ARG46545
anti-SNPH antibody
anti-SNPH antibody for Western blot,IHC-Formalin-fixed paraffin-embedded sections and Human,Mouse,Rat
概述
| 产品描述 | Rabbit Polyclonal antibody recognizes SNPH |
|---|---|
| 反应物种 | Hu, Ms, Rat |
| 应用 | IHC-P, WB |
| 宿主 | Rabbit |
| 克隆 | Polyclonal |
| 同位型 | IgG |
| 靶点名称 | SNPH |
| 抗原物种 | Human |
| 抗原 | A 18 amino acid synthetic peptide within the last 50 amino acids of human SNPH. |
| 偶联标记 | Un-conjugated |
| 別名 | SNPH; Syntaphilin; bA314N13.5 |
应用说明
| 应用建议 |
|
||||||
|---|---|---|---|---|---|---|---|
| 应用说明 | * The dilutions indicate recommended starting dilutions and the optimal dilutions or concentrations should be determined by the scientist. |
属性
| 纯化 | Affinity chromatography purified |
|---|---|
| 缓冲液 | PBS and 0.02% Sodium azide. |
| 抗菌剂 | 0.02% Sodium azide |
| 浓度 | 1 mg/ml |
| 存放说明 | For continuous use, store undiluted antibody at 2-8°C for up to a week. For long-term storage, aliquot and store at -20°C. Storage in frost free freezers is not recommended. Avoid repeated freeze/thaw cycles. Suggest spin the vial prior to opening. The antibody solution should be gently mixed before use. |
| 注意事项 | For laboratory research only, not for drug, diagnostic or other use. |
生物信息
| 数据库连接 | |
|---|---|
| 基因名称 | SNPH |
| 全名 | syntaphilin |
| 背景介绍 | Syntaxin-1, synaptobrevin/VAMP, and SNAP25 interact to form the SNARE complex, which is required for synaptic vesicle docking and fusion. The protein encoded by this gene is membrane-associated and inhibits SNARE complex formation by binding free syntaxin-1. Expression of this gene appears to be brain-specific. [provided by RefSeq, Jul 2008] |
| 生物功能 | Inhibits SNARE complex formation by absorbing free syntaxin-1. [UniProt] |
| 细胞定位 | Membrane; Single-pass membrane protein. Cell junction, synapse, synaptosome. [UniProt] |
| 预测分子量 | 54 kDa |
检测图片 (3) Click the Picture to Zoom In
-
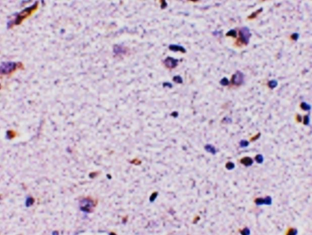
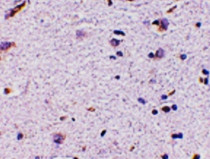
ARG46545 anti-SNPH antibody IHC-P image
Immunohistochemistry: Human brain stained with ARG46545 anti-SNPH antibody.
-
ARG46545 anti-SNPH antibody ICC/IF image
Immunofluorescence: Human brain stained with ARG46545 anti-SNPH antibody.
-
ARG46545 anti-SNPH antibody WB image
Western blot: Human brain stained with ARG46545 anti-SNPH antibody.
