ARG42971
anti-SLC25A1 antibody
anti-SLC25A1 antibody for Flow cytometry,ICC/IF,Western blot and Human,Mouse,Rat
概述
| 产品描述 | Rabbit Polyclonal antibody recognizes SLC25A1 |
|---|---|
| 反应物种 | Hu, Ms, Rat |
| 应用 | FACS, ICC/IF, WB |
| 宿主 | Rabbit |
| 克隆 | Polyclonal |
| 同位型 | IgG |
| 靶点名称 | SLC25A1 |
| 抗原物种 | Human |
| 抗原 | Recombinant protein corresponding to I38-D311 of Human SLC25A1. |
| 偶联标记 | Un-conjugated |
| 別名 | SLC20A3; CTP; Citrate transport protein; Solute carrier family 25 member 1; D2L2AD; Tricarboxylate transport protein, mitochondrial; SEA; Tricarboxylate carrier protein |
应用说明
| 应用建议 |
|
||||||||
|---|---|---|---|---|---|---|---|---|---|
| 应用说明 | * The dilutions indicate recommended starting dilutions and the optimal dilutions or concentrations should be determined by the scientist. | ||||||||
| 实际分子量 | ~ 31 kDa |
属性
| 形式 | Liquid |
|---|---|
| 纯化 | Affinity purification with immunogen. |
| 缓冲液 | 0.2% Na2HPO4, 0.9% NaCl, 0.05% Sodium azide and 4% Trehalose. |
| 抗菌剂 | 0.05% Sodium azide |
| 稳定剂 | 4% Trehalose |
| 浓度 | 0.5 mg/ml |
| 存放说明 | For continuous use, store undiluted antibody at 2-8°C for up to a week. For long-term storage, aliquot and store at -20°C or below. Storage in frost free freezers is not recommended. Avoid repeated freeze/thaw cycles. Suggest spin the vial prior to opening. The antibody solution should be gently mixed before use. |
| 注意事项 | For laboratory research only, not for drug, diagnostic or other use. |
生物信息
| 数据库连接 | |
|---|---|
| 基因名称 | SLC25A1 |
| 全名 | solute carrier family 25 (mitochondrial carrier; citrate transporter), member 1 |
| 背景介绍 | This gene encodes a member of the mitochondrial carrier subfamily of solute carrier proteins. Members of this family include nuclear-encoded transporters that translocate small metabolites across the mitochondrial membrane. This protein regulates the movement of citrate across the inner membranes of the mitochondria. Mutations in this gene have been associated with combined D-2- and L-2-hydroxyglutaric aciduria. Pseudogenes of this gene have been identified on chromosomes 7, 11, 16, and 19. Alternative splicing results in multiple transcript variants. [provided by RefSeq, Dec 2013] |
| 生物功能 | Citrate transporter that mediates the exchange of mitochondrial citrate for cytosolic malate (PubMed:29031613, PubMed:29238895). Also able to mediate the exchange of citrate for isocitrate, phosphoenolpyruvate, cis- but not trans-aconitate and to a lesser extend maleate and succinate (PubMed:29031613). Important for the bioenergetics of hepatic cells as it provides a carbon source for fatty acid and sterol biosyntheses, and NAD(+) for the glycolytic pathway. Required for proper neuromuscular junction formation (Probable). [UniProt] |
| 细胞定位 | Mitochondrion inner membrane; Multi-pass membrane protein. [UniProt] |
| 预测分子量 | 34 kDa |
检测图片 (3) Click the Picture to Zoom In
-
ARG42971 anti-SLC25A1 antibody ICC/IF image
Immunofluorescence: HeLa cells were blocked with 10% goat serum and then stained with ARG42971 anti-SLC25A1 antibody (red) at 2 µg/ml dilution, overnight at 4°C. DAPI (blue) for nuclear staining.
-
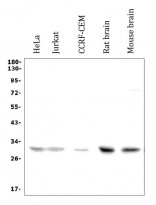
ARG42971 anti-SLC25A1 antibody WB image
Western blot: 50 µg of sample under reducing conditions. HeLa, Jurkat, CCRF-CEM, Rat brain and Mouse brain lysates stained with ARG42971 anti-SLC25A1 antibody at 0.5 µg/ml dilution, overnight at 4°C.
-
ARG42971 anti-SLC25A1 antibody FACS image
Flow Cytometry: 293T cells were blocked with 10% normal goat serum and then stained with ARG42971 anti-SLC25A1 antibody (blue) at 1 µg/10^6 cells for 30 min at 20°C, followed by incubation with DyLight®488 labelled secondary antibody. Isotype control antibody (green) was Rabbit IgG (1 µg/10^6 cells) used under the same conditions. Unlabelled sample (red) was also used as a control.
