ARG67117
anti-SLK antibody
anti-SLK antibody for ICC/IF,IHC-Formalin-fixed paraffin-embedded sections,Western blot and Human,Mouse,Rat
概述
| 产品描述 | Rabbit Polyclonal antibody recognizes SLK |
|---|---|
| 反应物种 | Hu, Ms, Rat |
| 应用 | ICC/IF, IHC-P, WB |
| 宿主 | Rabbit |
| 克隆 | Polyclonal |
| 同位型 | IgG |
| 靶点名称 | SLK |
| 抗原物种 | Human |
| 抗原 | Human PLEKHG4 Synthesized peptide |
| 偶联标记 | Un-conjugated |
| 別名 | SLK; STE20 Like Kinase; STK2; KIAA0204; Se20-9; STE20-Related Serine/Threonine-Protein Kinase; STE20-Like Serine/Threonine-Protein Kinase; Serine/Threonine-Protein Kinase 2; CTCL Tumor Antigen Se20-9; STE20-Related Kinase; STE20-Like Kinase; EC 2.7.11.1; HSLK; SNF1 (Sucrose Nonfermenting, Yeast, Homolog)-Like Kinase, SNF1 Sucrose Nonfermenting Like Kinase (Yeast); SNF1 (Sucrose Nonfermenting, Yeast, Homolog)-Like Kinase, SNF1 Sucrose Nonfermenting Like Kinase; SNF1 Sucrose Nonfermenting Like Kinase; Ste20-Related Serine/Threonine Kinase; STE20-Like Kinase (Yeast); Long Ste20-Like Kinase; BA16H23.1; EC 2.7.11; LOSK |
应用说明
| 应用建议 |
|
||||||||
|---|---|---|---|---|---|---|---|---|---|
| 应用说明 | * The dilutions indicate recommended starting dilutions and the optimal dilutions or concentrations should be determined by the scientist. |
属性
| 形式 | Liquid |
|---|---|
| 纯化 | Affinity purification with immunogen. |
| 缓冲液 | PBS (pH 7.4), 0.02% Sodium azide, 50% Glycerol and 0.5% BSA. |
| 抗菌剂 | 0.02% Sodium azide |
| 稳定剂 | 50% Glycerol and 0.5% BSA |
| 存放说明 | For continuous use, store undiluted antibody at 2-8°C for up to a week. For long-term storage, aliquot and store at -20°C. Storage in frost free freezers is not recommended. Avoid repeated freeze/thaw cycles. Suggest spin the vial prior to opening. The antibody solution should be gently mixed before use. |
| 注意事项 | For laboratory research only, not for drug, diagnostic or other use. |
生物信息
| 数据库连接 | |
|---|---|
| 基因名称 | SLK |
| 全名 | STE20 Like Kinase |
| 背景介绍 | Enables protein homodimerization activity and protein serine/threonine kinase activity. Involved in several processes, including cytoplasmic microtubule organization; protein autophosphorylation; and regulation of focal adhesion assembly. Located in perinuclear region of cytoplasm. |
| 生物功能 | Mediates apoptosis and actin stress fiber dissolution. |
| 细胞定位 | Cytoplasm |
| 预测分子量 | 143 kDa |
| 翻译后修饰 | Phosphoprotein |
检测图片 (3) Click the Picture to Zoom In
-
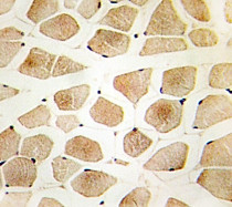
ARG67117 anti-SLK antibody IHC-P image
Immunohistochemistry: Human skeletal muscle stained with ARG67117 anti-SLK antibody.
-
ARG67117 anti-SLK antibody ICC/IF image
Immunofluorescence: HepG2 stained with ARG67117 anti-SLK antibody.
-
ARG67117 anti-SLK antibody WB image
Western blot: COLO 205 stained with ARG67117 anti-SLK antibody at 1:1000 dilution.
