ARG42131
anti-SH3GL1 / EEN antibody
anti-SH3GL1 / EEN antibody for IHC-Formalin-fixed paraffin-embedded sections,Western blot and Human
概述
| 产品描述 | Goat Polyclonal antibody recognizes SH3GL1 / EEN |
|---|---|
| 反应物种 | Hu |
| 预测物种 | Cow, Dog |
| 应用 | IHC-P, WB |
| 宿主 | Goat |
| 克隆 | Polyclonal |
| 同位型 | IgG |
| 靶点名称 | SH3GL1 / EEN |
| 抗原物种 | Human |
| 抗原 | Synthetic peptide around the internal region of Human SH3GL1 / EEN. (C-EPFDLGEPEQSN) (NP_003016.1) |
| 偶联标记 | Un-conjugated |
| 別名 | SH3P8; Extra eleven-nineteen leukemia fusion gene protein; Endophilin-A2; CNSA1; EEN; SH3 domain protein 2B; Endophilin-2; EEN fusion partner of MLL; SH3D2B; SH3 domain-containing GRB2-like protein 1 |
应用说明
| 应用建议 |
|
||||||
|---|---|---|---|---|---|---|---|
| 应用说明 | WB: Recommend incubate at RT for 1h. IHC-P: Antigen Retrieval: Steam tissue section in Citrate buffer (pH 6.0). * The dilutions indicate recommended starting dilutions and the optimal dilutions or concentrations should be determined by the scientist. |
||||||
| 阳性对照 | K562 | ||||||
| 实际分子量 | ~ 45 kDa |
属性
| 形式 | Liquid |
|---|---|
| 纯化 | Affinity purified |
| 缓冲液 | Tris saline (pH 7.3), 0.02% Sodium azide and 0.5% BSA. |
| 抗菌剂 | 0.02% Sodium azide |
| 稳定剂 | 0.5% BSA |
| 浓度 | 0.5 mg/ml |
| 存放说明 | For continuous use, store undiluted antibody at 2-8°C for up to a week. For long-term storage, aliquot and store at -20°C or below. Storage in frost free freezers is not recommended. Avoid repeated freeze/thaw cycles. Suggest spin the vial prior to opening. The antibody solution should be gently mixed before use. |
| 注意事项 | For laboratory research only, not for drug, diagnostic or other use. |
生物信息
| 数据库连接 | |
|---|---|
| 基因名称 | SH3GL1 |
| 全名 | SH3-domain GRB2-like 1 |
| 背景介绍 | This gene encodes a member of the endophilin family of Src homology 3 domain-containing proteins. The encoded protein is involved in endocytosis and may also play a role in the cell cycle. Overexpression of this gene may play a role in leukemogenesis, and the encoded protein has been implicated in acute myeloid leukemia as a fusion partner of the myeloid-lymphoid leukemia protein. Pseudogenes of this gene are located on the long arm of chromosomes 11 and 17. Alternatively spliced transcript variants encoding multiple isoforms have been observed for this gene. [provided by RefSeq, Jan 2011] |
| 生物功能 | Implicated in endocytosis. May recruit other proteins to membranes with high curvature (By similarity). [UniProt] |
| 细胞定位 | Cytoplasm. Early endosome membrane; Peripheral membrane protein. Cell projection, podosome. Note=Associated with postsynaptic endosomes in hippocampal neurons. [UniProt] |
| 预测分子量 | 41 kDa |
检测图片 (2) Click the Picture to Zoom In
-
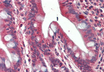
ARG42131 anti-SH3GL1 / EEN antibody IHC-P image
Immunohistochemistry: Paraffin-embedded Human small intestine tissue. Antigen Retrieval: Steam tissue section in Citrate buffer (pH 6.0). The tissue section was stained with ARG42131 anti-SH3GL1 / EEN antibody at 5 µg/ml dilution followed by AP-staining.
-
ARG42131 anti-SH3GL1 / EEN antibody WB image
Western blot: 35 µg of K562 cell lysate (in RIPA buffer) stained with ARG42131 anti-SH3GL1 / EEN antibody at 0.3 µg/ml dilution and incubated at RT for 1 hour.
