ARG42666
anti-Ribonuclease Inhibitor antibody
anti-Ribonuclease Inhibitor antibody for Flow cytometry,IHC-Formalin-fixed paraffin-embedded sections,Western blot and Human,Mouse,Rat,Monkey
概述
| 产品描述 | Rabbit Polyclonal antibody recognizes Ribonuclease Inhibitor |
|---|---|
| 反应物种 | Hu, Ms, Rat, Mk |
| 应用 | FACS, IHC-P, WB |
| 宿主 | Rabbit |
| 克隆 | Polyclonal |
| 同位型 | IgG |
| 靶点名称 | Ribonuclease Inhibitor |
| 抗原物种 | Human |
| 抗原 | Synthetic peptide corresponding to aa. 2-37 of Human Ribonuclease Inhibitor. (SLDIQSLDIQCEELSDARWAELLPLLQQCQVVRLDD) |
| 偶联标记 | Un-conjugated |
| 別名 | RNH; Ribonuclease/angiogenin inhibitor 1; RAI; Ribonuclease inhibitor; Placental ribonuclease inhibitor; Placental RNase inhibitor |
应用说明
| 应用建议 |
|
||||||||
|---|---|---|---|---|---|---|---|---|---|
| 应用说明 | IHC-P: Antigen Retrieval: Heat mediation was performed in Citrate buffer (pH 6.0) for 20 min. * The dilutions indicate recommended starting dilutions and the optimal dilutions or concentrations should be determined by the scientist. |
||||||||
| 实际分子量 | ~ 50 kDa |
属性
| 形式 | Liquid |
|---|---|
| 纯化 | Affinity purification with immunogen. |
| 缓冲液 | 0.2% Na2HPO4, 0.9% NaCl, 0.05% Sodium azide and 5% BSA. |
| 抗菌剂 | 0.05% Sodium azide |
| 稳定剂 | 5% BSA |
| 浓度 | 0.5 mg/ml |
| 存放说明 | For continuous use, store undiluted antibody at 2-8°C for up to a week. For long-term storage, aliquot and store at -20°C or below. Storage in frost free freezers is not recommended. Avoid repeated freeze/thaw cycles. Suggest spin the vial prior to opening. The antibody solution should be gently mixed before use. |
| 注意事项 | For laboratory research only, not for drug, diagnostic or other use. |
生物信息
| 数据库连接 | |
|---|---|
| 基因名称 | RNH1 |
| 全名 | ribonuclease/angiogenin inhibitor 1 |
| 背景介绍 | Placental ribonuclease inhibitor (PRI) is a member of a family of proteinaceous cytoplasmic RNase inhibitors that occur in many tissues and bind to both intracellular and extracellular RNases (summarized by Lee et al., 1988 [PubMed 3219362]). In addition to control of intracellular RNases, the inhibitor may have a role in the regulation of angiogenin (MIM 105850). Ribonuclease inhibitor, of 50,000 Da, binds to ribonucleases and holds them in a latent form. Since neutral and alkaline ribonucleases probably play a critical role in the turnover of RNA in eukaryotic cells, RNH may be essential for control of mRNA turnover; the interaction of eukaryotic cells with ribonuclease may be reversible in vivo.[supplied by OMIM, Jul 2010] |
| 生物功能 | Ribonuclease inhibitor which inhibits RNASE1, RNASE2 and ANG. May play a role in redox homeostasis. [UniProt] |
| 细胞定位 | Cytoplasm. [UniProt] |
| 预测分子量 | 50 kDa |
| 翻译后修饰 | The N-terminus is blocked. At least 30 of the 32 cysteine residues are in the reduced form. [UniProt] |
检测图片 (7) Click the Picture to Zoom In
-
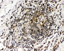
ARG42666 anti-Ribonuclease Inhibitor antibody IHC-P image
Immunohistochemistry: Paraffin-embedded Human intestinal cancer tissue. Antigen Retrieval: Heat mediation was performed in Citrate buffer (pH 6.0) for 20 min. The tissue section was blocked with 10% goat serum. The tissue section was then stained with ARG42666 anti-Ribonuclease Inhibitor antibody at 1 µg/ml dilution, overnight at 4°C.
-
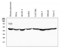
ARG42666 anti-Ribonuclease Inhibitor antibody WB image
Western blot: 50 µg of samples under reducing conditions. Human placenta, HeLa, SK-OV-3, Jurkat, U-87 MG, COS-7, SW620 and Caco-2 whole cell lysates stained with ARG42666 anti-Ribonuclease Inhibitor antibody at 0.5 µg/ml dilution, overnight at 4°C.
-
ARG42666 anti-Ribonuclease Inhibitor antibody FACS image
Flow Cytometry: A549 cells were blocked with 10% normal goat serum and then stained with ARG42666 anti-Ribonuclease Inhibitor antibody (blue) at 1 µg/10^6 cells for 30 min at 20°C, followed by incubation with DyLight®488 labelled secondary antibody. Isotype control antibody (green) was Rabbit IgG (1 µg/10^6 cells) used under the same conditions. Unlabelled sample (red) was also used as a control.
-
ARG42666 anti-Ribonuclease Inhibitor antibody IHC-P image
Immunohistochemistry: Paraffin-embedded Human intestinal cancer tissue. Antigen Retrieval: Heat mediation was performed in Citrate buffer (pH 6.0) for 20 min. The tissue section was blocked with 10% goat serum. The tissue section was then stained with ARG42666 anti-Ribonuclease Inhibitor antibody at 1 µg/ml dilution, overnight at 4°C.
-
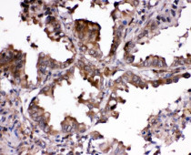
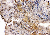
ARG42666 anti-Ribonuclease Inhibitor antibody IHC-P image
Immunohistochemistry: Paraffin-embedded Human lung cancer tissue. Antigen Retrieval: Heat mediation was performed in Citrate buffer (pH 6.0) for 20 min. The tissue section was blocked with 10% goat serum. The tissue section was then stained with ARG42666 anti-Ribonuclease Inhibitor antibody at 1 µg/ml dilution, overnight at 4°C.
-
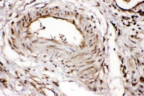
ARG42666 anti-Ribonuclease Inhibitor antibody IHC-P image
Immunohistochemistry: Paraffin-embedded Human lung cancer tissue. Antigen Retrieval: Heat mediation was performed in Citrate buffer (pH 6.0) for 20 min. The tissue section was blocked with 10% goat serum. The tissue section was then stained with ARG42666 anti-Ribonuclease Inhibitor antibody at 1 µg/ml dilution, overnight at 4°C.
-
ARG42666 anti-Ribonuclease Inhibitor antibody FACS image
Flow Cytometry: A431 cells were blocked with 10% normal goat serum and then stained with ARG42666 anti-Ribonuclease Inhibitor antibody (blue) at 1 µg/10^6 cells for 30 min at 20°C, followed by incubation with DyLight®488 labelled secondary antibody. Isotype control antibody (green) was Rabbit IgG (1 µg/10^6 cells) used under the same conditions. Unlabelled sample (red) was also used as a control.
