ARG67242
anti-RUNX2 antibody
anti-RUNX2 antibody for ICC/IF,IHC-Formalin-fixed paraffin-embedded sections,Western blot and Human,Mouse,Rat
概述
| 产品描述 | Mouse Monoclonal antibody recognizes RUNX2 |
|---|---|
| 反应物种 | Hu, Ms, Rat |
| 应用 | ICC/IF, IHC-P, WB |
| 宿主 | Mouse |
| 克隆 | Monoclonal |
| 同位型 | IgG1 |
| 靶点名称 | RUNX2 |
| 偶联标记 | Un-conjugated |
| 別名 | RUNX2; RUNX Family Transcription Factor 2; AML3; Runt-Related Transcription Factor 2; CBFA1; Polyomavirus Enhancer-Binding Protein 2 Alpha A Subunit; SL3/AKV Core-Binding Factor Alpha A Subunit; Osteoblast-Specific Transcription Factor 2; SL3-3 Enhancer Factor 1 Alpha A Subunit; Runt Related Transcription Factor 2; Acute Myeloid Leukemia 3 Protein; Oncogene AML-3; PEBP2-Alpha A; PEA2-Alpha A; CBF-Alpha-1; PEBP2aA1; PEBP2A1; OSF-2; CCD1; OSF2; CCD; Core-Binding Factor, Runt Domain, Alpha Subunit 1; Core-Binding Factor Subunit Alpha-1; PEBP2aA; PEA2aA; PEBP2A; CLCD |
应用说明
| 应用建议 |
|
||||||||
|---|---|---|---|---|---|---|---|---|---|
| 应用说明 | * The dilutions indicate recommended starting dilutions and the optimal dilutions or concentrations should be determined by the scientist. |
属性
| 形式 | Liquid |
|---|---|
| 纯化 | Affinity purified |
| 缓冲液 | PBS (pH 7.0), 0.025% ProClin 300 and 20% Glycerol. |
| 抗菌剂 | 0.025% ProClin 300 |
| 稳定剂 | 20% Glycerol |
| 浓度 | 0.5 mg/ml |
| 存放说明 | For continuous use, store undiluted antibody at 2-8°C for up to a week. For long-term storage, aliquot and store at -20°C or below. Storage in frost free freezers is not recommended. Avoid repeated freeze/thaw cycles. Suggest spin the vial prior to opening. The antibody solution should be gently mixed before use. |
| 注意事项 | For laboratory research only, not for drug, diagnostic or other use. |
生物信息
| 数据库连接 |
Swiss-port # Q08775 Mouse Runt-related transcription factor 2 Swiss-port # Q13950 Human Runt-related transcription factor 2 |
|---|---|
| 基因名称 | RUNX2 |
| 全名 | RUNX Family Transcription Factor 2 |
| 背景介绍 | This gene is a member of the RUNX family of transcription factors and encodes a nuclear protein with an Runt DNA-binding domain. This protein is essential for osteoblastic differentiation and skeletal morphogenesis and acts as a scaffold for nucleic acids and regulatory factors involved in skeletal gene expression. The protein can bind DNA both as a monomer or, with more affinity, as a subunit of a heterodimeric complex. Two regions of potential trinucleotide repeat expansions are present in the N-terminal region of the encoded protein, and these and other mutations in this gene have been associated with the bone development disorder cleidocranial dysplasia (CCD). Transcript variants that encode different protein isoforms result from the use of alternate promoters as well as alternate splicing. [provided by RefSeq, Jul 2016] |
| 生物功能 | Inhibits KAT6B-dependent transcriptional activation. [Uniprot] |
| 细胞定位 | Cytoplasm, Nucleus. [Uniprot] |
| 预测分子量 | 57 kDa |
| 翻译后修饰 | Isopeptide bond, Methylation, Phosphoprotein, Ubl conjugation. [Uniprot] |
检测图片 (3) Click the Picture to Zoom In
-
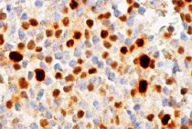
ARG67242 anti-RUNX2 antibody IHC-P image
Immunohistochemistry: Human lymp node stained with ARG67242 anti-RUNX2 antibody at 1:100 dilution.
-
ARG67242 anti-RUNX2 antibody ICC/IF image
Immunofluorescence: MDA-MB-231 stained with ARG67242 anti-RUNX2 antibody at 1:200 dilution.
-
ARG67242 anti-RUNX2 antibody WB image
Western blot: MDA-MB-231 stained with ARG67242 anti-RUNX2 antibody at 1:500 dilution.
