ARG59110
anti-SOD3 antibody
anti-SOD3 antibody for ICC/IF,IHC-Frozen sections,IHC-Formalin-fixed paraffin-embedded sections,Western blot and Human
概述
| 产品描述 | Rabbit Polyclonal antibody recognizes SOD3 |
|---|---|
| 反应物种 | Hu |
| 应用 | ICC/IF, IHC-Fr, IHC-P, WB |
| 宿主 | Rabbit |
| 克隆 | Polyclonal |
| 同位型 | IgG |
| 靶点名称 | SOD3 |
| 抗原物种 | Human |
| 抗原 | Synthetic peptide corresponding to aa. 41-56 of Human SOD3. (KVTEIWQEVMQRRDDD) |
| 偶联标记 | Un-conjugated |
| 別名 | EC 1.15.1.1; Extracellular superoxide dismutase [Cu-Zn]; EC-SOD |
应用说明
| 应用建议 |
|
||||||||||
|---|---|---|---|---|---|---|---|---|---|---|---|
| 应用说明 | IHC-P: Antigen Retrieval: Heat mediation was performed in Citrate buffer (pH 6.0) for 20 min. * The dilutions indicate recommended starting dilutions and the optimal dilutions or concentrations should be determined by the scientist. |
属性
| 形式 | Liquid |
|---|---|
| 纯化 | Affinity purification with immunogen. |
| 缓冲液 | 0.9% NaCl, 0.2% Na2HPO4, 0.05% Thimerosal, 0.05% Sodium azide and 5% BSA. |
| 抗菌剂 | 0.05% Thimerosal and 0.05% Sodium azide |
| 稳定剂 | 5% BSA |
| 浓度 | 0.5 mg/ml |
| 存放说明 | For continuous use, store undiluted antibody at 2-8°C for up to a week. For long-term storage, aliquot and store at -20°C or below. Storage in frost free freezers is not recommended. Avoid repeated freeze/thaw cycles. Suggest spin the vial prior to opening. The antibody solution should be gently mixed before use. |
| 注意事项 | For laboratory research only, not for drug, diagnostic or other use. |
生物信息
| 数据库连接 |
Swiss-port # P08294 Human Extracellular superoxide dismutase [Cu-Zn] |
|---|---|
| 基因名称 | SOD3 |
| 全名 | superoxide dismutase 3, extracellular |
| 背景介绍 | This gene encodes a member of the superoxide dismutase (SOD) protein family. SODs are antioxidant enzymes that catalyze the dismutation of two superoxide radicals into hydrogen peroxide and oxygen. The product of this gene is thought to protect the brain, lungs, and other tissues from oxidative stress. The protein is secreted into the extracellular space and forms a glycosylated homotetramer that is anchored to the extracellular matrix (ECM) and cell surfaces through an interaction with heparan sulfate proteoglycan and collagen. A fraction of the protein is cleaved near the C-terminus before secretion to generate circulating tetramers that do not interact with the ECM. [provided by RefSeq, Jul 2008] |
| 生物功能 | Protect the extracellular space from toxic effect of reactive oxygen intermediates by converting superoxide radicals into hydrogen peroxide and oxygen. [UniProt] |
| 细胞定位 | Secreted, extracellular space. Note=99% of EC-SOD is anchored to heparan sulfate proteoglycans in the tissue interstitium, and 1% is located in the vasculature in equilibrium between the plasma and the endothelium. [UniProt] |
| 预测分子量 | 26 kDa |
检测图片 (4) Click the Picture to Zoom In
-
ARG59110 anti-SOD3 antibody ICC image
Immunocytochemistry: HeLa cells were blocked with 10% goat serum and then stained with ARG59110 anti-SOD3 antibody at 1 µg/ml dilution, overnight at 4°C.
-
ARG59110 anti-SOD3 antibody IHC-Fr image
Immunohistochemistry: Frozen section of Human placenta stained with ARG59110 anti-SOD3 antibody.
-
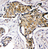
ARG59110 anti-SOD3 antibody IHC-P image
Immunohistochemistry: Paraffin-embedded Human mammary cancer tissue. Antigen Retrieval: Heat mediation was performed in Citrate buffer (pH 6.0) for 20 min. The tissue section was blocked with 10% goat serum. The tissue section was then stained with ARG59110 anti-SOD3 antibody at 1 µg/ml dilution, overnight at 4°C.
-
ARG59110 anti-SOD3 antibody WB image
Western blot: Human placenta, A549, MDA-MB-231 and MCF-7 cell lysates stained with ARG59110 anti-SOD3 antibody.
