ARG40153
anti-SFRS9 antibody
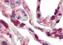
anti-SFRS9 antibody for IHC-Formalin-fixed paraffin-embedded sections,Western blot and Human
概述
| 产品描述 | Rabbit Polyclonal antibody recognizes SFRS9 |
|---|---|
| 反应物种 | Hu |
| 预测物种 | Ms, Rat, Cow, Dog, Gpig, Hrs, Rb, Zfsh |
| 应用 | IHC-P, WB |
| 宿主 | Rabbit |
| 克隆 | Polyclonal |
| 同位型 | IgG |
| 靶点名称 | SFRS9 |
| 抗原物种 | Human |
| 抗原 | Synthetic peptide around the middle region of Human SFRS9. (within the following region: VCYADVQKDGVGMVEYLRKEDMEYALRKLDDTKFRSHEGETSYIRVYPER) |
| 偶联标记 | Un-conjugated |
| 別名 | Serine/arginine-rich splicing factor 9; Pre-mRNA-splicing factor SRp30C; Splicing factor, arginine/serine-rich 9; SRp30c; SFRS9 |
应用说明
| 预测反应性说明 | Predicted Homology Based On Immunogen Sequence: Cow: 93%; Dog: 100%; Guinea Pig: 100%; Horse: 100%; Mouse: 100%; Rabbit: 100%; Rat: 100%; Zebrafish: 93%. | ||||||
|---|---|---|---|---|---|---|---|
| 应用建议 |
|
||||||
| 应用说明 | * The dilutions indicate recommended starting dilutions and the optimal dilutions or concentrations should be determined by the scientist. |
属性
| 形式 | Liquid |
|---|---|
| 纯化 | Affinity purified. |
| 缓冲液 | PBS, 0.09% (w/v) Sodium azide and 2% Sucrose. |
| 抗菌剂 | 0.09% (w/v) Sodium azide |
| 稳定剂 | 2% Sucrose |
| 浓度 | Batch dependent: 0.5 - 1 mg/ml |
| 存放说明 | For continuous use, store undiluted antibody at 2-8°C for up to a week. For long-term storage, aliquot and store at -20°C or below. Storage in frost free freezers is not recommended. Avoid repeated freeze/thaw cycles. Suggest spin the vial prior to opening. The antibody solution should be gently mixed before use. |
| 注意事项 | For laboratory research only, not for drug, diagnostic or other use. |
生物信息
| 数据库连接 |
Swiss-port # Q13242 Human Serine/arginine-rich splicing factor 9 |
|---|---|
| 基因名称 | SRSF9 |
| 全名 | serine/arginine-rich splicing factor 9 |
| 背景介绍 | The protein encoded by this gene is a member of the serine/arginine (SR)-rich family of pre-mRNA splicing factors, which constitute part of the spliceosome. Each of these factors contains an RNA recognition motif (RRM) for binding RNA and an RS domain for binding other proteins. The RS domain is rich in serine and arginine residues and facilitates interaction between different SR splicing factors. In addition to being critical for mRNA splicing, the SR proteins have also been shown to be involved in mRNA export from the nucleus and in translation. Two pseudogenes, one on chromosome 15 and the other on chromosome 21, have been found for this gene. [provided by RefSeq, Sep 2010] |
| 生物功能 | Plays a role in constitutive splicing and can modulate the selection of alternative splice sites. Represses the splicing of MAPT/Tau exon 10. [UniProt] |
| 细胞定位 | Nucleus. Note=Cellular stresses such as heat shock may induce localization to discrete nuclear bodies termed SAM68 nuclear bodies (SNBs), HAP bodies, or stress bodies. Numerous splicing factors including SRSF1/SFRS1/SF2, SRSF7/SFRS7, SAFB and KHDRBS1/SAM68 accumulate at these structures, which may participate in the post-transcriptional regulation of mRNAs in stressed cells. [UniProt] |
| 预测分子量 | 26 kDa |
| 翻译后修饰 | Extensively phosphorylated on serine residues in the RS domain. [UniProt] |
检测图片 (2) Click the Picture to Zoom In
