ARG45171
anti-SLC18A1 / VMAT1 antibody
anti-SLC18A1 / VMAT1 antibody for Flow cytometry,Immunohistochemistry,Western blot and Human
概述
| 产品描述 | Rabbit Polyclonal antibody recognizes SLC18A1 / VMAT1 |
|---|---|
| 反应物种 | Hu |
| 应用 | FACS, IHC, WB |
| 宿主 | Rabbit |
| 克隆 | Polyclonal |
| 同位型 | IgG |
| 靶点名称 | SLC18A1 / VMAT1 |
| 抗原物种 | Human |
| 抗原 | Recombinant protein containing to human SLC18A1 / VMAT1 . |
| 偶联标记 | Un-conjugated |
| 別名 | SLC18A1; solute carrier family 18 member A1; Chromaffin granule amine transporter; Solute carrier family 18 member 1; Vesicular amine transporter 1; VAT1; SLC18A1; VAT1; VMAT1 |
应用说明
| 应用建议 |
|
||||||||
|---|---|---|---|---|---|---|---|---|---|
| 应用说明 | * The dilutions indicate recommended starting dilutions and the optimal dilutions or concentrations should be determined by the scientist. | ||||||||
| 实际分子量 | 56 kDa |
属性
| 形式 | Liquid |
|---|---|
| 纯化 | Affinity purification with immunogen. |
| 缓冲液 | 0.2% Na2HPO4, 0.9% NaCl, 0.05% Sodium azide and 4% Trehalose. |
| 抗菌剂 | 0.05% Sodium azide |
| 稳定剂 | 4% Trehalose |
| 浓度 | 0.5 mg/ml |
| 存放说明 | For continuous use, store undiluted antibody at 2-8°C for up to a week. For long-term storage, aliquot and store at -20°C or below. Storage in frost free freezers is not recommended. Avoid repeated freeze/thaw cycles. Suggest spin the vial prior to opening. The antibody solution should be gently mixed before use. |
| 注意事项 | For laboratory research only, not for drug, diagnostic or other use. |
生物信息
| 数据库连接 |
Swiss-port # P54219 Human Chromaffin granule amine transporter |
|---|---|
| 基因名称 | SLC18A1 |
| 全名 | solute carrier family 18 member A1 |
| 背景介绍 | The vesicular monoamine transporter acts to accumulate cytosolic monoamines into vesicles, using the proton gradient maintained across the vesicular membrane. Its proper function is essential to the correct activity of the monoaminergic systems that have been implicated in several human neuropsychiatric disorders. The transporter is a site of action of important drugs, including reserpine and tetrabenazine (Peter et al., 1993 [PubMed 7905859]). See also SLC18A2 (MIM 193001).[supplied by OMIM, Mar 2008] |
| 生物功能 | Electrogenic antiporter that exchanges one cationic monoamine with two intravesicular protons across the membrane of secretory and synaptic vesicles. Uses the electrochemical proton gradient established by the V-type proton-pump ATPase to accumulate high concentrations of monoamines inside the vesicles prior to their release via exocytosis. Transports catecholamines and indolamines with higher affinity for serotonin. [UniProt] |
| 细胞定位 | Cytoplasmic vesicle membrane; Synaptic vesicle membrane; Endoplasmic reticulum membrane. [UniProt] |
| 预测分子量 | 56 kDa |
| 翻译后修饰 | Glycoprotein. [UniProt] |
检测图片 (3) Click the Picture to Zoom In
-
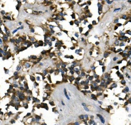
ARG45171 anti-SLC18A1 / VMAT1 antibody IHC-P image
Immunohistochemistry: Human pancreatic cancer stained with ARG45171 anti-SLC18A1 / VMAT1 antibody at 1 μg/ml dilution.
-
ARG45171 anti-SLC18A1 / VMAT1 antibody WB image
Western blot: Hela, A549, U-87MG, A431, HL-60, and K562 stained with ARG45171 anti-SLC18A1 / VMAT1 antibody at 0.5 μg/ml dilution.
-
ARG45171 anti-SLC18A1 / VMAT1 antibody FACS image
Flow Cytometry: HL-60 stained with ARG45171 anti-SLC18A1 / VMAT1 antibody at 1 µg/10^6 cells dilution.
