ARG63351
anti-RanBP9 / RANBPM antibody
anti-RanBP9 / RANBPM antibody for ICC/IF,IHC-Formalin-fixed paraffin-embedded sections and Human
Cell Biology and Cellular Response antibody; Gene Regulation antibody
概述
| 产品描述 | Goat Polyclonal antibody recognizes RanBP9 / RANBPM |
|---|---|
| 反应物种 | Hu |
| 预测物种 | Ms, Dog, Pig |
| 应用 | ICC/IF, IHC-P |
| 特异性 | This product is also expected to recognize the centrosome-associated truncated isoform RANBPM (BAA23216.1). |
| 宿主 | Goat |
| 克隆 | Polyclonal |
| 同位型 | IgG |
| 靶点名称 | RanBP9 / RANBPM |
| 抗原 | GSCAFATVEDYLH |
| 偶联标记 | Un-conjugated |
| 別名 | RANBPM; RanBPM; BPM-L; Ran-binding protein 9; RanBP9; BPM90; RanBP7; Ran-binding protein M |
应用说明
| 应用建议 |
|
||||||
|---|---|---|---|---|---|---|---|
| 应用说明 | IHC-P: Antigen Retrieval: Steam tissue section in Citrate buffer (pH 6.0). * The dilutions indicate recommended starting dilutions and the optimal dilutions or concentrations should be determined by the scientist. |
属性
| 形式 | Liquid |
|---|---|
| 纯化 | Purified from goat serum by antigen affinity chromatography. |
| 缓冲液 | Tris saline (pH 7.3), 0.02% Sodium azide and 0.5% BSA. |
| 抗菌剂 | 0.02% Sodium azide |
| 稳定剂 | 0.5% BSA |
| 浓度 | 0.5 mg/ml |
| 存放说明 | For continuous use, store undiluted antibody at 2-8°C for up to a week. For long-term storage, aliquot and store at -20°C or below. Storage in frost free freezers is not recommended. Avoid repeated freeze/thaw cycles. Suggest spin the vial prior to opening. The antibody solution should be gently mixed before use. |
| 注意事项 | For laboratory research only, not for drug, diagnostic or other use. |
生物信息
| 数据库连接 | |
|---|---|
| 背景介绍 | This gene encodes a protein that binds RAN, a small GTP binding protein belonging to the RAS superfamily that is essential for the translocation of RNA and proteins through the nuclear pore complex. The protein encoded by this gene has also been shown to interact with several other proteins, including met proto-oncogene, homeodomain interacting protein kinase 2, androgen receptor, and cyclin-dependent kinase 11. [provided by RefSeq, Jul 2008] |
| 研究领域 | Cell Biology and Cellular Response antibody; Gene Regulation antibody |
| 预测分子量 | 78 kDa |
| 翻译后修饰 | Phosphorylated in response to stress. Can be phosphorylated by the cleaved p110 form of CDC2L1 (p110C). Ubiquitinated. Polyubiquitination targets the protein for rapid degradation via the ubiquitin system. Can be deubiquitinated by USP11. |
检测图片 (2) Click the Picture to Zoom In
-
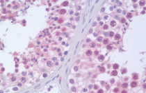
ARG63351 anti-RanBP9 / RANBPM antibody IHC-P image
Immunohistochemistry: Paraffin-embedded Human testis tissue. Antigen Retrieval: Steam tissue section in Citrate buffer (pH 6.0). The tissue section was stained with ARG63351 anti-RanBP9 / RANBPM antibody at 10 µg/ml dilution followed by AP-staining.
-
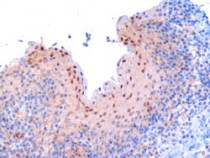
ARG63351 anti-RanBP9 / RANBPM antibody IHC-P image
Immunohistochemistry: Paraffin embedded Human tonsil. (Microwaved antigen retrieval with Tris/EDTA buffer pH9) stained with ARG63351 anti-RanBP9 / RANBPM antibody at 3 µg/ml dilution followed by HRP-staining.
