ARG63140
anti-SOCS1 antibody
anti-SOCS1 antibody for Flow cytometry,ICC/IF,IHC-Formalin-fixed paraffin-embedded sections and Human,Mouse
Gene Regulation antibody; Immune System antibody; Signaling Transduction antibody
概述
| 产品描述 | Goat Polyclonal antibody recognizes SOCS1 |
|---|---|
| 反应物种 | Hu, Ms |
| 预测物种 | Cow, Rat, Dog, Pig |
| 应用 | FACS, ICC/IF, IHC-P |
| 宿主 | Goat |
| 克隆 | Polyclonal |
| 同位型 | IgG |
| 靶点名称 | SOCS1 |
| 抗原物种 | Human |
| 抗原 | C-VLRDYLSSFPFQI |
| 偶联标记 | Un-conjugated |
| 別名 | SOCS-1; Suppressor of cytokine signaling 1; TIP-3; CISH1; SSI-1; JAK-binding protein; CIS1; SSI1; Tec-interacting protein 3; TIP3; JAB; STAT-induced STAT inhibitor 1 |
应用说明
| 应用建议 |
|
||||||||
|---|---|---|---|---|---|---|---|---|---|
| 应用说明 | IHC-P: Antigen Retrieval: Heat mediation was performed in Citrate buffer (pH 6.0). * The dilutions indicate recommended starting dilutions and the optimal dilutions or concentrations should be determined by the scientist. |
属性
| 形式 | Liquid |
|---|---|
| 纯化 | Purified from goat serum by antigen affinity chromatography. |
| 缓冲液 | Tris saline (pH 7.3), 0.02% Sodium azide and 0.5% BSA. |
| 抗菌剂 | 0.02% Sodium azide |
| 稳定剂 | 0.5% BSA |
| 浓度 | 0.5 mg/ml |
| 存放说明 | For continuous use, store undiluted antibody at 2-8°C for up to a week. For long-term storage, aliquot and store at -20°C or below. Storage in frost free freezers is not recommended. Avoid repeated freeze/thaw cycles. Suggest spin the vial prior to opening. The antibody solution should be gently mixed before use. |
| 注意事项 | For laboratory research only, not for drug, diagnostic or other use. |
生物信息
| 数据库连接 |
Swiss-port # O15524 Human Suppressor of cytokine signaling 1 Swiss-port # O35716 Mouse Suppressor of cytokine signaling 1 |
|---|---|
| 背景介绍 | This gene encodes a member of the STAT-induced STAT inhibitor (SSI), also known as suppressor of cytokine signaling (SOCS), family. SSI family members are cytokine-inducible negative regulators of cytokine signaling. The expression of this gene can be induced by a subset of cytokines, including IL2, IL3 erythropoietin (EPO), CSF2/GM-CSF, and interferon (IFN)-gamma. The protein encoded by this gene functions downstream of cytokine receptors, and takes part in a negative feedback loop to attenuate cytokine signaling. Knockout studies in mice suggested the role of this gene as a modulator of IFN-gamma action, which is required for normal postnatal growth and survival. [provided by RefSeq, Jul 2008] |
| 研究领域 | Gene Regulation antibody; Immune System antibody; Signaling Transduction antibody |
| 预测分子量 | 24 kDa |
检测图片 (5) Click the Picture to Zoom In
-
ARG63140 anti-SOCS1 antibody ICC/IF image
Immunofluorescence: Paraformaldehyde fixed MCF7 cells permeabilized with 0.15% Triton. Cells were stained with ARG63140 anti-SOCS1 antibody (green) at 10 µg/ml dilution for 1 hour. DAPI (blue) for nuclear staining. Negative control: Unimmunized goat IgG (green) at 10 µg/ml dilution.
-
ARG63140 anti-SOCS1 antibody IHC-P image
Immunohistochemistry: Paraffin-embedded Human kidney tissue. Antigen Retrieval: Heat mediation was performed in Citrate buffer (pH 6.0). The tissue section was stained with ARG63140 anti-SOCS1 antibody at 8 µg/ml dilution followed by HRP-staining.
-
ARG63140 anti-SOCS1 antibody IHC-P image
Immunohistochemistry: paraffin embedded Human Kidney. (Steamed antigen retrieval with citrate buffer pH 6) stained with ARG63140 anti-SOCS1 antibody at 2.5 µg/ml dilution followed by AP-staining.
-
ARG63140 anti-SOCS1 antibody FACS image
Flow Cytometry: Paraformaldehyde-fixed HEK293 cells permeabilized with 0.5% Triton. Cells were stained with ARG63140 anti-SOCS1 antibody (blue line) at 10 µg/ml dilution for 1 hour, followed by incubation with Alexa Fluor® 488 labelled secondary antibody. IgG control: Unimmunized goat IgG (black line).
-
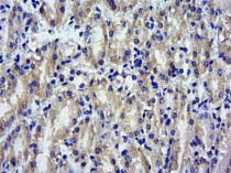
ARG63140 anti-SOCS1 antibody IHC-P image
Immunohistochemistry: Paraffin-embedded Mouse kidney tissue. Antigen Retrieval: Heat mediation was performed in Citrate buffer (pH 6.0). The tissue section was stained with ARG63140 anti-SOCS1 antibody at 10 µg/ml dilution followed by HRP-staining.
