ARG42694
anti-RhoB antibody
anti-RhoB antibody for IHC-Formalin-fixed paraffin-embedded sections,Western blot and Human,Monkey
概述
| 产品描述 | Rabbit Polyclonal antibody recognizes RhoB |
|---|---|
| 反应物种 | Hu, Mk |
| 应用 | IHC-P, WB |
| 宿主 | Rabbit |
| 克隆 | Polyclonal |
| 同位型 | IgG |
| 靶点名称 | RhoB |
| 抗原物种 | Human |
| 抗原 | Synthetic peptide corresponding to a sequence of Human RhoB. (NKKDLRSDEHVRTELARMKQEPVRTDDGRAMAVRIQAYDYLE) |
| 偶联标记 | Un-conjugated |
| 別名 | Rho cDNA clone 6; ARH6; MSTP081; ARHB; h6; Rho-related GTP-binding protein RhoB; MST081; RHOH6 |
应用说明
| 应用建议 |
|
||||||
|---|---|---|---|---|---|---|---|
| 应用说明 | * The dilutions indicate recommended starting dilutions and the optimal dilutions or concentrations should be determined by the scientist. | ||||||
| 实际分子量 | ~ 25 kDa |
属性
| 形式 | Liquid |
|---|---|
| 纯化 | Affinity purification with immunogen. |
| 缓冲液 | 0.2% Na2HPO4, 0.9% NaCl, 0.05% Sodium azide and 4% Trehalose. |
| 抗菌剂 | 0.05% Sodium azide |
| 稳定剂 | 4% Trehalose |
| 浓度 | 0.5 mg/ml |
| 存放说明 | For continuous use, store undiluted antibody at 2-8°C for up to a week. For long-term storage, aliquot and store at -20°C or below. Storage in frost free freezers is not recommended. Avoid repeated freeze/thaw cycles. Suggest spin the vial prior to opening. The antibody solution should be gently mixed before use. |
| 注意事项 | For laboratory research only, not for drug, diagnostic or other use. |
生物信息
| 数据库连接 |
Swiss-port # P62745 Human Rho-related GTP-binding protein RhoB |
|---|---|
| 基因名称 | RHOB |
| 全名 | ras homolog family member B |
| 生物功能 | Mediates apoptosis in neoplastically transformed cells after DNA damage. Not essential for development but affects cell adhesion and growth factor signaling in transformed cells. Plays a negative role in tumorigenesis as deletion causes tumor formation. Involved in intracellular protein trafficking of a number of proteins. Targets PKN1 to endosomes and is involved in trafficking of the EGF receptor from late endosomes to lysosomes. Also required for stability and nuclear trafficking of AKT1/AKT which promotes endothelial cell survival during vascular development. Serves as a microtubule-dependent signal that is required for the myosin contractile ring formation during cell cycle cytokinesis. Required for genotoxic stress-induced cell death in breast cancer cells. [UniProt] |
| 细胞定位 | Late endosome membrane; Lipid-anchor. Cell membrane; Lipid-anchor. Nucleus. Cleavage furrow. Note=Late endosomal membrane (geranylgeranylated form). Plasma membrane (farnesylated form). Also detected at the nuclear margin and in the nucleus. Translocates to the equatorial region before furrow formation in a ECT2-dependent manner. [UniProt] |
| 预测分子量 | 22 kDa |
| 翻译后修饰 | Prenylation specifies the subcellular location of RHOB. The farnesylated form is localized to the plasma membrane while the geranylgeranylated form is localized to the endosome. (Microbial infection) Glycosylated at Tyr-34 by Photorhabdus asymbiotica toxin PAU_02230. Mono-O-GlcNAcylation by PAU_02230 inhibits downstream signaling by an impaired interaction with diverse regulator and effector proteins of Rho and leads to actin disassembly. [UniProt] |
检测图片 (3) Click the Picture to Zoom In
-
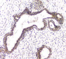
ARG42694 anti-RhoB antibody IHC-P image
Immunohistochemistry: Paraffin-embedded Human renal cancer tissue. Antigen Retrieval: Heat mediation was performed in Citrate buffer (pH 6.0) for 20 min. The tissue section was blocked with 10% goat serum. The tissue section was then stained with ARG42694 anti-RhoB antibody at 1 µg/ml dilution, overnight at 4°C.
-
ARG42694 anti-RhoB antibody WB image
Western blot: 50 µg of samples under reducing condition. Human placenta, HepG2, T-47D, HeLa and COS-7 whole cell lysates stained with ARG42694 anti-RhoB antibody at 0.5 µg/ml dilution, overnight at 4°C.
-
ARG42694 anti-RhoB antibody IHC-P image
Immunohistochemistry: Paraffin-embedded Human mammary cancer tissue. Antigen Retrieval: Heat mediation was performed in Citrate buffer (pH 6.0) for 20 min. The tissue section was blocked with 10% goat serum. The tissue section was then stained with ARG42694 anti-RhoB antibody at 1 µg/ml dilution, overnight at 4°C.
