ARG66471
anti-SENP1 antibody
anti-SENP1 antibody for IHC-Formalin-fixed paraffin-embedded sections,Western blot and Human,Mouse
概述
| 产品描述 | Rabbit Polyclonal antibody recognizes SENP1 |
|---|---|
| 反应物种 | Hu, Ms |
| 应用 | IHC-P, WB |
| 宿主 | Rabbit |
| 克隆 | Polyclonal |
| 同位型 | IgG |
| 靶点名称 | SENP1 |
| 抗原物种 | Human |
| 抗原 | Synthetic peptide corresponding to aa. 1-80 of Human SENP1. |
| 偶联标记 | Un-conjugated |
| 別名 | SuPr-2; EC 3.4.22.68; Sentrin/SUMO-specific protease SENP1; Sentrin-specific protease 1 |
应用说明
| 应用建议 |
|
||||||
|---|---|---|---|---|---|---|---|
| 应用说明 | * The dilutions indicate recommended starting dilutions and the optimal dilutions or concentrations should be determined by the scientist. |
属性
| 形式 | Liquid |
|---|---|
| 纯化 | Affinity purification with immunogen. |
| 缓冲液 | PBS, 0.02% Sodium azide, 50% Glycerol and 0.5% BSA. |
| 抗菌剂 | 0.02% Sodium azide |
| 稳定剂 | 50% Glycerol and 0.5% BSA |
| 浓度 | 1 mg/ml |
| 存放说明 | For continuous use, store undiluted antibody at 2-8°C for up to a week. For long-term storage, aliquot and store at -20°C. Storage in frost free freezers is not recommended. Avoid repeated freeze/thaw cycles. Suggest spin the vial prior to opening. The antibody solution should be gently mixed before use. |
| 注意事项 | For laboratory research only, not for drug, diagnostic or other use. |
生物信息
| 数据库连接 | |
|---|---|
| 基因名称 | SENP1 |
| 全名 | SUMO1/sentrin specific peptidase 1 |
| 背景介绍 | This gene encodes a cysteine protease that specifically targets members of the small ubiquitin-like modifier (SUMO) protein family. This protease regulates SUMO pathways by deconjugating sumoylated proteins. This protease also functions to process the precursor SUMO proteins into their mature form. Alternate splicing results in multiple transcript variants. [provided by RefSeq, Jun 2012] |
| 生物功能 | Protease that catalyzes two essential functions in the SUMO pathway: processing of full-length SUMO1, SUMO2 and SUMO3 to their mature forms and deconjugation of SUMO1, SUMO2 and SUMO3 from targeted proteins. Deconjugates SUMO1 from HIPK2. Deconjugates SUMO1 from HDAC1 and BHLHE40/DEC1, which decreases its transcriptional repression activity. Deconjugates SUMO1 from CLOCK, which decreases its transcriptional activation activity. Deconjugates SUMO2 from MTA1. Desumoylates CCAR2 which decreases its interaction with SIRT1. [UniProt] |
| 细胞定位 | Nucleus. Cytoplasm. Note=Shuttles between cytoplasm and nucleus. [UniProt] |
| 预测分子量 | 73 kDa |
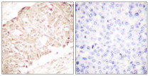
检测图片 (2) Click the Picture to Zoom In
-
ARG66471 anti-SENP1 antibody IHC-P image
Immunohistochemistry: Paraffin-embedded Human breast carcinoma stained with ARG66471 anti-SENP1 antibody. The picture on the right is blocked with the synthetic peptide.
-
ARG66471 anti-SENP1 antibody WB image
Western blot: Jurkat, 3T3 and K562 cell lysates stained with ARG66471 anti-SENP1 antibody.
