ARG65102
anti-SNX1 antibody
anti-SNX1 antibody for ICC/IF,IHC-Formalin-fixed paraffin-embedded sections,Western blot and Human
Signaling Transduction antibody
概述
| 产品描述 | Goat Polyclonal antibody recognizes SNX1 |
|---|---|
| 反应物种 | Hu |
| 预测物种 | Ms, Rat, Cow, Dog |
| 应用 | ICC/IF, IHC-P, WB |
| 特异性 | This antibody is expected to recognize isoform a and c (NP_003090.2; NP_690039.1. |
| 宿主 | Goat |
| 克隆 | Polyclonal |
| 同位型 | IgG |
| 靶点名称 | SNX1 |
| 抗原物种 | Human |
| 抗原 | C-TNSSKPQPTYEELE |
| 偶联标记 | Un-conjugated |
| 別名 | HsT17379; Sorting nexin-1; VPS5 |
应用说明
| 应用建议 |
|
||||||||
|---|---|---|---|---|---|---|---|---|---|
| 应用说明 | IHC-P: Antigen Retrieval: Steam tissue section in Citrate buffer (pH 6.0). WB: Recommend incubate at RT for 1h. * The dilutions indicate recommended starting dilutions and the optimal dilutions or concentrations should be determined by the scientist. |
属性
| 形式 | Liquid |
|---|---|
| 纯化 | Purified from goat serum by antigen affinity chromatography. |
| 缓冲液 | Tris saline (pH 7.3), 0.02% Sodium azide and 0.5% BSA. |
| 抗菌剂 | 0.02% Sodium azide |
| 稳定剂 | 0.5% BSA |
| 浓度 | 0.5 mg/ml |
| 存放说明 | For continuous use, store undiluted antibody at 2-8°C for up to a week. For long-term storage, aliquot and store at -20°C or below. Storage in frost free freezers is not recommended. Avoid repeated freeze/thaw cycles. Suggest spin the vial prior to opening. The antibody solution should be gently mixed before use. |
| 注意事项 | For laboratory research only, not for drug, diagnostic or other use. |
生物信息
| 数据库连接 | |
|---|---|
| 背景介绍 | This gene encodes a member of the sorting nexin family. Members of this family contain a phox (PX) domain, which is a phosphoinositide binding domain, and are involved in intracellular trafficking. This endosomal protein regulates the cell-surface expression of epidermal growth factor receptor. This protein also has a role in sorting protease-activated receptor-1 from early endosomes to lysosomes. This protein may form oligomeric complexes with family members. This gene results in three transcript variants encoding distinct isoforms. [provided by RefSeq, Jul 2008] |
| 研究领域 | Signaling Transduction antibody |
| 预测分子量 | 59 kDa |
检测图片 (3) Click the Picture to Zoom In
-
ARG65102 anti-SNX1 antibody ICC/IF image
Immunofluorescence: Formaldehyde-fixed SH-5Y5Y cells stained with ARG65102 anti-SNX1 antibody at 5 µg/ml dilution.
-
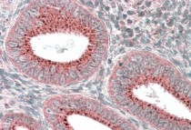
ARG65102 anti-SNX1 antibody IHC-P image
Immunohistochemistry: paraffin embedded Human Uterus. (Steamed antigen retrieval with citrate buffer pH 6) stained with ARG65102 anti-SNX1 antibody at 3.8 µg/ml dilution followed by AP-staining.
-
ARG65102 anti-SNX1 antibody WB image
Western blot: 35 µg of HeLa (A) and U2OS (B) cell lysates (in RIPA buffer) stained with ARG65102 anti-SNX1 antibody at 1 µg/ml (A) and 0.1 µg/ml (B) dilutions and incubated at RT for 1 hour.
