ARG64054
anti-SBP2 antibody
anti-SBP2 antibody for ICC/IF,IHC-Formalin-fixed paraffin-embedded sections,Immunoprecipitation,Western blot and Human,Mouse
Cell Biology and Cellular Response antibody; Gene Regulation antibody; Metabolism antibody; Signaling Transduction antibody
概述
| 产品描述 | Goat Polyclonal antibody recognizes SBP2 |
|---|---|
| 反应物种 | Hu, Ms |
| 预测物种 | Cow, Dog, Pig |
| 应用 | ICC/IF, IHC-P, IP, WB |
| 宿主 | Goat |
| 克隆 | Polyclonal |
| 同位型 | IgG |
| 靶点名称 | SBP2 |
| 抗原物种 | Human |
| 抗原 | C-KERQERKQRLQEN |
| 偶联标记 | Un-conjugated |
| 別名 | Selenocysteine insertion sequence-binding protein 2; SBP2; SECIS-binding protein 2 |
应用说明
| 应用建议 |
|
||||||||||
|---|---|---|---|---|---|---|---|---|---|---|---|
| 应用说明 | IHC-P: Antigen Retrieval: Microwaved tissue section in Tris/EDTA buffer (pH 9.0). WB: Recommend incubate at RT for 1h. * The dilutions indicate recommended starting dilutions and the optimal dilutions or concentrations should be determined by the scientist. |
属性
| 形式 | Liquid |
|---|---|
| 纯化 | Purified from goat serum by antigen affinity chromatography. |
| 缓冲液 | Tris saline (pH 7.3), 0.02% Sodium azide and 0.5% BSA. |
| 抗菌剂 | 0.02% Sodium azide |
| 稳定剂 | 0.5% BSA |
| 浓度 | 0.5 mg/ml |
| 存放说明 | For continuous use, store undiluted antibody at 2-8°C for up to a week. For long-term storage, aliquot and store at -20°C or below. Storage in frost free freezers is not recommended. Avoid repeated freeze/thaw cycles. Suggest spin the vial prior to opening. The antibody solution should be gently mixed before use. |
| 注意事项 | For laboratory research only, not for drug, diagnostic or other use. |
生物信息
| 数据库连接 |
Swiss-port # Q96T21 Human Selenocysteine insertion sequence-binding protein 2 |
|---|---|
| 背景介绍 | The incorporation of selenocysteine into a protein requires the concerted action of an mRNA element called a sec insertion sequence (SECIS), a selenocysteine-specific translation elongation factor and a SECIS binding protein. With these elements in place, a UGA codon can be decoded as selenocysteine. The gene described in this record encodes a nuclear protein that functions as a SECIS binding protein. Mutations in this gene have been associated with a reduction in activity of a specific thyroxine deiodinase, a selenocysteine-containing enzyme, and abnormal thyroid hormone metabolism. [provided by RefSeq, Jul 2008] |
| 研究领域 | Cell Biology and Cellular Response antibody; Gene Regulation antibody; Metabolism antibody; Signaling Transduction antibody |
| 预测分子量 | 95 kDa |
检测图片 (2) Click the Picture to Zoom In
-
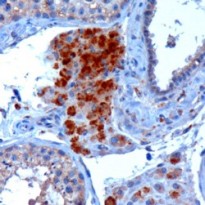
ARG64054 anti-SBP2 antibody IHC-P image
Immunohistochemistry: paraffin embedded Human Testis. (Microwaved antigen retrieval with Tris/EDTA buffer pH9) stained with ARG64054 anti-SBP2 antibody at 3 µg/ml dilution followed by HRP-staining.
-
ARG64054 anti-SBP2 antibody WB image
Western blot: HFF cell lysate with A) control siRNA or B) 100 nM siRNA. The blots were stained with ARG64054 anti-SBP2 antibody.
