ARG46680
anti-SLC39A10 antibody
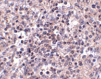
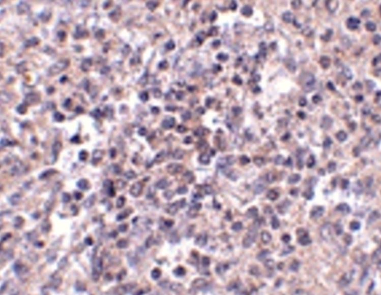
anti-SLC39A10 antibody for Western blot,IHC-Formalin-fixed paraffin-embedded sections and Human,Mouse,Rat
概述
| 产品描述 | Rabbit Polyclonal antibody recognizes SLC39A10 |
|---|---|
| 反应物种 | Hu, Ms, Rat |
| 应用 | IHC-P, WB |
| 宿主 | Rabbit |
| 克隆 | Polyclonal |
| 同位型 | IgG |
| 靶点名称 | SLC39A10 |
| 抗原物种 | Human |
| 抗原 | A 17 amino acid synthetic peptide within the last 50 amino acids of human SLC39A10. |
| 偶联标记 | Un-conjugated |
| 別名 | SLC39A10; Solute Carrier Family 39 Member 10; ZIP10; KIAA1265; Solute Carrier Family 39 (Metal Ion Transporter), Member 10; Solute Carrier Family 39 (Zinc Transporter), Member 10; Zrt- And Irt-Like Protein 10; ZRT/IRT-Like Protein 10; Zinc Transporter ZIP10; Zinc Transporter 10; DKFZp564L2123; FLJ90515; ZIP-10; LZT-Hs2 |
应用说明
| 应用建议 |
|
||||||
|---|---|---|---|---|---|---|---|
| 应用说明 | * The dilutions indicate recommended starting dilutions and the optimal dilutions or concentrations should be determined by the scientist. |
属性
| 纯化 | Affinity chromatography purified |
|---|---|
| 缓冲液 | PBS and 0.02% Sodium azide. |
| 抗菌剂 | 0.02% Sodium azide |
| 浓度 | 1 mg/ml |
| 存放说明 | For continuous use, store undiluted antibody at 2-8°C for up to a week. For long-term storage, aliquot and store at -20°C. Storage in frost free freezers is not recommended. Avoid repeated freeze/thaw cycles. Suggest spin the vial prior to opening. The antibody solution should be gently mixed before use. |
| 注意事项 | For laboratory research only, not for drug, diagnostic or other use. |
生物信息
| 基因名称 | Slc39a10 |
|---|---|
| 全名 | Solute Carrier Family 39 Member 10 |
| 背景介绍 | Zinc is an essential cofactor for hundreds of enzymes. It is involved in protein, nucleic acid, carbohydrate, and lipid metabolism, as well as in the control of gene transcription, growth, development, and differentiation. SLC39A10 belongs to a subfamily of proteins that show structural characteristics of zinc transporters (Taylor and Nicholson, 2003 [PubMed 12659941]). |
| 生物功能 | When associated with SLC39A10, the heterodimer controls NCAM1 phosphorylation and integration into focal adhesion complexes during EMT. |
| 细胞定位 | Cell membrane, Membrane |
| 预测分子量 | 94 kDa |
| 翻译后修饰 | Glycoprotein, Phosphoprotein |
检测图片 (2) Click the Picture to Zoom In
