ARG45237
anti-SLU7 antibody
anti-SLU7 antibody for Flow cytometry,ICC/IF,IHC-Formalin-fixed paraffin-embedded sections,Western blot and Human
概述
| 产品描述 | Polyclonal antibody recognizes SLU7 |
|---|---|
| 反应物种 | Hu |
| 应用 | FACS, ICC/IF, IHC-P, WB |
| 宿主 | Rabbit |
| 克隆 | Polyclonal |
| 同位型 | IgG |
| 靶点名称 | SLU7 |
| 抗原物种 | Human |
| 抗原 | Recombinant protein containing to human SLU7. |
| 偶联标记 | Un-conjugated |
| 別名 | SLU7; SLU7 Homolog, Splicing Factor; 9G8; Pre-MRNA-Splicing Factor SLU7; HSlu7; SLU7 Splicing Factor Homolog (S. Cerevisiae); Zinc Knuckle Motif Containing; SLU7 Splicing Factor Homolog; Step II Splicing Factor SLU7; Splicing Factor |
应用说明
| 应用建议 |
|
||||||||||
|---|---|---|---|---|---|---|---|---|---|---|---|
| 应用说明 | * The dilutions indicate recommended starting dilutions and the optimal dilutions or concentrations should be determined by the scientist. | ||||||||||
| 实际分子量 | 68 kDa |
属性
| 形式 | Liquid |
|---|---|
| 纯化 | Affinity purification with immunogen. |
| 缓冲液 | 0.2% Na2HPO4, 0.9% NaCl and 4% Trehalose. |
| 稳定剂 | 4% Trehalose |
| 浓度 | 0.5 mg/ml |
| 存放说明 | For continuous use, store undiluted antibody at 2-8°C for up to a week. For long-term storage, aliquot and store at -20°C or below. Storage in frost free freezers is not recommended. Avoid repeated freeze/thaw cycles. Suggest spin the vial prior to opening. The antibody solution should be gently mixed before use. |
| 注意事项 | For laboratory research only, not for drug, diagnostic or other use. |
生物信息
| 数据库连接 | |
|---|---|
| 基因名称 | SLU7 |
| 全名 | SLU7 Homolog, Splicing Factor |
| 背景介绍 | Pre-mRNA splicing occurs in two sequential transesterification steps. The protein encoded by this gene is a splicing factor that has been found to be essential during the second catalytic step in the pre-mRNA splicing process. It associates with the spliceosome and contains a zinc knuckle motif that is found in other splicing factors and is involved in protein-nucleic acid and protein-protein interactions. [provided by RefSeq, Jul 2008] |
| 生物功能 | Required for pre-mRNA splicing as component of the spliceosome. [UniProt] |
| 细胞定位 | Cytoplasm ; Nucleus ; Spliceosome. [UniProt] |
| 预测分子量 | 68 kDa |
| 翻译后修饰 | Acetylation ; Isopeptide bond ; Phosphoprotein ; Ubl conjugation. [UniProt] |
检测图片 (4) Click the Picture to Zoom In
-
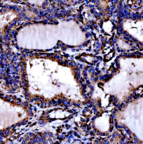
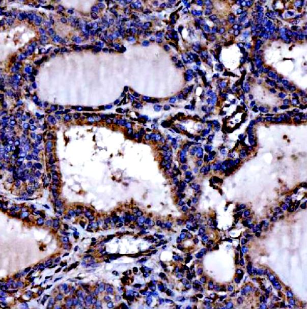
ARG45237 anti-SLU7 antibody IHC-P image
Immunohistochemistry: Human thyroid cancer stained with ARG45237 anti-SLU7 antibody at 2 μg/ml dilution.
-
ARG45237 anti-SLU7 antibody ICC/IF image
Immunofluorescence: U87 stained with ARG45237 anti-SLU7 antibody at 5 ug/ml dilution.
-
ARG45237 anti-SLU7 antibody WB image
Western blot: Hela, 293T,and K562 stained with ARG45237 anti-SLU7 antibody at 0.5 μg/ml dilution.
-
ARG45237 anti-SLU7 antibody FACS image
Flow Cytometry: Hela stained with ARG45237 anti-SLU7 antibody at 1 µg/10^6 cells dilution.
