ARG45388
anti-SAMHD1 antibody
anti-SAMHD1 antibody for Flow cytometry,ICC/IF,IHC-Formalin-fixed paraffin-embedded sections,Western blot and Human,Mouse,Rat
概述
| 产品描述 | Rabbit Polyclonal antibody recognizes SAMHD1 |
|---|---|
| 反应物种 | Hu, Ms, Rat |
| 应用 | FACS, ICC/IF, IHC-P, WB |
| 宿主 | Rabbit |
| 克隆 | Polyclonal |
| 同位型 | IgG |
| 靶点名称 | SAMHD1 |
| 抗原物种 | Human |
| 抗原 | Recombinant protein containing to human SAMHD1. |
| 偶联标记 | Un-conjugated |
| 別名 | Deoxynucleoside triphosphate triphosphohydrolase SAMHD1; EC 3.1.5.-; SBBI88; SAM domain and HD domain-containing protein 1; HDDC1; MOP-5; DCIP; CHBL2; dNTPase; Dendritic cell-derived IFNG-induced protein; Monocyte protein 5 |
应用说明
| 应用建议 |
|
||||||||||
|---|---|---|---|---|---|---|---|---|---|---|---|
| 应用说明 | * The dilutions indicate recommended starting dilutions and the optimal dilutions or concentrations should be determined by the scientist. | ||||||||||
| 实际分子量 | 72 kDa |
属性
| 形式 | Liquid |
|---|---|
| 纯化 | Affinity purified |
| 缓冲液 | 0.9% NaCl, 0.2% Na2HPO4, 0.01% Sodium azide and 4% Trehalose. |
| 抗菌剂 | 0.01% Sodium azide |
| 稳定剂 | 4% Trehalose |
| 浓度 | 0.5 mg/ml |
| 存放说明 | For continuous use, store undiluted antibody at 2-8°C for up to a week. For long-term storage, aliquot and store at -20°C or below. Storage in frost free freezers is not recommended. Avoid repeated freeze/thaw cycles. Suggest spin the vial prior to opening. The antibody solution should be gently mixed before use. |
| 注意事项 | For laboratory research only, not for drug, diagnostic or other use. |
生物信息
| 数据库连接 |
Swiss-port # Q60710 Mouse Deoxynucleoside triphosphate triphosphohydrolase SAMHD1 Swiss-port # Q9Y3Z3 Human Deoxynucleoside triphosphate triphosphohydrolase SAMHD1 |
|---|---|
| 基因名称 | SAMHD1 |
| 全名 | SAM domain and HD domain 1 |
| 背景介绍 | This gene may play a role in regulation of the innate immune response. The encoded protein is upregulated in response to viral infection and may be involved in mediation of tumor necrosis factor-alpha proinflammatory responses. Mutations in this gene have been associated with Aicardi-Goutieres syndrome. [provided by RefSeq, Mar 2010] |
| 生物功能 | Protein that acts both as a host restriction factor involved in defense response to virus and as a regulator of DNA end resection at stalled replication forks (PubMed:19525956, PubMed:21613998, PubMed:21720370, PubMed:23602554, PubMed:23601106, PubMed:22056990, PubMed:24336198, PubMed:26294762, PubMed:26431200, PubMed:28229507, PubMed:28834754, PubMed:29670289). Has deoxynucleoside triphosphate (dNTPase) activity, which is required to restrict infection by viruses, such as HIV-1: dNTPase activity reduces cellular dNTP levels to levels too low for retroviral reverse transcription to occur, blocking early-stage virus replication in dendritic and other myeloid cells (PubMed:19525956, PubMed:21613998, PubMed:21720370, PubMed:23602554, PubMed:23601106, PubMed:23364794, PubMed:25038827, PubMed:26101257, PubMed:22056990, PubMed:24336198, PubMed:28229507, PubMed:26294762, PubMed:26431200). Likewise, suppresses LINE-1 retrotransposon activity (PubMed:24035396, PubMed:29610582, PubMed:24217394). Not able to restrict infection by HIV-2 virus; because restriction activity is counteracted by HIV-2 viral protein Vpx (PubMed:21613998, PubMed:21720370). In addition to virus restriction, dNTPase activity acts as a regulator of DNA precursor pools by regulating dNTP pools (PubMed:23858451). Phosphorylation at Thr-592 acts as a switch to control dNTPase-dependent and -independent functions: it inhibits dNTPase activity and ability to restrict infection by viruses, while it promotes DNA end resection at stalled replication forks (PubMed:23602554, PubMed:23601106, PubMed:29610582, PubMed:29670289). Functions during S phase at stalled DNA replication forks to promote the resection of gapped or reversed forks: acts by stimulating the exonuclease activity of MRE11, activating the ATR-CHK1 pathway and allowing the forks to restart replication (PubMed:29670289). Its ability to promote degradation of nascent DNA at stalled replication forks is required to prevent induction of type I interferons, thereby preventing chronic inflammation (PubMed:27477283, PubMed:29670289). Ability to promote DNA end resection at stalled replication forks is independent of dNTPase activity (PubMed:29670289). Enhances immunoglobulin hypermutation in B-lymphocytes by promoting transversion mutation. [UniProt] |
| 细胞定位 | Nucleus. [UniProt]. [UniProt] |
| 预测分子量 | 72 kDa |
| 翻译后修饰 | Ubiquitinated and targeted for proteasomal degradation by a DCX (DDB1-CUL4-X-box) E3 ubiquitin ligase with the help of the viral accessory protein Vpx. [UniProt] |
检测图片 (6) Click the Picture to Zoom In
-
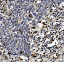
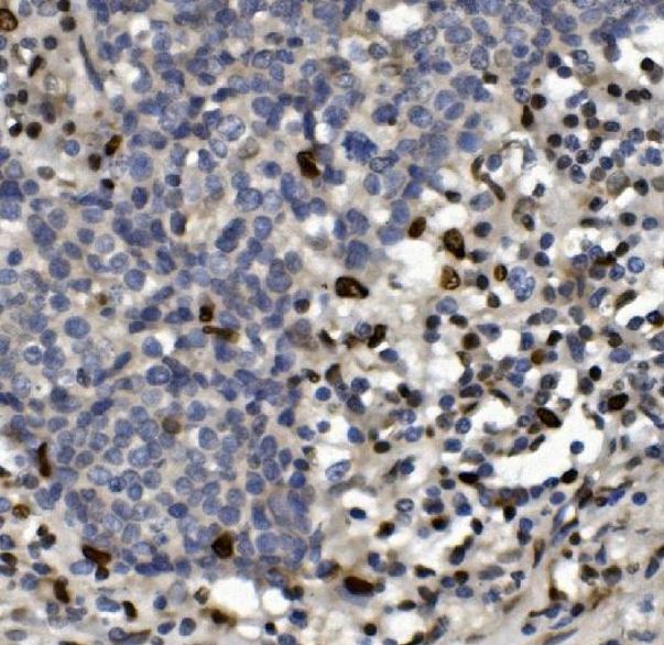
ARG45388 anti-SAMHD1 antibody IHC-P image
Immunohistochemistry: Human lung cancer stained with ARG45388 anti-SAMHD1 antibody at 2 μg/ml dilution.
-
ARG45388 anti-SAMHD1 antibody ICC/IF image
Immunofluorescence: A549 stained with ARG45388 anti-SAMHD1 antibody at 5 μg/ml dilution.
-
ARG45388 anti-SAMHD1 antibody WB image
Western blot: Hela and HepG2 stained with ARG45388 anti-SAMHD1 antibody at 0.5 μg/ml dilution.
-
ARG45388 anti-SAMHD1 antibody FACS image
Flow Cytometry: U2OS stained with ARG45388 anti-SAMHD1 antibody at 1 µg/10^6 cells dilution.
-
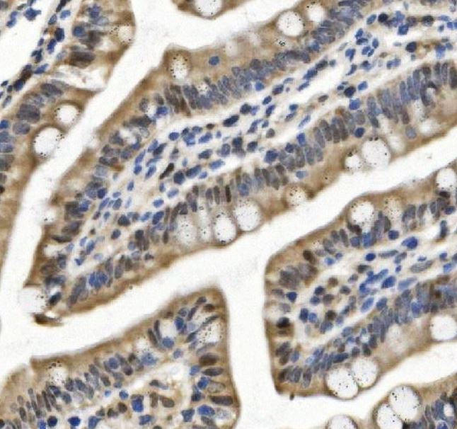
ARG45388 anti-SAMHD1 antibody IHC-P image
Immunohistochemistry: Rat intestine stained with ARG45388 anti-SAMHD1 antibody at 2 μg/ml dilution.
-
ARG45388 anti-SAMHD1 antibody WB image
Western blot: NIH/3T3 stained with ARG45388 anti-SAMHD1 antibody at 0.5 μg/ml dilution.
