ARG41726
anti-SCG3 / Secretogranin 3 antibody
anti-SCG3 / Secretogranin 3 antibody for IHC-Formalin-fixed paraffin-embedded sections,Western blot and Human,Mouse,Rat
概述
| 产品描述 | Rabbit Polyclonal antibody recognizes SCG3 / Secretogranin 3 |
|---|---|
| 反应物种 | Hu, Ms, Rat |
| 预测物种 | Bov |
| 应用 | IHC-P, WB |
| 宿主 | Rabbit |
| 克隆 | Polyclonal |
| 同位型 | IgG |
| 靶点名称 | SCG3 / Secretogranin 3 |
| 抗原物种 | Human |
| 抗原 | Synthetic peptide corresponding to aa. 438-450 of Human Secretogranin 3. (DFINKQADAYVEK) |
| 偶联标记 | Un-conjugated |
| 別名 | SgIII; Secretogranin III; SGIII; Secretogranin-3 |
应用说明
| 应用建议 |
|
||||||
|---|---|---|---|---|---|---|---|
| 应用说明 | * The dilutions indicate recommended starting dilutions and the optimal dilutions or concentrations should be determined by the scientist. | ||||||
| 实际分子量 | ~ 53 kDa |
属性
| 形式 | Liquid |
|---|---|
| 纯化 | Affinity purification with immunogen. |
| 缓冲液 | 0.2% Na2HPO4, 0.9% NaCl, 0.05% Thimerosal, 0.05% Sodium azide and 5% BSA. |
| 抗菌剂 | 0.05% Thimerosal and 0.05% Sodium azide |
| 稳定剂 | 5% BSA |
| 浓度 | 0.5 mg/ml |
| 存放说明 | For continuous use, store undiluted antibody at 2-8°C for up to a week. For long-term storage, aliquot and store at -20°C or below. Storage in frost free freezers is not recommended. Avoid repeated freeze/thaw cycles. Suggest spin the vial prior to opening. The antibody solution should be gently mixed before use. |
| 注意事项 | For laboratory research only, not for drug, diagnostic or other use. |
生物信息
| 数据库连接 | |
|---|---|
| 基因名称 | SCG3 |
| 全名 | secretogranin III |
| 背景介绍 | The protein encoded by this gene is a member of the chromogranin/secretogranin family of neuroendocrine secretory proteins. Granins may serve as precursors for biologically active peptides. Some granins have been shown to function as helper proteins in sorting and proteolytic processing of prohormones; however, the function of this protein is unknown. Two transcript variants encoding different isoforms have been found for this gene. [provided by RefSeq, Sep 2009] |
| 细胞定位 | Cytoplasmic vesicle, secretory vesicle lumen. Cytoplasmic vesicle, secretory vesicle membrane; Peripheral membrane protein. Secreted. Note=Associated with the secretory granule membrane through direct binding to cholesterol-enriched lipid rafts in intragranular conditions (By similarity). Neuroendocrine and endocrine secretory granules. [UniProt] |
| 预测分子量 | 53 kDa |
| 翻译后修饰 | O-glycosylated. [UniProt] |
检测图片 (4) Click the Picture to Zoom In
-
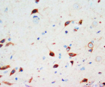
ARG41726 anti-SCG3 / Secretogranin 3 antibody IHC-P image
Immunohistochemistry: Paraffin-embedded Rat brain tissue stained with ARG41726 anti-SCG3 / Secretogranin 3 antibody.
-
ARG41726 anti-SCG3 / Secretogranin 3 antibody WB image
Western blot: HeLa cell lysate stained with ARG41726 anti-SCG3 / Secretogranin 3 antibody.
-
ARG41726 anti-SCG3 / Secretogranin 3 antibody WB image
Western blot: 50 µg of sample under reducing conditions. Mouse pancreas and Neuro-2a whole cell lysates stained with ARG41726 anti-SCG3 / Secretogranin 3 antibody at 0.5 µg/ml dilution, overnight at 4°C.
-
ARG41726 anti-SCG3 / Secretogranin 3 antibody IHC-P image
Immunohistochemistry: Paraffin-embedded Human rectal cancer tissue stained with ARG41726 anti-SCG3 / Secretogranin 3 antibody.
