ARG51791
anti-SHP1 phospho (Tyr536) antibody
anti-SHP1 phospho (Tyr536) antibody for ICC/IF,IHC-Formalin-fixed paraffin-embedded sections and Human,Mouse,Rat
Cancer antibody; Cell Biology and Cellular Response antibody; Developmental Biology antibody; Signaling Transduction antibody
概述
| 产品描述 | Rabbit Polyclonal antibody recognizes SHP1 phospho (Tyr536) |
|---|---|
| 反应物种 | Hu, Ms, Rat |
| 应用 | ICC/IF, IHC-P |
| 宿主 | Rabbit |
| 克隆 | Polyclonal |
| 同位型 | IgG |
| 靶点名称 | SHP1 |
| 抗原物种 | Human |
| 抗原 | Peptide sequence around phosphorylation site of tyrosine 536 (S-E-Y(p)-G-N) derived from Human SHP-1. |
| 偶联标记 | Un-conjugated |
| 別名 | HCP; Hematopoietic cell protein-tyrosine phosphatase; Protein-tyrosine phosphatase SHP-1; SH-PTP1; PTP-1C; HPTP1C; HCPH; Tyrosine-protein phosphatase non-receptor type 6; SHP-1; EC 3.1.3.48; SHP1; SHP-1L; Protein-tyrosine phosphatase 1C |
应用说明
| 应用建议 |
|
||||||
|---|---|---|---|---|---|---|---|
| 应用说明 | * The dilutions indicate recommended starting dilutions and the optimal dilutions or concentrations should be determined by the scientist. |
属性
| 形式 | Liquid |
|---|---|
| 纯化 | Antibodies were produced by immunizing rabbits with KLH-conjugated synthetic phosphopeptide. Antibodies were purified by affinity-chromatography using epitope-specific phosphopeptide. In addition, non-phospho specific antibodies were removed by chromatogramphy using non-phosphopeptide. |
| 缓冲液 | PBS (without Mg2+ and Ca2+, pH 7.4), 150mM NaCl, 0.02% Sodium azide and 50% Glycerol. |
| 抗菌剂 | 0.02% Sodium azide |
| 稳定剂 | 50% Glycerol |
| 浓度 | 1 mg/ml |
| 存放说明 | For continuous use, store undiluted antibody at 2-8°C for up to a week. For long-term storage, aliquot and store at -20°C. Storage in frost free freezers is not recommended. Avoid repeated freeze/thaw cycles. Suggest spin the vial prior to opening. The antibody solution should be gently mixed before use. |
| 注意事项 | For laboratory research only, not for drug, diagnostic or other use. |
生物信息
| 数据库连接 | |
|---|---|
| 基因名称 | PTPN6 |
| 全名 | protein tyrosine phosphatase, non-receptor type 6 |
| 背景介绍 | Acts downstream of various receptor and cytoplasmic protein tyrosine kinases to participate in the signal transduction from the cell surface to the nucleus. |
| 生物功能 | Modulates signaling by tyrosine phosphorylated cell surface receptors such as KIT and the EGF receptor/EGFR. The SH2 regions may interact with other cellular components to modulate its own phosphatase activity against interacting substrates. Together with MTUS1, induces UBE2V2 expression upon angiotensin II stimulation. Plays a key role in hematopoiesis. [UniProt] |
| 研究领域 | Cancer antibody; Cell Biology and Cellular Response antibody; Developmental Biology antibody; Signaling Transduction antibody |
| 预测分子量 | 68 kDa |
| 翻译后修饰 | Phosphorylated on tyrosine residues. Binding of KITLG/SCF to KIT increases tyrosine phosphorylation (By similarity). Phosphorylation at Tyr-564 enhances phosphatase activity. |
检测图片 (2) Click the Picture to Zoom In
-
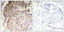
ARG51791 anti-SHP1 phospho (Tyr536) antibody IHC-P image
Immunohistochemistry: Paraffin-embedded Human breast carcinoma tissue stained with ARG51791 anti-SHP1 phospho (Tyr536) antibody (left) or the same antibody preincubated with blocking peptide (right).
-
ARG51791 anti-SHP1 phospho (Tyr536) antibody ICC/IF image
Immunofluorescence: methanol-fixed HeLa cells stained with ARG51791 anti-SHP1 phospho (Tyr536) antibody.
