ARG59934
anti-SF3B3 / SAP130 antibody
anti-SF3B3 / SAP130 antibody for IHC-Formalin-fixed paraffin-embedded sections,Western blot and Human,Mouse,Rat
概述
| 产品描述 | Rabbit Polyclonal antibody recognizes SF3B3 / SAP130 |
|---|---|
| 反应物种 | Hu, Ms, Rat |
| 应用 | IHC-P, WB |
| 宿主 | Rabbit |
| 克隆 | Polyclonal |
| 同位型 | IgG |
| 靶点名称 | SF3B3 / SAP130 |
| 抗原物种 | Human |
| 抗原 | Recombinant fusion protein corresponding to aa. 948-1217 of Human SF3B3 (NP_036558.3). |
| 偶联标记 | Un-conjugated |
| 別名 | RSE1; Pre-mRNA-splicing factor SF3b 130 kDa subunit; STAF130; SF3b130; Splicing factor 3B subunit 3; Spliceosome-associated protein 130; SAP 130; SAP130 |
应用说明
| 应用建议 |
|
||||||
|---|---|---|---|---|---|---|---|
| 应用说明 | * The dilutions indicate recommended starting dilutions and the optimal dilutions or concentrations should be determined by the scientist. | ||||||
| 实际分子量 | 140 kDa |
属性
| 形式 | Liquid |
|---|---|
| 纯化 | Affinity purified. |
| 缓冲液 | PBS (pH 7.3), 0.02% Sodium azide and 50% Glycerol. |
| 抗菌剂 | 0.02% Sodium azide |
| 稳定剂 | 50% Glycerol |
| 存放说明 | For continuous use, store undiluted antibody at 2-8°C for up to a week. For long-term storage, aliquot and store at -20°C. Storage in frost free freezers is not recommended. Avoid repeated freeze/thaw cycles. Suggest spin the vial prior to opening. The antibody solution should be gently mixed before use. |
| 注意事项 | For laboratory research only, not for drug, diagnostic or other use. |
生物信息
| 数据库连接 | |
|---|---|
| 基因名称 | SF3B3 |
| 全名 | splicing factor 3b, subunit 3, 130kDa |
| 背景介绍 | This gene encodes subunit 3 of the splicing factor 3b protein complex. Splicing factor 3b, together with splicing factor 3a and a 12S RNA unit, forms the U2 small nuclear ribonucleoproteins complex (U2 snRNP). The splicing factor 3b/3a complex binds pre-mRNA upstream of the intron's branch site in a sequence independent manner and may anchor the U2 snRNP to the pre-mRNA. Splicing factor 3b is also a component of the minor U12-type spliceosome. Subunit 3 has also been identified as a component of the STAGA (SPT3-TAF(II)31-GCN5L acetylase) transcription coactivator-HAT (histone acetyltransferase) complex, and the TFTC (TATA-binding-protein-free TAF(II)-containing complex). These complexes may function in chromatin modification, transcription, splicing, and DNA repair. [provided by RefSeq, Jul 2008] |
| 生物功能 | Subunit of the splicing factor SF3B required for 'A' complex assembly formed by the stable binding of U2 snRNP to the branchpoint sequence (BPS) in pre-mRNA. Sequence independent binding of SF3A/SF3B complex upstream of the branch site is essential, it may anchor U2 snRNP to the pre-mRNA. May also be involved in the assembly of the 'E' complex. Belongs also to the minor U12-dependent spliceosome, which is involved in the splicing of rare class of nuclear pre-mRNA intron. [UniProt] |
| 细胞定位 | Nucleus. [UniProt] |
| 预测分子量 | 136 kDa |
检测图片 (2) Click the Picture to Zoom In
-
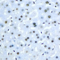
ARG59934 anti-SF3B3 / SAP130 antibody IHC-P image
Immunohistochemistry: Paraffin-embedded Mouse liver stained with ARG59934 anti-SF3B3 / SAP130 antibody at 1:200 dilution.
-
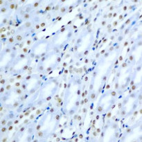
ARG59934 anti-SF3B3 / SAP130 antibody IHC-P image
Immunohistochemistry: Paraffin-embedded Mouse kidney stained with ARG59934 anti-SF3B3 / SAP130 antibody at 1:200 dilution.
