteins. It has also been determined to be a type-1 diabetes autoantigen, also known as islet cell antibody 12. [provided by RefSeq, Jul 2008] |
| 生物功能 | Binds to the sequence 5'-AACAAT-3'. [UniProt] |
| 细胞定位 | Nucleus. [UniProt] |
| 预测分子量 | 69 kDa |
检测图片 (3) Click the Picture to Zoom In
-
ARG42055 anti-SOX13 antibody IHC-P image
Immunohistochemistry: Paraffin-embedded Human tonsil tissue stained with ARG42055 anti-SOX13 antibody (left) at 1:50 dilution, or the same antibody pre-incubated with synthetic peptide (right). (Original magnification: X200).
-
ARG42055 anti-SOX13 antibody WB image
Western blot: 40 µg of Mouse liver lysate stained with ARG42055 anti-SOX13 antibody at 1:800 dilution.
-
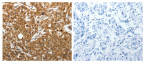
ARG42055 anti-SOX13 antibody IHC-P image
Immunohistochemistry: Paraffin-embedded Human lung cancer tissue stained with ARG42055 anti-SOX13 antibody (left) at 1:50 dilution, or the same antibody pre-incubated with synthetic peptide (right). (Original magnification: X200).
