ARG65641
anti-SDF4 antibody
anti-SDF4 antibody for IHC-Formalin-fixed paraffin-embedded sections,Western blot and Human
Cancer antibody; Signaling Transduction antibody
概述
| 产品描述 | Goat Polyclonal antibody recognizes SDF4 |
|---|---|
| 反应物种 | Hu |
| 预测物种 | Ms, Rat, Cow, Dog |
| 应用 | IHC-P, WB |
| 宿主 | Goat |
| 克隆 | Polyclonal |
| 靶点名称 | SDF4 |
| 抗原物种 | Human |
| 抗原 | Synthetic peptide around the center region of Human SDF-4 (C-EYKVKFLASKGHSEK) |
| 偶联标记 | Un-conjugated |
| 別名 | 45 kDa calcium-binding protein; SDF-4; Stromal cell-derived factor 4; Cab45 |
应用说明
| 应用建议 |
|
||||||
|---|---|---|---|---|---|---|---|
| 应用说明 | IHC-P: Antigen Retrieval: Steam tissue section in Citrate buffer (pH 6.0). WB: Recommend incubate at RT for 1h. * The dilutions indicate recommended starting dilutions and the optimal dilutions or concentrations should be determined by the scientist. |
属性
| 形式 | Liquid |
|---|---|
| 纯化 | Affinity purified |
| 缓冲液 | Tris saline (pH 7.3), 0.02% Sodium azide and 0.5% BSA. |
| 抗菌剂 | 0.02% Sodium azide |
| 稳定剂 | 0.5% BSA |
| 浓度 | 0.5 mg/ml |
| 存放说明 | For continuous use, store undiluted antibody at 2-8°C for up to a week. For long-term storage, aliquot and store at -20°C or below. Storage in frost free freezers is not recommended. Avoid repeated freeze/thaw cycles. Suggest spin the vial prior to opening. The antibody solution should be gently mixed before use. |
| 注意事项 | For laboratory research only, not for drug, diagnostic or other use. |
生物信息
| 数据库连接 | |
|---|---|
| 基因名称 | SDF4 |
| 全名 | stromal cell derived factor 4 |
| 背景介绍 | This gene encodes a stromal cell derived factor that is a member of the CREC protein family. The encoded protein contains six EF-hand motifs and calcium-binding motifs. This protein localizes to the Golgi lumen and may be involved in regulating calcium dependent cellular activities. [provided by RefSeq, Sep 2011] |
| 生物功能 | May regulate calcium-dependent activities in the endoplasmic reticulum lumen or post-ER compartment. Isoform 5 may be involved in the exocytosis of zymogens by pancreatic acini. |
| 研究领域 | Cancer antibody; Signaling Transduction antibody |
| 预测分子量 | 42 kDa |
检测图片 (2) Click the Picture to Zoom In
-
ARG65641 anti-SDF4 antibody WB image
Western blot: 35 μg of Jurkat lysate stained with ARG65641 anti-SDF4 antibody at 0.1 μg/ml dilution (1h incubation).
-
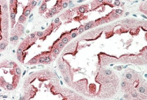
ARG65641 anti-SDF4 antibody IHC image
Immunohistochemistry: Paraffin embedded Human Kidney stained with ARG65641 anti-SDF4 antibody at 5 μg/ml dilution. Steamed antigen retrieval with citrate buffer pH 6, AP-staining.
