ARG44527
anti-SLC6A20 antibody
anti-SLC6A20 antibody for Flow cytometry,IHC-Formalin-fixed paraffin-embedded sections,Western blot and Human,Mouse,Rat
概述
| 产品描述 | Rabbit Polyclonal antibody recognizes SLC6A20 |
|---|---|
| 反应物种 | Hu, Ms, Rat |
| 应用 | FACS, IHC-P, WB |
| 宿主 | Rabbit |
| 克隆 | Polyclonal |
| 同位型 | IgG |
| 靶点名称 | SLC6A20 |
| 抗原物种 | Human |
| 抗原 | Human SLC6A20 recombinant protein |
| 偶联标记 | Un-conjugated |
| 別名 | SLC6A20; Solute Carrier Family 6 Member 20; SIT1; XT3; Xtrp3; IMINO; Solute Carrier Family 6 (Proline IMINO Transporter), Member 20; Sodium- And Chloride-Dependent Transporter XTRP3; Sodium-Dependent Imino Acid Transporter 1; Sodium/Imino-Acid Transporter 1; Transporter RB21A Homolog; Solute Carrier Family 6 (Neurotransmitter Transporter), Member 20; Neurotransmitter Transporter RB21A; X Transporter Protein 3; Orphan Transporter XT3; XTRP3 |
应用说明
| 应用建议 |
|
||||||||
|---|---|---|---|---|---|---|---|---|---|
| 应用说明 | The dilutions indicate recommended starting dilutions and the optimal dilutions or concentrations should be determined by the scientist. |
属性
| 形式 | Liquid |
|---|---|
| 纯化 | Affinity purified with Immunogen. |
| 缓冲液 | 0.9% NaCl, 0.2% Na2HPO4, 0.05% Sodium azide and 4% Trehalose. |
| 抗菌剂 | 0.05% Sodium azide |
| 稳定剂 | 4% Trehalose |
| 浓度 | 0.5 mg/ml |
| 存放说明 | For continuous use, store undiluted antibody at 2-8°C for up to a week. For long-term storage, aliquot and store at -20°C or below. Storage in frost free freezers is not recommended. Avoid repeated freeze/thaw cycles. Suggest spin the vial prior to opening. The antibody solution should be gently mixed before use. |
| 注意事项 | For laboratory research only, not for drug, diagnostic or other use. |
生物信息
| 数据库连接 |
Swiss-port # Q64093 Rat Sodium- and chloride-dependent transporter XTRP3 Swiss-port # Q9NP91 Human Sodium- and chloride-dependent transporter XTRP3 |
|---|---|
| 基因名称 | SLC6A20 |
| 全名 | Solute Carrier Family 6 Member 20 |
| 背景介绍 | Transport of small hydrophilic substances across cell membranes is mediated by substrate-specific transporter proteins which have been classified into several families of related genes. The protein encoded by this gene belongs to the sodium:neurotransmitter symporter (SNF) family and functions as a proline transporter expressed in kidney and small intestine. Mutations in this gene are associated with Hyperglycinuria and Iminoglycinuria. |
| 生物功能 | Mediates the Na+- and Cl--dependent uptake of imino acids such as L-proline, N-methyl-L-proline and pipecolate as well as N-methylated amino acids. |
| 细胞定位 | Cell membrane, Membrane |
| 预测分子量 | 66 kDa |
| 翻译后修饰 | Glycoprotein |
检测图片 (5) Click the Picture to Zoom In
-
ARG44527 anti-SLC6A20 antibody IHC-P image
Immunohistochemistry: Human liver cancer stained with ARG44527 anti-SLC6A20 antibody at 2 μg/mL dilution.
-
ARG44527 anti-SLC6A20 antibody WB image
Western blot: COLO 320, SW620 and 293T stained with ARG44527 anti-SLC6A20 antibody at 0.5 μg/mL dilution.
-
ARG44527 anti-SLC6A20 antibody FACS image
Flow Cytometry: 293T stained with ARG44527 anti-SLC6A20 antibody at 1 μg/10^6 cells dilution.
-
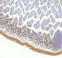
ARG44527 anti-SLC6A20 antibody IHC-P image
Immunohistochemistry: Mouse colon stained with ARG44527 anti-SLC6A20 antibody at 2 μg/mL dilution.
-
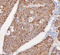
ARG44527 anti-SLC6A20 antibody IHC-P image
Immunohistochemistry: Human rectum adenocarcinoma stained with ARG44527 anti-SLC6A20 antibody at 2 μg/mL dilution.
