ARG42737
anti-SOCS3 antibody
anti-SOCS3 antibody for IHC-Formalin-fixed paraffin-embedded sections,Western blot and Human
概述
| 产品描述 | Rabbit Polyclonal antibody recognizes SOCS3 |
|---|---|
| 反应物种 | Hu |
| 预测物种 | Ms |
| 应用 | IHC-P, WB |
| 宿主 | Rabbit |
| 克隆 | Polyclonal |
| 同位型 | IgG |
| 靶点名称 | SOCS3 |
| 抗原物种 | Human |
| 抗原 | Synthetic peptide corresponding to aa. 71-85 of Human SOCS3. (RDSSDQRHFFTLSVK) |
| 偶联标记 | Un-conjugated |
| 別名 | SOCS-3; Cish3; CIS-3; Suppressor of cytokine signaling 3; SSI-3; SSI3; CIS3; Cytokine-inducible SH2 protein 3; STAT-induced STAT inhibitor 3; ATOD4 |
应用说明
| 应用建议 |
|
||||||
|---|---|---|---|---|---|---|---|
| 应用说明 | IHC-P: Antigen Retrieval: Heat mediation was performed in Citrate buffer (pH 6.0) for 20 min. * The dilutions indicate recommended starting dilutions and the optimal dilutions or concentrations should be determined by the scientist. |
||||||
| 实际分子量 | ~ 30 kDa |
属性
| 形式 | Liquid |
|---|---|
| 纯化 | Affinity purification with immunogen. |
| 缓冲液 | 0.2% Na2HPO4, 0.9% NaCl, 0.05% Thimerosal, 0.05% Sodium azide and 5% BSA. |
| 抗菌剂 | 0.05% Thimerosal and 0.05% Sodium azide |
| 稳定剂 | 5% BSA |
| 浓度 | 0.5 mg/ml |
| 存放说明 | For continuous use, store undiluted antibody at 2-8°C for up to a week. For long-term storage, aliquot and store at -20°C or below. Storage in frost free freezers is not recommended. Avoid repeated freeze/thaw cycles. Suggest spin the vial prior to opening. The antibody solution should be gently mixed before use. |
| 注意事项 | For laboratory research only, not for drug, diagnostic or other use. |
生物信息
| 数据库连接 |
Swiss-port # O14543 Human Suppressor of cytokine signaling 3 |
|---|---|
| 基因名称 | SOCS3 |
| 全名 | suppressor of cytokine signaling 3 |
| 背景介绍 | This gene encodes a member of the STAT-induced STAT inhibitor (SSI), also known as suppressor of cytokine signaling (SOCS), family. SSI family members are cytokine-inducible negative regulators of cytokine signaling. The expression of this gene is induced by various cytokines, including IL6, IL10, and interferon (IFN)-gamma. The protein encoded by this gene can bind to JAK2 kinase, and inhibit the activity of JAK2 kinase. Studies of the mouse counterpart of this gene suggested the roles of this gene in the negative regulation of fetal liver hematopoiesis, and placental development. [provided by RefSeq, Jul 2008] |
| 生物功能 | SOCS family proteins form part of a classical negative feedback system that regulates cytokine signal transduction. SOCS3 is involved in negative regulation of cytokines that signal through the JAK/STAT pathway. Inhibits cytokine signal transduction by binding to tyrosine kinase receptors including gp130, LIF, erythropoietin, insulin, IL12, GCSF and leptin receptors. Binding to JAK2 inhibits its kinase activity. Suppresses fetal liver erythropoiesis. Regulates onset and maintenance of allergic responses mediated by T-helper type 2 cells. Regulates IL-6 signaling in vivo (By similarity). Probable substrate recognition component of a SCF-like ECS (Elongin BC-CUL2/5-SOCS-box protein) E3 ubiquitin-protein ligase complex which mediates the ubiquitination and subsequent proteasomal degradation of target proteins. Seems to recognize IL6ST (By similarity). [UniProt] |
| 预测分子量 | 25 kDa |
| 翻译后修饰 | Phosphorylated on tyrosine residues after stimulation by the cytokines, IL-2, EPO or IGF1. [UniProt] |
检测图片 (2) Click the Picture to Zoom In
-
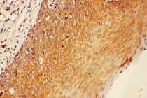
ARG42737 anti-SOCS3 antibody IHC-P image
Immunohistochemistry: Paraffin-embedded Human tonsil tissue. Antigen Retrieval: Heat mediation was performed in Citrate buffer (pH 6.0) for 20 min. The tissue section was blocked with 10% goat serum. The tissue section was then stained with ARG42737 anti-SOCS3 antibody at 1 µg/ml dilution, overnight at 4°C.
-
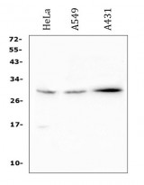
ARG42737 anti-SOCS3 antibody WB image
Western blot: 50 µg of samples under reducing conditions. HeLa, A549 and A431 whole cell lysates stained with ARG42737 anti-SOCS3 antibody at 0.5 µg/ml dilution, overnight at 4°C.
