ARG45552
anti-SLC44A2 antibody
anti-SLC44A2 antibody for Flow cytometry,IHC-Formalin-fixed paraffin-embedded sections,Western blot and Mouse,Rat
概述
| 产品描述 | Rabbit Polyclonal antibody recognizes SLC44A2 |
|---|---|
| 反应物种 | Ms, Rat |
| 应用 | FACS, IHC-P, WB |
| 宿主 | Rabbit |
| 克隆 | Polyclonal |
| 同位型 | IgG |
| 靶点名称 | SLC44A2 |
| 抗原物种 | Mouse |
| 抗原 | Recombinant protein containing to mouse SLC44A2. |
| 偶联标记 | Un-conjugated |
| 別名 | SLC44A2; Solute Carrier Family 44 Member 2 (CTL2 Blood Group); CTL2; Choline Transporter-Like Protein 2; Solute Carrier Family 44 (Choline Transporter), Member 2; Solute Carrier Family 44 Member 2; Testicular Tissue Protein Li 47; PP1292 |
应用说明
| 应用建议 |
|
||||||||
|---|---|---|---|---|---|---|---|---|---|
| 应用说明 | * The dilutions indicate recommended starting dilutions and the optimal dilutions or concentrations should be determined by the scientist. | ||||||||
| 实际分子量 | 80 kDa |
属性
| 形式 | Liquid |
|---|---|
| 纯化 | Affinity purified |
| 缓冲液 | 0.2% Na2HPO4, 0.9% NaCl and 4% Trehalose. |
| 稳定剂 | 4% Trehalose |
| 浓度 | 0.5 mg/ml |
| 存放说明 | For continuous use, store undiluted antibody at 2-8°C for up to a week. For long-term storage, aliquot and store at -20°C or below. Storage in frost free freezers is not recommended. Avoid repeated freeze/thaw cycles. Suggest spin the vial prior to opening. The antibody solution should be gently mixed before use. |
| 注意事项 | For laboratory research only, not for drug, diagnostic or other use. |
生物信息
| 基因名称 | SLC44A2 |
|---|---|
| 全名 | Solute Carrier Family 44 Member 2 (CTL2 Blood Group) |
| 背景介绍 | Enables choline transmembrane transporter activity and ethanolamine transmembrane transporter activity. Involved in choline transport; ethanolamine transport; and transmembrane transport. Located in mitochondrial outer membrane and plasma membrane. [provided by Alliance of Genome Resources, Feb 2025] |
| 生物功能 | Choline/H+ antiporter, mainly in mitochodria. Also acts as a low-affinity ethanolamine/H+ antiporter, regulating the supply of extracellular ethanolamine (Etn) for the CDP-Etn pathway, redistribute intracellular Etn and balance the CDP-Cho and CDP-Etn arms of the Kennedy pathway. [UniProt] |
| 细胞定位 | Cell membrane; Membrane; Mitochondrion; Mitochondrion outer membrane. [UniProt] |
| 预测分子量 | 80 kDa |
| 翻译后修饰 | Glycoprotein; Phosphoprotein. [UniProt] |
检测图片 (3) Click the Picture to Zoom In
-
ARG45552 anti-SLC44A2 antibody FACS image
Flow Cytometry: HEPA1-6 stained with ARG45552 anti-SLC44A2 antibody at 1 µg/10^6 cells dilution.
-
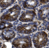
ARG45552 anti-SLC44A2 antibody IHC-P image
Immunohistochemistry: Mouse intestin stained with ARG45552 anti-SLC44A2 antibody at 2 μg/ml dilution.
-
ARG45552 anti-SLC44A2 antibody WB image
Western blot: Mouse lung stained with ARG45552 anti-SLC44A2 antibody at 0.5 μg/ml dilution.
