ARG42134
anti-SH3GL2 antibody
anti-SH3GL2 antibody for IHC-Formalin-fixed paraffin-embedded sections,Western blot and Human
概述
| 产品描述 | Goat Polyclonal antibody recognizes SH3GL2 |
|---|---|
| 反应物种 | Hu |
| 预测物种 | Pig |
| 应用 | IHC-P, WB |
| 宿主 | Goat |
| 克隆 | Polyclonal |
| 同位型 | IgG |
| 靶点名称 | SH3GL2 |
| 抗原物种 | Human |
| 抗原 | Synthetic peptide around the internal region of Human SH3GL2. (C-SLEFPTGDSTQPN) (NP_003017.1) |
| 偶联标记 | Un-conjugated |
| 別名 | SH3P4; SH3 domain-containing GRB2-like protein 2; EEN-B1; Endophilin-A1; CNSA2; Endophilin-1; SH3D2A; SH3 domain protein 2A |
应用说明
| 应用建议 |
|
||||||
|---|---|---|---|---|---|---|---|
| 应用说明 | WB: Recommend incubate at RT for 1h. IHC-P: Antigen Retrieval: Steam tissue section in Citrate buffer (pH 6.0). * The dilutions indicate recommended starting dilutions and the optimal dilutions or concentrations should be determined by the scientist. |
||||||
| 阳性对照 | Human frontal cortex | ||||||
| 实际分子量 | ~ 40 kDa |
属性
| 形式 | Liquid |
|---|---|
| 纯化 | Affinity purified |
| 缓冲液 | Tris saline (pH 7.3), 0.02% Sodium azide and 0.5% BSA. |
| 抗菌剂 | 0.02% Sodium azide |
| 稳定剂 | 0.5% BSA |
| 浓度 | 0.5 mg/ml |
| 存放说明 | For continuous use, store undiluted antibody at 2-8°C for up to a week. For long-term storage, aliquot and store at -20°C or below. Storage in frost free freezers is not recommended. Avoid repeated freeze/thaw cycles. Suggest spin the vial prior to opening. The antibody solution should be gently mixed before use. |
| 注意事项 | For laboratory research only, not for drug, diagnostic or other use. |
生物信息
| 数据库连接 | |
|---|---|
| 基因名称 | SH3GL2 |
| 全名 | SH3-domain GRB2-like 2 |
| 生物功能 | Implicated in synaptic vesicle endocytosis. May recruit other proteins to membranes with high curvature. Required for BDNF-dependent dendrite outgrowth. Cooperates with SH3GL2 to mediate BDNF-NTRK2 early endocytic trafficking and signaling from early endosomes. [UniProt] |
| 细胞定位 | Cytoplasm. Membrane; Peripheral membrane protein. Early endosome. Note=Concentrated in presynaptic nerve terminals in neurons. [UniProt] |
| 预测分子量 | 40 kDa |
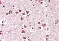
检测图片 (2) Click the Picture to Zoom In
-
ARG42134 anti-SH3GL2 antibody IHC-P image
Immunohistochemistry: Paraffin-embedded Human cerebral cortex tissue. Antigen Retrieval: Steam tissue section in Citrate buffer (pH 6.0). The tissue section was stained with ARG42134 anti-SH3GL2 antibody at 5 µg/ml dilution followed by AP-staining.
-
ARG42134 anti-SH3GL2 antibody WB image
Western blot: 35 µg of Human frontal cortex lysate (in RIPA buffer) stained with ARG42134 anti-SH3GL2 antibody at 0.3 µg/ml dilution and incubated at RT for 1 hour.
