ARG63425
anti-SH3BP1 antibody
anti-SH3BP1 antibody for ICC/IF,IHC-Formalin-fixed paraffin-embedded sections,Western blot and Human
Signaling Transduction antibody
概述
| 产品描述 | Goat Polyclonal antibody recognizes SH3BP1 |
|---|---|
| 反应物种 | Hu |
| 应用 | ICC/IF, IHC-P, WB |
| 宿主 | Goat |
| 克隆 | Polyclonal |
| 同位型 | IgG |
| 靶点名称 | SH3BP1 |
| 抗原物种 | Human |
| 抗原 | C-PQPRPRSLASETN |
| 偶联标记 | Un-conjugated |
| 別名 | SH3 domain-binding protein 1; 3BP-1; ARHGAP43 |
应用说明
| 应用建议 |
|
||||||||
|---|---|---|---|---|---|---|---|---|---|
| 应用说明 | IHC-P: Antigen Retrieval: Microwaved tissue section in Citrate buffer (pH 6.0). WB: Recommend incubate at RT for 1h. * The dilutions indicate recommended starting dilutions and the optimal dilutions or concentrations should be determined by the scientist. |
属性
| 形式 | Liquid |
|---|---|
| 纯化 | Purified from goat serum by antigen affinity chromatography. |
| 缓冲液 | Tris saline (pH 7.3), 0.02% Sodium azide and 0.5% BSA. |
| 抗菌剂 | 0.02% Sodium azide |
| 稳定剂 | 0.5% BSA |
| 浓度 | 0.5 mg/ml |
| 存放说明 | For continuous use, store undiluted antibody at 2-8°C for up to a week. For long-term storage, aliquot and store at -20°C or below. Storage in frost free freezers is not recommended. Avoid repeated freeze/thaw cycles. Suggest spin the vial prior to opening. The antibody solution should be gently mixed before use. |
| 注意事项 | For laboratory research only, not for drug, diagnostic or other use. |
生物信息
| 数据库连接 | |
|---|---|
| 基因名称 | SH3BP1 |
| 全名 | SH3-domain binding protein 1 |
| 生物功能 | Binds differentially to the SH3 domains of certain proteins of signal transduction pathways. This protein binds preferentially to the ABL1 proto-oncogene, SRC and GRB2. Shows GAP activity for Rac-related proteins but not for Rho- or Ras-related proteins. It inhibits PDGF-induced membrane ruffling mediated by Rac (By similarity). [UniProt] |
| 研究领域 | Signaling Transduction antibody |
| 预测分子量 | 76 kDa |
检测图片 (2) Click the Picture to Zoom In
-
ARG63425 anti-SH3BP1 antibody WB image
Western Blot: Human Brain lysate (RIPA buffer, 35 µg total protein per lane) stained with ARG63425 anti-SH3BP1 antibody at 1 µg/ml dilution.
-
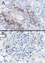
ARG63425 anti-SH3BP1 antibody IHC-P image
Immunohistochemistry: paraffin embedded Human Kidnay. Cytoplasmic staining of lymphocytes A) in the interstitial parenchyma of the kidney. B) in a glomerulus of the kidney. (Microwaved antigen retrieval with citrate buffer pH 6) stained with ARG63425 anti-SH3BP1 antibody at 0.3 µg/ml dilution followed by HRP-staining.
