ARG42689
anti-RUNX3 antibody
anti-RUNX3 antibody for Flow cytometry,ICC/IF,IHC-Formalin-fixed paraffin-embedded sections,Western blot and Human,Mouse,Rat
概述
| 产品描述 | Rabbit Polyclonal antibody recognizes RUNX3 |
|---|---|
| 反应物种 | Hu, Ms, Rat |
| 应用 | FACS, ICC/IF, IHC-P, WB |
| 宿主 | Rabbit |
| 克隆 | Polyclonal |
| 同位型 | IgG |
| 靶点名称 | RUNX3 |
| 抗原物种 | Human |
| 抗原 | Recombinant protein corresponding to M128-Y270 of Human RUNX3. |
| 偶联标记 | Un-conjugated |
| 別名 | Runt-related transcription factor 3; AML2; Polyomavirus enhancer-binding protein 2 alpha C subunit; CBFA3; SL3/AKV core-binding factor alpha C subunit; Oncogene AML-2; SL3-3 enhancer factor 1 alpha C subunit; PEBP2aC; Core-binding factor subunit alpha-3; CBF-alpha-3; PEA2-alpha C; PEBP2-alpha C; Acute myeloid leukemia 2 protein |
应用说明
| 应用建议 |
|
||||||||||
|---|---|---|---|---|---|---|---|---|---|---|---|
| 应用说明 | * The dilutions indicate recommended starting dilutions and the optimal dilutions or concentrations should be determined by the scientist. | ||||||||||
| 阳性对照 | A431 and U2OS | ||||||||||
| 实际分子量 | ~ 44 kDa |
属性
| 形式 | Liquid |
|---|---|
| 纯化 | Affinity purification with immunogen. |
| 缓冲液 | 0.2% Na2HPO4, 0.9% NaCl, 0.05% Sodium azide and 5% BSA. |
| 抗菌剂 | 0.05% Sodium azide |
| 稳定剂 | 5% BSA |
| 浓度 | 0.5 mg/ml |
| 存放说明 | For continuous use, store undiluted antibody at 2-8°C for up to a week. For long-term storage, aliquot and store at -20°C or below. Storage in frost free freezers is not recommended. Avoid repeated freeze/thaw cycles. Suggest spin the vial prior to opening. The antibody solution should be gently mixed before use. |
| 注意事项 | For laboratory research only, not for drug, diagnostic or other use. |
生物信息
| 数据库连接 |
Swiss-port # Q13761 Human Runt-related transcription factor 3 |
|---|---|
| 基因名称 | RUNX3 |
| 全名 | runt-related transcription factor 3 |
| 背景介绍 | This gene encodes a member of the runt domain-containing family of transcription factors. A heterodimer of this protein and a beta subunit forms a complex that binds to the core DNA sequence 5'-PYGPYGGT-3' found in a number of enhancers and promoters, and can either activate or suppress transcription. It also interacts with other transcription factors. It functions as a tumor suppressor, and the gene is frequently deleted or transcriptionally silenced in cancer. Alternative splicing results in multiple transcript variants. [provided by RefSeq, Mar 2016] |
| 生物功能 | Forms the heterodimeric complex core-binding factor (CBF) with CBFB. RUNX members modulate the transcription of their target genes through recognizing the core consensus binding sequence 5'-TGTGGT-3', or very rarely, 5'-TGCGGT-3', within their regulatory regions via their runt domain, while CBFB is a non-DNA-binding regulatory subunit that allosterically enhances the sequence-specific DNA-binding capacity of RUNX. The heterodimers bind to the core site of a number of enhancers and promoters, including murine leukemia virus, polyomavirus enhancer, T-cell receptor enhancers, LCK, IL3 and GM-CSF promoters (By similarity). May be involved in the control of cellular proliferation and/or differentiation. In association with ZFHX3, upregulates CDKN1A promoter activity following TGF-beta stimulation (PubMed:20599712). CBF complexes repress ZBTB7B transcription factor during cytotoxic (CD8+) T cell development. They bind to RUNX-binding sequence within the ZBTB7B locus acting as transcriptional silencer and allowing for cytotoxic T cell differentiation. CBF complexes binding to the transcriptional silencer is essential for recruitment of nuclear protein complexes that catalyze epigenetic modifications to establish epigenetic ZBTB7B silencing (By similarity). [UniProt] |
| 细胞定位 | Nucleus. Cytoplasm. Note=The tyrosine phosphorylated form localizes to the cytoplasm. Translocates from the cytoplasm to the nucleus following TGF-beta stimulation. [UniProt] |
| 预测分子量 | 44 kDa |
| 翻译后修饰 | Phosphorylated on tyrosine residues by SRC. Phosphorylated by LCK and FYN. [UniProt] |
检测图片 (7) Click the Picture to Zoom In
-
ARG42689 anti-RUNX3 antibody ICC/IF image
Immunofluorescence: U2OS cells were blocked with 10% goat serum and then stained with ARG42689 anti-RUNX3 antibody (green) at 2 µg/ml dilution, overnight at 4°C. DAPI (blue) for nuclear staining.
-
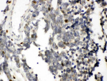
ARG42689 anti-RUNX3 antibody IHC-P image
Immunohistochemistry: Paraffin-embedded Human intestinal cancer tissue stained with ARG42689 anti-RUNX3 antibody.
-
ARG42689 anti-RUNX3 antibody WB image
Western blot: 40 µg of A431 and U2OS whole cell lysates stained with ARG42689 anti-RUNX3 antibody at 0.5 µg/ml dilution.
-
ARG42689 anti-RUNX3 antibody FACS image
Flow Cytometry: THP-1 cells were blocked with 10% normal goat serum and then stained with ARG42689 anti-RUNX3 antibody (blue) at 1 µg/10^6 cells for 30 min at 20°C, followed by incubation with DyLight®488 labelled secondary antibody. Isotype control antibody (green) was rabbit IgG (1 µg/10^6 cells) used under the same conditions. Unlabelled sample (red) was also used as a control.
-
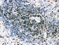
ARG42689 anti-RUNX3 antibody IHC-P image
Immunohistochemistry: Paraffin-embedded Mouse spleen tissue stained with ARG42689 anti-RUNX3 antibody.
-
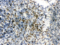
ARG42689 anti-RUNX3 antibody IHC-P image
Immunohistochemistry: Paraffin-embedded Rat spleen tissue stained with ARG42689 anti-RUNX3 antibody.
-
ARG42689 anti-RUNX3 antibody IHC-P image
Immunohistochemistry: Paraffin-embedded Human lung cancer tissue stained with ARG42689 anti-RUNX3 antibody.
