ARG64760
anti-SODD antibody
anti-SODD antibody for IHC-Formalin-fixed paraffin-embedded sections,Western blot and Human
Cell Biology and Cellular Response antibody; Cell Death antibody
概述
| 产品描述 | Goat Polyclonal antibody recognizes SODD |
|---|---|
| 反应物种 | Hu |
| 应用 | IHC-P, WB |
| 宿主 | Goat |
| 克隆 | Polyclonal |
| 同位型 | IgG |
| 靶点名称 | SODD |
| 抗原物种 | Human |
| 抗原 | C-GNATSDHPNNQDQSS |
| 偶联标记 | Un-conjugated |
| 別名 | BAG-4; SODD; Silencer of death domains; Bcl-2-associated athanogene 4; BAG family molecular chaperone regulator 4 |
应用说明
| 应用建议 |
|
||||||
|---|---|---|---|---|---|---|---|
| 应用说明 | WB: Recommend incubate at RT for 1h. IHC-P: Antigen Retrieval: Steam tissue section in Citrate buffer (pH 6.0). * The dilutions indicate recommended starting dilutions and the optimal dilutions or concentrations should be determined by the scientist. |
属性
| 形式 | Liquid |
|---|---|
| 纯化 | Purified from goat serum by antigen affinity chromatography. |
| 缓冲液 | Tris saline (pH 7.3), 0.02% Sodium azide and 0.5% BSA. |
| 抗菌剂 | 0.02% Sodium azide |
| 稳定剂 | 0.5% BSA |
| 浓度 | 0.5 mg/ml |
| 存放说明 | For continuous use, store undiluted antibody at 2-8°C for up to a week. For long-term storage, aliquot and store at -20°C or below. Storage in frost free freezers is not recommended. Avoid repeated freeze/thaw cycles. Suggest spin the vial prior to opening. The antibody solution should be gently mixed before use. |
| 注意事项 | For laboratory research only, not for drug, diagnostic or other use. |
生物信息
| 数据库连接 |
Swiss-port # O95429 Human BAG family molecular chaperone regulator 4 |
|---|---|
| 背景介绍 | The protein encoded by this gene is a member of the BAG1-related protein family. BAG1 is an anti-apoptotic protein that functions through interactions with a variety of cell apoptosis and growth related proteins including BCL-2, Raf-protein kinase, steroid hormone receptors, growth factor receptors and members of the heat shock protein 70 kDa family. This protein contains a BAG domain near the C-terminus, which could bind and inhibit the chaperone activity of Hsc70/Hsp70. This protein was found to be associated with the death domain of tumor necrosis factor receptor type 1 (TNF-R1) and death receptor-3 (DR3), and thereby negatively regulates downstream cell death signaling. The regulatory role of this protein in cell death was demonstrated in epithelial cells which undergo apoptosis while integrin mediated matrix contacts are lost. Alternatively spliced transcript variants encoding distinct isoforms have been identified. [provided by RefSeq, Mar 2011] |
| 研究领域 | Cell Biology and Cellular Response antibody; Cell Death antibody |
| 预测分子量 | 50 kDa |
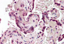
检测图片 (2) Click the Picture to Zoom In
-
ARG64760 anti-SODD antibody WB image
Western Blot: HEK293 lysate (35 µg protein in RIPA buffer) stained with ARG64760 anti-SODD antibody at 1 µg/ml dilution.
-
ARG64760 anti-SODD antibody IHC-P image
Immunohistochemistry: Paraffin-embedded Human placenta tissue. Antigen Retrieval: Steam tissue section in Citrate buffer (pH 6.0). The tissue section was stained with ARG64760 anti-SODD antibody at 3.75 µg/ml dilution followed by AP-staining.
