ARG42948
anti-Relaxin 1 antibody
anti-Relaxin 1 antibody for IHC-Formalin-fixed paraffin-embedded sections and Human
概述
| 产品描述 | Rabbit Polyclonal antibody recognizes Relaxin 1 |
|---|---|
| 反应物种 | Hu |
| 应用 | IHC-P |
| 宿主 | Rabbit |
| 克隆 | Polyclonal |
| 同位型 | IgG |
| 靶点名称 | Relaxin 1 |
| 抗原物种 | Human |
| 抗原 | Synthetic peptide corresponding to a sequence of Human Relaxin 1. (VAAKWKDDVIKLCGRELVRAQIAICGMSTWS) |
| 偶联标记 | Un-conjugated |
| 別名 | bA12D24.3.1; bA12D24.3.2; Prorelaxin H1; RLXH1; H1; H1RLX |
应用说明
| 应用建议 |
|
||||
|---|---|---|---|---|---|
| 应用说明 | IHC-P: Antigen Retrieval: Heat mediation was performed in Citrate buffer (pH 6.0) for 20 min. * The dilutions indicate recommended starting dilutions and the optimal dilutions or concentrations should be determined by the scientist. |
属性
| 形式 | Liquid |
|---|---|
| 纯化 | Affinity purification with immunogen. |
| 缓冲液 | 0.2% Na2HPO4, 0.9% NaCl, 0.05% Sodium azide and 4% Trehalose. |
| 抗菌剂 | 0.05% Sodium azide |
| 稳定剂 | 4% Trehalose |
| 浓度 | 0.5 mg/ml |
| 存放说明 | For continuous use, store undiluted antibody at 2-8°C for up to a week. For long-term storage, aliquot and store at -20°C or below. Storage in frost free freezers is not recommended. Avoid repeated freeze/thaw cycles. Suggest spin the vial prior to opening. The antibody solution should be gently mixed before use. |
| 注意事项 | For laboratory research only, not for drug, diagnostic or other use. |
生物信息
| 数据库连接 | |
|---|---|
| 基因名称 | RLN1 |
| 全名 | relaxin 1 |
| 背景介绍 | Relaxins are known endocrine and autocrine/paracrine hormones, belonging to the insulin gene superfamily. In humans there are three non-allelic relaxin genes, RLN1, RLN2 and RLN3, where RLN1 and RLN2 share high sequence homology. The protein encoded by this gene is synthesized as a single-chain polypeptide but the active form consists of an A chain and a B chain linked by disulfide bonds. Relaxin is produced by the ovary, and targets the mammalian reproductive system to ripen the cervix, elongate the pubic symphysis and inhibit uterine contraction. It may have additional roles in enhancing sperm motility, regulating blood pressure, controlling heart rate and releasing oxytocin and vasopressin. [provided by RefSeq, Jan 2013] |
| 生物功能 | Relaxin is an ovarian hormone that acts with estrogen to produce dilatation of the birth canal in many mammals. May be involved in remodeling of connective tissues during pregnancy, promoting growth of pubic ligaments and ripening of the cervix. [UniProt] |
| 细胞定位 | Secreted. [UniProt] |
| 预测分子量 | 21 kDa |
检测图片 (3) Click the Picture to Zoom In
-
ARG42948 anti-Relaxin 1 antibody IHC-P image
Immunohistochemistry: Paraffin-embedded Human lung cancer tissue. Antigen Retrieval: Heat mediation was performed in Citrate buffer (pH 6.0) for 20 min. The tissue section was blocked with 10% goat serum. The tissue section was then stained with ARG42948 anti-Relaxin 1 antibody at 1 µg/ml dilution, overnight at 4°C.
-
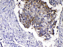
ARG42948 anti-Relaxin 1 antibody IHC-P image
Immunohistochemistry: Paraffin-embedded Human prostatic cancer tissue. Antigen Retrieval: Heat mediation was performed in Citrate buffer (pH 6.0) for 20 min. The tissue section was blocked with 10% goat serum. The tissue section was then stained with ARG42948 anti-Relaxin 1 antibody at 1 µg/ml dilution, overnight at 4°C.
-
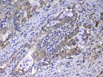
ARG42948 anti-Relaxin 1 antibody IHC-P image
Immunohistochemistry: Paraffin-embedded Human colon cancer tissue. Antigen Retrieval: Heat mediation was performed in Citrate buffer (pH 6.0) for 20 min. The tissue section was blocked with 10% goat serum. The tissue section was then stained with ARG42948 anti-Relaxin 1 antibody at 1 µg/ml dilution, overnight at 4°C.
