ARG40496
anti-SMAD5 phospho (Ser463 / 465) antibody
anti-SMAD5 phospho (Ser463 / 465) antibody for IHC-Formalin-fixed paraffin-embedded sections,Western blot and Human,Mouse,Rat
概述
| 产品描述 | Rabbit Polyclonal antibody recognizes SMAD5 phospho (Ser463 / 465) |
|---|---|
| 反应物种 | Hu, Ms, Rat |
| 应用 | IHC-P, WB |
| 特异性 | This antibody may cross-react with SMAD1 phospho (pS463/465) and SMAD9 phospho (pS465/467). |
| 宿主 | Rabbit |
| 克隆 | Polyclonal |
| 同位型 | IgG |
| 靶点名称 | SMAD5 |
| 抗原物种 | Human |
| 抗原 | Phosphospecific peptide around Ser463/465 of Human SMAD5. |
| 偶联标记 | Un-conjugated |
| 別名 | DWFC; Smad5; JV5-1; Mothers against decapentaplegic homolog 5; Mothers against DPP homolog 5; hSmad5; MADH5; SMAD 5; MAD homolog 5; SMAD family member 5 |
应用说明
| 应用建议 |
|
||||||
|---|---|---|---|---|---|---|---|
| 应用说明 | * The dilutions indicate recommended starting dilutions and the optimal dilutions or concentrations should be determined by the scientist. |
属性
| 形式 | Liquid |
|---|---|
| 纯化 | Affinity purified. |
| 缓冲液 | PBS (pH 7.4), 0.02% Sodium azide and 50% Glycerol. |
| 抗菌剂 | 0.02% Sodium azide |
| 稳定剂 | 50% Glycerol |
| 存放说明 | For continuous use, store undiluted antibody at 2-8°C for up to a week. For long-term storage, aliquot and store at -20°C. Storage in frost free freezers is not recommended. Avoid repeated freeze/thaw cycles. Suggest spin the vial prior to opening. The antibody solution should be gently mixed before use. |
| 注意事项 | For laboratory research only, not for drug, diagnostic or other use. |
生物信息
| 数据库连接 | |
|---|---|
| 基因名称 | SMAD5 |
| 全名 | SMAD family member 5 |
| 背景介绍 | The protein encoded by this gene is involved in the transforming growth factor beta signaling pathway that results in an inhibition of the proliferation of hematopoietic progenitor cells. The encoded protein is activated by bone morphogenetic proteins type 1 receptor kinase, and may be involved in cancer. Alternative splicing results in multiple transcript variants. [provided by RefSeq, Feb 2014] |
| 生物功能 | Transcriptional modulator activated by BMP (bone morphogenetic proteins) type 1 receptor kinase. SMAD5 is a receptor-regulated SMAD (R-SMAD). [UniProt] |
| 细胞定位 | Cytoplasm. Nucleus. Note=Cytoplasmic in the absence of ligand. Migrates to the nucleus when complexed with SMAD4. [UniProt] |
| 预测分子量 | 52 kDa |
| 翻译后修饰 | Phosphorylated on serine by BMP (bone morphogenetic proteins) type 1 receptor kinase. Ubiquitin-mediated proteolysis by SMAD-specific E3 ubiquitin ligase SMURF1. [UniProt] |
检测图片 (2) Click the Picture to Zoom In
-
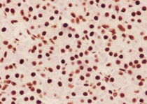
ARG40496 anti-SMAD5 phospho (Ser463/465) antibody IHC-P image
Immunohistochemistry: Paraffin-embedded Human pancreas tissue stained with ARG40496 anti-SMAD5 phospho (Ser463/465) antibody.
-
ARG40496 anti-SMAD5 phospho (Ser463/465) antibody WB image
Western blot: Mouse brain tissue lysate stained with ARG40496 anti-SMAD5 phospho (Ser463/465) antibody.
