ARG45412
anti-SMOX antibody
anti-SMOX antibody for Flow cytometry,ICC/IF,IHC-Formalin-fixed paraffin-embedded sections,Western blot and Human,Rat
概述
| 产品描述 | Rabbit Polyclonal antibody recognizes SMOX |
|---|---|
| 反应物种 | Hu, Rat |
| 应用 | FACS, ICC/IF, IHC-P, WB |
| 宿主 | Rabbit |
| 克隆 | Polyclonal |
| 同位型 | IgG |
| 靶点名称 | SMOX |
| 抗原物种 | Human |
| 抗原 | Recombinant protein containing to human SMOX. |
| 偶联标记 | Un-conjugated |
| 別名 | SMOX; Spermine Oxidase; PAOh1; SMO; C20orf16; PAO; Polyamine Oxidase 1; DJ779E11.1; FLJ20746; MGC1010; PAO-1; Putative Cyclin G1 Interacting Protein; Chromosome 20 Open Reading Frame 16; Flavin-Containing Spermine Oxidase; Flavin Containing Amine Oxidase; EC 1.5.3.16; PAO1; PAOH |
应用说明
| 应用建议 |
|
||||||||||
|---|---|---|---|---|---|---|---|---|---|---|---|
| 应用说明 | * The dilutions indicate recommended starting dilutions and the optimal dilutions or concentrations should be determined by the scientist. | ||||||||||
| 实际分子量 | 69 kDa |
属性
| 形式 | Liquid |
|---|---|
| 纯化 | Affinity purified |
| 缓冲液 | 0.2% Na2HPO4, 0.9% NaCl and 4% Trehalose. |
| 稳定剂 | 4% Trehalose |
| 浓度 | 0.5 mg/ml |
| 存放说明 | For continuous use, store undiluted antibody at 2-8°C for up to a week. For long-term storage, aliquot and store at -20°C or below. Storage in frost free freezers is not recommended. Avoid repeated freeze/thaw cycles. Suggest spin the vial prior to opening. The antibody solution should be gently mixed before use. |
| 注意事项 | For laboratory research only, not for drug, diagnostic or other use. |
生物信息
| 数据库连接 | |
|---|---|
| 基因名称 | SMOX |
| 全名 | Spermine Oxidase |
| 背景介绍 | Polyamines are ubiquitous polycationic alkylamines which include spermine, spermidine, putrescine, and agmatine. These molecules participate in a broad range of cellular functions which include cell cycle modulation, scavenging reactive oxygen species, and the control of gene expression. These molecules also play important roles in neurotransmission through their regulation of cell-surface receptor activity, involvement in intracellular signalling pathways, and their putative roles as neurotransmitters. This gene encodes an FAD-containing enzyme that catalyzes the oxidation of spermine to spermadine and secondarily produces hydrogen peroxide. Multiple transcript variants encoding different isoenzymes have been identified for this gene, some of which have failed to demonstrate significant oxidase activity on natural polyamine substrates. The characterized isoenzymes have distinctive biochemical characteristics and substrate specificities, suggesting the existence of additional levels of complexity in polyamine catabolism. [provided by RefSeq, Jul 2012] |
| 生物功能 | Flavoenzyme which catalyzes the oxidation of spermine to spermidine. Can also use N1-acetylspermine and spermidine as substrates, with different affinity depending on the isoform (isozyme) and on the experimental conditions. Plays an important role in the regulation of polyamine intracellular concentration and has the potential to act as a determinant of cellular sensitivity to the antitumor polyamine analogs. May contribute to beta-alanine production via aldehyde dehydrogenase conversion of 3-amino-propanal. [UniProt] |
| 细胞定位 | Cytoplasm; Nucleus. [UniProt] |
| 预测分子量 | 62 kDa |
检测图片 (5) Click the Picture to Zoom In
-
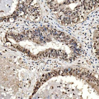
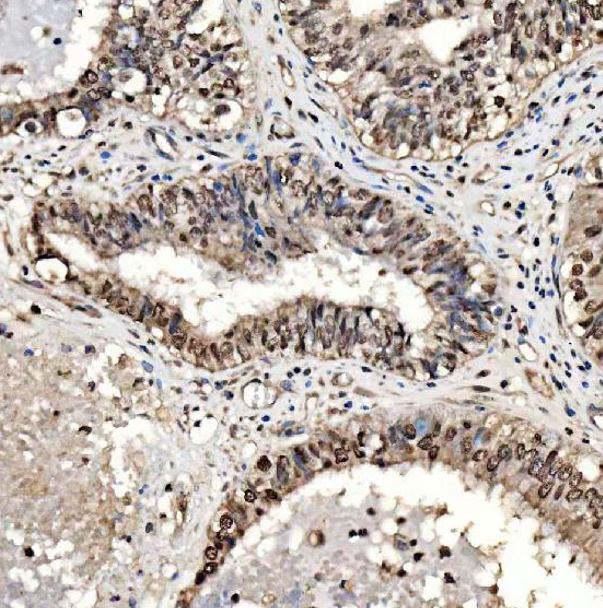
ARG45412 anti-SMOX antibody IHC-P image
Immunohistochemistry: Human endometrioid adenocarcinoma stained with ARG45412 anti-SMOX antibody at 2 μg/ml dilution.
-
ARG45412 anti-SMOX antibody ICC/IF image
Immunofluorescence: A549 stained with ARG45412 anti-SMOX antibody at 5 μg/ml dilution.
-
ARG45412 anti-SMOX antibody WB image
Western blot: A549 and MCF-7 stained with ARG45412 anti-SMOX antibody at 0.5 μg/ml dilution.
-
ARG45412 anti-SMOX antibody FACS image
Flow Cytometry: HL-60 stained with ARG45412 anti-SMOX antibody at 1 µg/10^6 cells dilution.
-
ARG45412 anti-SMOX antibody WB image
Western blot: Rat spleen stained with ARG45412 anti-SMOX antibody at 0.5 μg/ml dilution.
