ARG59233
anti-SMC3 antibody [4C12]
anti-SMC3 antibody [4C12] for IHC-Formalin-fixed paraffin-embedded sections,Western blot and Human,Mouse,Rat
概述
| 产品描述 | Mouse Monoclonal antibody [4C12] recognizes SMC3 |
|---|---|
| 反应物种 | Hu, Ms, Rat |
| 应用 | IHC-P, WB |
| 宿主 | Mouse |
| 克隆 | Monoclonal |
| 克隆号 | 4C12 |
| 同位型 | IgG1 |
| 靶点名称 | SMC3 |
| 抗原物种 | Human |
| 抗原 | Synthetic peptide corresponding to aa. 1178-1216 of Human SMC3. (ELLESADKFYGVKFRNKVSHIDVITAEMAKDFVEDDTTH) |
| 偶联标记 | Un-conjugated |
| 別名 | CDLS3; CSPG6; SMC3L1; SMC-3; Chromosome-associated polypeptide; BMH; Basement membrane-associated chondroitin proteoglycan; Structural maintenance of chromosomes protein 3; Bamacan; hCAP; Chondroitin sulfate proteoglycan 6; SMC protein 3; HCAP; BAM |
应用说明
| 应用建议 |
|
||||||
|---|---|---|---|---|---|---|---|
| 应用说明 | IHC-P: Antigen Retrieval: Heat mediation was performed in Citrate buffer (pH 6.0) for 20 min. * The dilutions indicate recommended starting dilutions and the optimal dilutions or concentrations should be determined by the scientist. |
属性
| 形式 | Liquid |
|---|---|
| 纯化 | Affinity purification with immunogen. |
| 缓冲液 | 0.9% NaCl, 0.2% Na2HPO4, 0.05% Sodium azide and 4% Trehalose. |
| 抗菌剂 | 0.05% Sodium azide |
| 稳定剂 | 4% Trehalose |
| 浓度 | 0.5 mg/ml |
| 存放说明 | For continuous use, store undiluted antibody at 2-8°C for up to a week. For long-term storage, aliquot and store at -20°C or below. Storage in frost free freezers is not recommended. Avoid repeated freeze/thaw cycles. Suggest spin the vial prior to opening. The antibody solution should be gently mixed before use. |
| 注意事项 | For laboratory research only, not for drug, diagnostic or other use. |
生物信息
| 数据库连接 |
Swiss-port # Q9CW03 Mouse Structural maintenance of chromosomes protein 3 Swiss-port # Q9UQE7 Human Structural maintenance of chromosomes protein 3 |
|---|---|
| 基因名称 | SMC3 |
| 全名 | structural maintenance of chromosomes 3 |
| 背景介绍 | This gene belongs to the SMC3 subfamily of SMC proteins. The encoded protein occurs in certain cell types as either an intracellular, nuclear protein or a secreted protein. The nuclear form, known as structural maintenance of chromosomes 3, is a component of the multimeric cohesin complex that holds together sister chromatids during mitosis, enabling proper chromosome segregation. Post-translational modification of the encoded protein by the addition of chondroitin sulfate chains gives rise to the secreted proteoglycan bamacan, an abundant basement membrane protein. [provided by RefSeq, Jul 2008] |
| 生物功能 | Central component of cohesin, a complex required for chromosome cohesion during the cell cycle. The cohesin complex may form a large proteinaceous ring within which sister chromatids can be trapped. At anaphase, the complex is cleaved and dissociates from chromatin, allowing sister chromatids to segregate. Cohesion is coupled to DNA replication and is involved in DNA repair. The cohesin complex plays also an important role in spindle pole assembly during mitosis and in chromosomes movement. [UniProt] |
| 细胞定位 | Nucleus. Chromosome. Chromosome, centromere. Note=Associates with chromatin. [UniProt] |
| 预测分子量 | 142 kDa |
| 翻译后修饰 | Phosphorylated at Ser-1083 in a SPO11-dependent manner. Acetylation at Lys-105 and Lys-106 by ESCO1 is important for genome stability and S phase sister chromatid cohesion. Regulated by DSCC1, it is required for processive DNA synthesis, coupling sister chromatid cohesion establishment during S phase to DNA replication. Deacetylation by HDAC8, regulates release of the cohesin complex from chromatin. [UniProt] |
检测图片 (4) Click the Picture to Zoom In
-
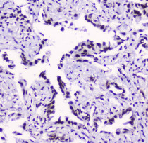
ARG59233 anti-SMC3 antibody [4C12] IHC-P image
Immunohistochemistry: Paraffin-embedded Human intestinal cancer tissue. Antigen Retrieval: Heat mediated was performed in Citrate buffer (pH 6.0, epitope retrieval solution) for 20 min. The tissue section was blocked with 10% goat serum. The tissue section was then stained with ARG59233 anti-SMC3 antibody [4C12] at 2 µg/ml dilution, overnight at 4°C.
-
ARG59233 anti-SMC3 antibody [4C12] WB image
Western blot: 50 µg of samples under reducing conditions. HeLa, A549, MCF-7 and MDA-MB-453 whole cell lysates stained with ARG59233 anti-SMC3 antibody [4C12] at 0.5 µg/ml, overnight at 4°C.
-
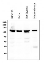
ARG59233 anti-SMC3 antibody [4C12] WB image
Western blot: 50 µg of sample under reducing conditions. HEK293, HeLa, Rat thymus and Mouse thymus lysates stained with ARG59233 anti-SMC3 antibody [4C12] at 0.5 µg/ml dilution, overnight at 4°C.
-
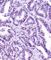
ARG59233 anti-SMC3 antibody [4C12] IHC-P image
Immunohistochemistry: Paraffin-embedded Human lung cancer tissue. Antigen Retrieval: Heat mediated was performed in Citrate buffer (pH 6.0, epitope retrieval solution) for 20 min. The tissue section was blocked with 10% goat serum. The tissue section was then stained with ARG59233 anti-SMC3 antibody [4C12] at 2 µg/ml dilution, overnight at 4°C.
