ARG45232
anti-SLC22A7 antibody
anti-SLC22A7 antibody for Flow cytometry,IHC-Formalin-fixed paraffin-embedded sections,Western blot and Human,Mouse,Rat
概述
| 产品描述 | Rabbit Polyclonal antibody recognizes SLC22A7 |
|---|---|
| 反应物种 | Hu, Ms, Rat |
| 应用 | FACS, IHC-P, WB |
| 宿主 | Rabbit |
| 克隆 | Polyclonal |
| 同位型 | IgG |
| 靶点名称 | SLC22A7 |
| 抗原物种 | Human |
| 抗原 | Recombinant protein containing to human OAT2; SLC22A7. |
| 偶联标记 | Un-conjugated |
| 別名 | SLC22A7; Solute Carrier Family 22 Member 7; OAT2; NLT; Solute Carrier Family 22 (Organic Anion Transporter), Member 7; Organic Anion Transporter 2; Novel Liver Transporter; HOAT2; Organic Anion Transporter 1; Liver-Specific Transporter; HOAT11 |
应用说明
| 应用建议 |
|
||||||||
|---|---|---|---|---|---|---|---|---|---|
| 应用说明 | * The dilutions indicate recommended starting dilutions and the optimal dilutions or concentrations should be determined by the scientist. | ||||||||
| 实际分子量 | 60 kDa |
属性
| 形式 | Liquid |
|---|---|
| 纯化 | Affinity purification with immunogen. |
| 缓冲液 | 0.2% Na2HPO4, 0.9% NaCl and 4% Trehalose. |
| 稳定剂 | 4% Trehalose |
| 浓度 | 0.5 mg/ml |
| 存放说明 | For continuous use, store undiluted antibody at 2-8°C for up to a week. For long-term storage, aliquot and store at -20°C or below. Storage in frost free freezers is not recommended. Avoid repeated freeze/thaw cycles. Suggest spin the vial prior to opening. The antibody solution should be gently mixed before use. |
| 注意事项 | For laboratory research only, not for drug, diagnostic or other use. |
生物信息
| 数据库连接 | |
|---|---|
| 基因名称 | SLC22A7 |
| 全名 | Solute Carrier Family 22 Member 7 |
| 背景介绍 | The protein encoded by this gene is involved in the sodium-independent transport and excretion of organic anions, some of which are potentially toxic. The encoded protein is an integral membrane protein and appears to be localized to the basolateral membrane of the kidney. Alternatively spliced transcript variants encoding different isoforms have been described. [provided by RefSeq, Jul 2008] |
| 生物功能 | Functions as a Na+-independent bidirectional multispecific transporter. [UniProt] |
| 细胞定位 | Cell membrane; Cytoplasm; Membrane. [UniProt] |
| 预测分子量 | 60 kDa |
| 翻译后修饰 | Glycoprotein. [UniProt] |
检测图片 (7) Click the Picture to Zoom In
-
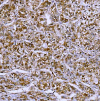
ARG45232 anti-SLC22A7 antibody IHC-P image
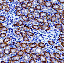
Immunohistochemistry: Human liver cancer stained with ARG45232 anti-SLC22A7 antibody at 2 μg/ml dilution.
-
ARG45232 anti-SLC22A7 antibody WB image
Western blot: HCCT stained with ARG45232 anti-SLC22A7 antibody at 0.5 μg/ml dilution.
-
ARG45232 anti-SLC22A7 antibody FACS image
Flow Cytometry: HepG2 stained with ARG45232 anti-SLC22A7 antibody at 1 µg/10^6 cells dilution.
-
ARG45232 anti-SLC22A7 antibody IHC-P image
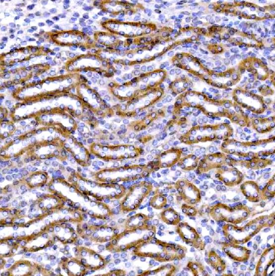
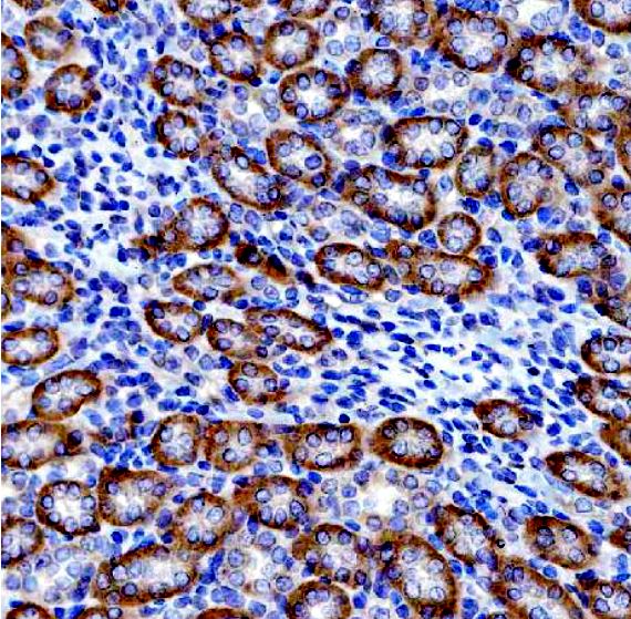
Immunohistochemistry: Rat kidney stained with ARG45232 anti-SLC22A7 antibody at 2 μg/ml dilution.
-
ARG45232 anti-SLC22A7 antibody WB image
Western blot: Rat kidney stained with ARG45232 anti-SLC22A7 antibody at 0.5 μg/ml dilution.
-
ARG45232 anti-SLC22A7 antibody IHC-P image
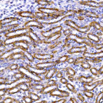
Immunohistochemistry: Mouse kidney stained with ARG45232 anti-SLC22A7 antibody at 2 μg/ml dilution.
-
ARG45232 anti-SLC22A7 antibody WB image
Western blot: Mouse liver and mouse kidney stained with ARG45232 anti-SLC22A7 antibody at 0.5 μg/ml dilution.
