ARG55427
anti-SOCS4 antibody
anti-SOCS4 antibody for ICC/IF,IHC-Formalin-fixed paraffin-embedded sections,Western blot and Human
Signaling Transduction antibody
概述
| 产品描述 | Rabbit Polyclonal antibody recognizes SOCS4 |
|---|---|
| 反应物种 | Hu |
| 应用 | ICC/IF, IHC-P, WB |
| 宿主 | Rabbit |
| 克隆 | Polyclonal |
| 同位型 | IgG |
| 靶点名称 | SOCS4 |
| 抗原物种 | Human |
| 抗原 | KLH-conjugated synthetic peptide corresponding to aa. 227-254 (Center) of Human SOCS4. |
| 偶联标记 | Un-conjugated |
| 別名 | SOCS7; SOCS-7; Suppressor of cytokine signaling 4; Suppressor of cytokine signaling 7; SOCS-4 |
应用说明
| 应用建议 |
|
||||||||
|---|---|---|---|---|---|---|---|---|---|
| 应用说明 | * The dilutions indicate recommended starting dilutions and the optimal dilutions or concentrations should be determined by the scientist. | ||||||||
| 阳性对照 | MCF7 |
属性
| 形式 | Liquid |
|---|---|
| 纯化 | Purification with Protein A and immunogen peptide. |
| 缓冲液 | PBS and 0.09% (W/V) Sodium azide |
| 抗菌剂 | 0.09% (W/V) Sodium azide |
| 存放说明 | For continuous use, store undiluted antibody at 2-8°C for up to a week. For long-term storage, aliquot and store at -20°C or below. Storage in frost free freezers is not recommended. Avoid repeated freeze/thaw cycles. Suggest spin the vial prior to opening. The antibody solution should be gently mixed before use. |
| 注意事项 | For laboratory research only, not for drug, diagnostic or other use. |
生物信息
| 数据库连接 |
Swiss-port # Q8WXH5 Human Suppressor of cytokine signaling 4 |
|---|---|
| 基因名称 | SOCS4 |
| 全名 | suppressor of cytokine signaling 4 |
| 背景介绍 | The protein encoded by this gene contains a SH2 domain and a SOCS BOX domain. The protein thus belongs to the suppressor of cytokine signaling (SOCS), also known as STAT-induced STAT inhibitor (SSI), protein family. SOCS family members are known to be cytokine-inducible negative regulators of cytokine signaling. Two alternatively spliced transcript variants encoding the same protein have been found for this gene. [provided by RefSeq, Jul 2008] |
| 生物功能 | SOCS family proteins form part of a classical negative feedback system that regulates cytokine signal transduction. Substrate-recognition component of a SCF-like ECS (Elongin BC-CUL2/5-SOCS-box protein) E3 ubiquitin-protein ligase complex which mediates the ubiquitination and subsequent proteasomal degradation of target proteins. Inhibits EGF signaling by mediating the degradation of the Tyr-phosphorylated EGF receptor/EGFR. [UniProt] |
| 研究领域 | Signaling Transduction antibody |
| 预测分子量 | 51 kDa |
检测图片 (3) Click the Picture to Zoom In
-
ARG55427 anti-SOCS4 antibody ICC/IF image
Immunofluorescence: A2058 cells stained with ARG55427 anti-SOCS4 antibody (green). Actin filaments have been labeled with Alexa Fluor 555 phalloidin (red). DAPI (blue) for nuclear staining.
-
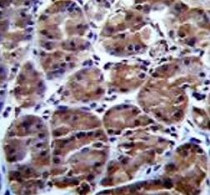
ARG55427 anti-SOCS4 antibody IHC-P image
Immunohistochemistry: Formalin-fixed and paraffin-embedded Human stomach tissue stained with ARG55427 anti-SOCS4 antibody.
-
ARG55427 anti-SOCS4 antibody WB image
Western blot: 35 µg of MCF7 cell lysate stained with ARG55427 anti-SOCS4 antibody at 1:1000 dilution.
