ARG45775
anti-SDF2L1 antibody
anti-SDF2L1 antibody for IHC-Formalin-fixed paraffin-embedded sections,Western blot and Human,Mouse,Rat
概述
| 产品描述 | Rabbit Polyclonal antibody recognizes SDF2L1 |
|---|---|
| 反应物种 | Hu, Ms, Rat |
| 应用 | IHC-P, WB |
| 宿主 | Rabbit |
| 克隆 | Polyclonal |
| 同位型 | IgG |
| 靶点名称 | SDF2L1 |
| 抗原物种 | Human |
| 抗原 | Recombinant protein containing to human SDF2L1. |
| 偶联标记 | Un-conjugated |
| 別名 | SDF2L1; Stromal Cell Derived Factor 2 Like 1; PWP1-Interacting Protein 8; Stromal Cell-Derived Factor 2-Like Protein 1; Dihydropyrimidinase-Like 2; SDF2-Like Protein 1; OTTHUMT00000075032; AP000553.C22.4; Stromal Cell-Derived Factor 2-Like 1; SDF2-Like 1 |
应用说明
| 应用建议 |
|
||||||
|---|---|---|---|---|---|---|---|
| 应用说明 | * The dilutions indicate recommended starting dilutions and the optimal dilutions or concentrations should be determined by the scientist. | ||||||
| 实际分子量 | 24 kDa |
属性
| 形式 | Liquid |
|---|---|
| 纯化 | Affinity purified |
| 缓冲液 | 0.2% Na2HPO4, 0.9% NaCl and 4% Trehalose. |
| 稳定剂 | 4% Trehalose |
| 浓度 | 0.5 mg/ml |
| 存放说明 | For continuous use, store undiluted antibody at 2-8°C for up to a week. For long-term storage, aliquot and store at -20°C or below. Storage in frost free freezers is not recommended. Avoid repeated freeze/thaw cycles. Suggest spin the vial prior to opening. The antibody solution should be gently mixed before use. |
| 注意事项 | For laboratory research only, not for drug, diagnostic or other use. |
生物信息
| 数据库连接 |
Swiss-port # Q9ESP1 Mouse Stromal cell-derived factor 2-like protein 1 Swiss-port # Q9HCN8 Human Stromal cell-derived factor 2-like protein 1 |
|---|---|
| 基因名称 | SDF2L1 |
| 全名 | Stromal Cell Derived Factor 2 Like 1 |
| 背景介绍 | Enables misfolded protein binding activity. Involved in chaperone cofactor-dependent protein refolding. Located in endoplasmic reticulum. Part of protein folding chaperone complex. [provided by Alliance of Genome Resources, Feb 2025] |
| 细胞定位 | Endoplasmic reticulum. [UniProt] |
| 预测分子量 | 24 kDa |
| 翻译后修饰 | Phosphoprotein. [UniProt] |
检测图片 (4) Click the Picture to Zoom In
-
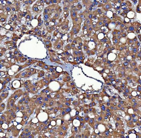
ARG45775 anti-SDF2L1 antibody IHC-P image
Immunohistochemistry: Human liver cancer stained with ARG45775 anti-SDF2L1 antibody at 2 μg/ml dilution.
-
ARG45775 anti-SDF2L1 antibody WB image
Western blot: K562 and 293T stained with ARG45775 anti-SDF2L1 antibody at 0.5 μg/ml dilution.
-
ARG45775 anti-SDF2L1 antibody WB image
Western blot: Rat pancreas stained with ARG45775 anti-SDF2L1 antibody at 0.5 μg/ml dilution.
-
ARG45775 anti-SDF2L1 antibody WB image
Western blot: Mouse pancreas stained with ARG45775 anti-SDF2L1 antibody at 0.5 μg/ml dilution.
