ARG45270
anti-SGCE antibody
anti-SGCE antibody for Flow cytometry,IHC-Formalin-fixed paraffin-embedded sections,Western blot and Human,Mouse,Rat
概述
| 产品描述 | Polyclonal antibody recognizes SGCE |
|---|---|
| 反应物种 | Hu, Ms, Rat |
| 应用 | FACS, IHC-P, WB |
| 宿主 | Rabbit |
| 克隆 | Polyclonal |
| 同位型 | IgG |
| 靶点名称 | SGCE |
| 抗原物种 | Human |
| 抗原 | Recombinant protein containing to human SGCE. |
| 偶联标记 | Un-conjugated |
| 別名 | SGCE; Sarcoglycan Epsilon; Epsilon-Sarcoglycan; Epsilon-SG; DYT11; ESG; Dystonia 11, Myoclonic |
应用说明
| 应用建议 |
|
||||||||
|---|---|---|---|---|---|---|---|---|---|
| 应用说明 | * The dilutions indicate recommended starting dilutions and the optimal dilutions or concentrations should be determined by the scientist. | ||||||||
| 实际分子量 | 50 kDa |
属性
| 形式 | Liquid |
|---|---|
| 纯化 | Affinity purification with immunogen. |
| 缓冲液 | 0.2% Na2HPO4, 0.9% NaCl and 4% Trehalose. |
| 稳定剂 | 4% Trehalose |
| 浓度 | 0.5 mg/ml |
| 存放说明 | For continuous use, store undiluted antibody at 2-8°C for up to a week. For long-term storage, aliquot and store at -20°C or below. Storage in frost free freezers is not recommended. Avoid repeated freeze/thaw cycles. Suggest spin the vial prior to opening. The antibody solution should be gently mixed before use. |
| 注意事项 | For laboratory research only, not for drug, diagnostic or other use. |
生物信息
| 数据库连接 | |
|---|---|
| 基因名称 | SGCE |
| 全名 | Sarcoglycan Epsilon |
| 背景介绍 | This gene encodes the epsilon member of the sarcoglycan family. Sarcoglycans are transmembrane proteins that are components of the dystrophin-glycoprotein complex, which link the actin cytoskeleton to the extracellular matrix. Unlike other family members which are predominantly expressed in striated muscle, the epsilon sarcoglycan is more broadly expressed. Mutations in this gene are associated with myoclonus-dystonia syndrome. This gene is imprinted, with preferential expression from the paternal allele. Alternatively spliced transcript variants encoding different isoforms have been found for this gene. A pseudogene associated with this gene is located on chromosome 2. [provided by RefSeq, Oct 2016] |
| 生物功能 | Component of the sarcoglycan complex, a subcomplex of the dystrophin-glycoprotein complex which forms a link between the F-actin cytoskeleton and the extracellular matrix.. [UniProt] |
| 细胞定位 | Cell membrane; Cell projection; Cytoplasm; Cytoskeleton; Golgi apparatus; Membrane. [UniProt] |
| 预测分子量 | 50 kDa |
| 翻译后修饰 | Glycoprotein; Ubl conjugation. [UniProt] |
检测图片 (7) Click the Picture to Zoom In
-
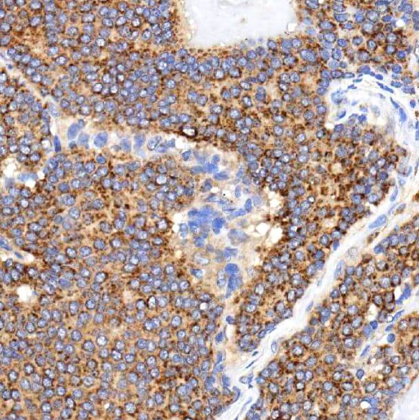
ARG45270 anti-SGCE antibody IHC-P image
Immunohistochemistry: Human breast cancer stained with ARG45270 anti-SGCE antibody at 2 μg/ml dilution.
-
ARG45270 anti-SGCE antibody WB image
Western blot: U251 stained with ARG45270 anti-SGCE antibody at 0.5 μg/ml dilution.
-
ARG45270 anti-SGCE antibody FACS image
Flow Cytometry: PC-3 stained with ARG45270 anti-SGCE antibody at 1 µg/10^6 cells dilution.
-
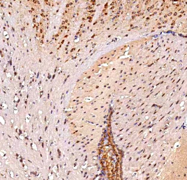
ARG45270 anti-SGCE antibody IHC-P image
Immunohistochemistry: Rat brain stained with ARG45270 anti-SGCE antibody at 2 μg/ml dilution.
-
ARG45270 anti-SGCE antibody WB image
Western blot: Rat brain and rat heart stained with ARG45270 anti-SGCE antibody at 0.5 μg/ml dilution.
-
ARG45270 anti-SGCE antibody IHC-P image
Immunohistochemistry: Mouse brain stained with ARG45270 anti-SGCE antibody at 2 μg/ml dilution.
-
ARG45270 anti-SGCE antibody WB image
Western blot: Mouse brain and mouse heart stained with ARG45270 anti-SGCE antibody at 0.5 μg/ml dilution.
