ARG59143
anti-SLC22A2 / OCT2 antibody
anti-SLC22A2 / OCT2 antibody for Flow cytometry,IHC-Formalin-fixed paraffin-embedded sections and Human
概述
| 产品描述 | Rabbit Polyclonal antibody recognizes SLC22A2 / OCT2 |
|---|---|
| 反应物种 | Hu |
| 应用 | FACS, IHC-P |
| 宿主 | Rabbit |
| 克隆 | Polyclonal |
| 同位型 | IgG |
| 靶点名称 | SLC22A2 / OCT2 |
| 抗原物种 | Human |
| 抗原 | KLH-conjugated synthetic peptide corresponding to aa. 57-89 of Human SLC22A2 / OCT2. |
| 偶联标记 | Un-conjugated |
| 別名 | Organic cation transporter 2; OCT2; hOCT2; Solute carrier family 22 member 2 |
应用说明
| 应用建议 |
|
||||||
|---|---|---|---|---|---|---|---|
| 应用说明 | IHC-P: Antigen Retrieval: Heat mediated was performed in Citrate buffer (pH 6.0). * The dilutions indicate recommended starting dilutions and the optimal dilutions or concentrations should be determined by the scientist. |
属性
| 形式 | Liquid |
|---|---|
| 纯化 | Purification with Protein A and immunogen peptide. |
| 缓冲液 | PBS and 0.09% (W/V) Sodium azide. |
| 抗菌剂 | 0.09% (W/V) Sodium azide |
| 存放说明 | For continuous use, store undiluted antibody at 2-8°C for up to a week. For long-term storage, aliquot and store at -20°C or below. Storage in frost free freezers is not recommended. Avoid repeated freeze/thaw cycles. Suggest spin the vial prior to opening. The antibody solution should be gently mixed before use. |
| 注意事项 | For laboratory research only, not for drug, diagnostic or other use. |
生物信息
| 数据库连接 | |
|---|---|
| 基因名称 | SLC22A2 |
| 全名 | solute carrier family 22 (organic cation transporter), member 2 |
| 背景介绍 | Polyspecific organic cation transporters in the liver, kidney, intestine, and other organs are critical for elimination of many endogenous small organic cations as well as a wide array of drugs and environmental toxins. This gene is one of three similar cation transporter genes located in a cluster on chromosome 6. The encoded protein contains twelve putative transmembrane domains and is a plasma integral membrane protein. It is found primarily in the kidney, where it may mediate the first step in cation reabsorption. [provided by RefSeq, Jul 2008] |
| 生物功能 | Mediates tubular uptake of organic compounds from circulation. Mediates the influx of agmatine, dopamine, noradrenaline (norepinephrine), serotonin, choline, famotidine, ranitidine, histamin, creatinine, amantadine, memantine, acriflavine, 4-[4-(dimethylamino)-styryl]-N-methylpyridinium ASP, amiloride, metformin, N-1-methylnicotinamide (NMN), tetraethylammonium (TEA), 1-methyl-4-phenylpyridinium (MPP), cimetidine, cisplatin and oxaliplatin. Cisplatin may develop a nephrotoxic action. Transport of creatinine is inhibited by fluoroquinolones such as DX-619 and LVFX. This transporter is a major determinant of the anticancer activity of oxaliplatin and may contribute to antitumor specificity. [UniProt] |
| 细胞定位 | Membrane; Multi-pass membrane protein. [UniProt] |
| 预测分子量 | 63 kDa |
检测图片 (2) Click the Picture to Zoom In
-
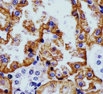
ARG59143 anti-SLC22A2 / OCT2 antibody IHC-P image
Immunohistochemistry: Paraformaldehyde-fixed and paraffin-embedded Human kidney tissue. Tissue was fixed with formaldehyde and blocked with 3% BSA for 0.5 hour at RT. Antigen Retrieval: Heat mediated was performed in Citrate buffer (pH 6.0). Samples were stained with ARG59143 anti-SLC22A2 / OCT2 antibody at 1:25, 37°C for 1 hour.
-
ARG59143 anti-SLC22A2 / OCT2 antibody FACS image
Flow Cytometry: A431 cells were fixed with 2% paraformaldehyde (10 min). The cells were then incubated in 2% BSA to block non-specific protein-protein interactions followed by ARG59143 anti-SLC22A2 / OCT2 antibody (right histogram) at 1:25, 37°C for 60 min, followed by DyLight®488 labelled secondary antibody. Isotype control antibody (left histogram) was Rabbit IgG (1 µg/10^6 cells) used under the same conditions. Acquisition of > 10000 events was performed.
