ARG63999
anti-Radixin antibody
anti-Radixin antibody for IHC-Formalin-fixed paraffin-embedded sections,Western blot and Human,Mouse,Rat
Signaling Transduction antibody
概述
| 产品描述 | Goat Polyclonal antibody recognizes Radixin |
|---|---|
| 反应物种 | Hu, Ms, Rat |
| 预测物种 | Dog |
| 应用 | IHC-P, WB |
| 宿主 | Goat |
| 克隆 | Polyclonal |
| 同位型 | IgG |
| 靶点名称 | Radixin |
| 抗原物种 | Human |
| 抗原 | C-QARDETKKTQND |
| 偶联标记 | Un-conjugated |
| 別名 | Radixin; DFNB24 |
应用说明
| 应用建议 |
|
||||||
|---|---|---|---|---|---|---|---|
| 应用说明 | WB: Recommend incubate at RT for 1h. IHC-P: Antigen Retrieval: Steam tissue section in Citrate buffer (pH 6.0). * The dilutions indicate recommended starting dilutions and the optimal dilutions or concentrations should be determined by the scientist. |
属性
| 形式 | Liquid |
|---|---|
| 纯化 | Purified from goat serum by antigen affinity chromatography. |
| 缓冲液 | Tris saline (pH 7.3), 0.02% Sodium azide and 0.5% BSA. |
| 抗菌剂 | 0.02% Sodium azide |
| 稳定剂 | 0.5% BSA |
| 浓度 | 0.5 mg/ml |
| 存放说明 | For continuous use, store undiluted antibody at 2-8°C for up to a week. For long-term storage, aliquot and store at -20°C or below. Storage in frost free freezers is not recommended. Avoid repeated freeze/thaw cycles. Suggest spin the vial prior to opening. The antibody solution should be gently mixed before use. |
| 注意事项 | For laboratory research only, not for drug, diagnostic or other use. |
生物信息
| 数据库连接 | |
|---|---|
| 背景介绍 | Radixin is a cytoskeletal protein that may be important in linking actin to the plasma membrane. It is highly similar in sequence to both ezrin and moesin. The radixin gene has been localized by fluorescence in situ hybridization to 11q23. A truncated version representing a pseudogene (RDXP2) was assigned to Xp21.3. Another pseudogene that seemed to lack introns (RDXP1) was mapped to 11p by Southern and PCR analyses. Multiple alternatively spliced transcript variants encoding different isoforms have been found for this gene. [provided by RefSeq, May 2012] |
| 研究领域 | Signaling Transduction antibody |
| 预测分子量 | 69 kDa |
| 翻译后修饰 | Phosphorylated by tyrosine-protein kinases. Phosphorylation by ROCK2 suppresses the head-to-tail association of the N-terminal and C-terminal halves resulting in an opened conformation which is capable of actin and membrane-binding (By similarity). |
检测图片 (4) Click the Picture to Zoom In
-
ARG63999 anti-Radixin antibody WB image
Western Blot: Human Tonsil lysate (35 µg protein in RIPA buffer) stained with ARG63999 anti-Radixin antibody at 0.03 µg/ml dilution.
-
ARG63999 anti-Radixin antibody WB image
Western Blot: NIH3T3 (A), HeLa (B), Jurkat (C), and A431 (D) lysates (35 µg protein in RIPA buffer) stained with ARG63999 anti-Radixin antibody at 0.01 µg/ml dilution.
-
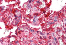
ARG63999 anti-Radixin antibody IHC-P image
Immunohistochemistry: Paraffin-embedded Human placenta tissue. Antigen Retrieval: Steam tissue section in Citrate buffer (pH 6.0). The tissue section was stained with ARG63999 anti-Radixin antibody at 2.5 µg/ml dilution followed by AP-staining.
-
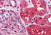
ARG63999 anti-Radixin antibody IHC-P image
Immunohistochemistry: Paraffin-embedded Human kidney tissue. Antigen Retrieval: Steam tissue section in Citrate buffer (pH 6.0). The tissue section was stained with ARG63999 anti-Radixin antibody at 2.5 µg/ml dilution followed by AP-staining.
