ARG45508
anti-SAMD9L antibody
anti-SAMD9L antibody for Flow cytometry,IHC-Formalin-fixed paraffin-embedded sections,Western blot and Human
概述
| 产品描述 | Rabbit Polyclonal antibody recognizes SAMD9L |
|---|---|
| 反应物种 | Hu |
| 应用 | FACS, IHC-P, WB |
| 宿主 | Rabbit |
| 克隆 | Polyclonal |
| 同位型 | IgG |
| 靶点名称 | SAMD9L |
| 抗原物种 | Human |
| 抗原 | Recombinant protein containing to human SAMD9L. |
| 偶联标记 | Un-conjugated |
| 別名 | SAMD9L; Sterile Alpha Motif Domain Containing 9 Like; KIAA2005; C7orf6; Sterile Alpha Motif Domain-Containing Protein 9-Like; SAM Domain-Containing Protein 9-Like; FLJ39885; DRIF2; Sterile Alpha Motif Domain Containing 9-Like; Chromosome 7 Open Reading Frame 6; Neutrophil Migration; C7DELq; M7MLS1; ATXPC; DEL7q; MLSM7; SCA49; UEF1; UEF |
应用说明
| 应用建议 |
|
||||||||
|---|---|---|---|---|---|---|---|---|---|
| 应用说明 | * The dilutions indicate recommended starting dilutions and the optimal dilutions or concentrations should be determined by the scientist. | ||||||||
| 实际分子量 | 200 kDa |
属性
| 形式 | Liquid |
|---|---|
| 纯化 | Affinity purified |
| 缓冲液 | 0.2% Na2HPO4, 0.9% NaCl and 4% Trehalose. |
| 稳定剂 | 4% Trehalose |
| 浓度 | 0.5 mg/ml |
| 存放说明 | For continuous use, store undiluted antibody at 2-8°C for up to a week. For long-term storage, aliquot and store at -20°C or below. Storage in frost free freezers is not recommended. Avoid repeated freeze/thaw cycles. Suggest spin the vial prior to opening. The antibody solution should be gently mixed before use. |
| 注意事项 | For laboratory research only, not for drug, diagnostic or other use. |
生物信息
| 数据库连接 |
Swiss-port # Q8IVG5 Human Sterile alpha motif domain-containing protein 9-like |
|---|---|
| 基因名称 | SAMD9L |
| 全名 | Sterile Alpha Motif Domain Containing 9 Like |
| 背景介绍 | This gene encodes a cytoplasmic protein that acts as a tumor suppressor but also plays a key role in cell proliferation and the innate immune response to viral infection. The encoded protein contains an N-terminal sterile alpha motif domain. Naturally occurring mutations in this gene are associated with myeloid disorders such as juvenile myelomonocytic leukemia, acute myeloid leukemia, and myelodysplastic syndrome. Naturally occurring mutations are also associated with hepatitis-B related hepatocellular carcinoma, normophosphatemic familial tumoral calcinosis, and ataxia-pancytopenia syndrome. [provided by RefSeq, Apr 2017] |
| 生物功能 | May be involved in endosome fusion. Mediates down-regulation of growth factor signaling via internalization of growth factor receptors. [UniProt] |
| 细胞定位 | Endosome; Mitochondrion. [UniProt] |
| 预测分子量 | 185 kDa |
检测图片 (3) Click the Picture to Zoom In
-
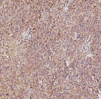
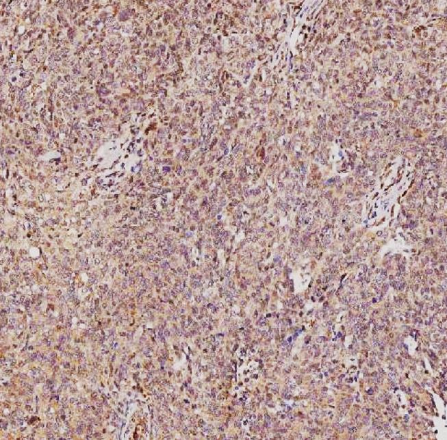
ARG45508 anti-SAMD9L antibody IHC-P image
Immunohistochemistry: Human cervix squamous cell carcinoma stained with ARG45508 anti-SAMD9L antibody at 2 μg/ml dilution.
-
ARG45508 anti-SAMD9L antibody WB image
Western blot: U251 stained with ARG45508 anti-SAMD9L antibody at 0.5 μg/ml dilution.
-
ARG45508 anti-SAMD9L antibody FACS image
Flow Cytometry: U251 stained with ARG45508 anti-SAMD9L antibody at 1 µg/10^6 cells dilution.
