ARG57989
anti-RUNX2 antibody
anti-RUNX2 antibody for ICC/IF,IHC-Formalin-fixed paraffin-embedded sections and Human,Mouse
概述
| 产品描述 | Rabbit Polyclonal antibody recognizes RUNX2 |
|---|---|
| 反应物种 | Hu, Ms |
| 预测物种 | Rat |
| 应用 | ICC/IF, IHC-P |
| 宿主 | Rabbit |
| 克隆 | Polyclonal |
| 同位型 | IgG |
| 靶点名称 | RUNX2 |
| 抗原物种 | Human |
| 抗原 | Synthetic peptide derived from Human RUNX2. |
| 偶联标记 | Un-conjugated |
| 別名 | OSF2; Core-binding factor subunit alpha-1; CLCD; AML3; Acute myeloid leukemia 3 protein; Polyomavirus enhancer-binding protein 2 alpha A subunit; CBFA1; SL3/AKV core-binding factor alpha A subunit; PEA2aA; Osteoblast-specific transcription factor 2; SL3-3 enhancer factor 1 alpha A subunit; PEBP2-alpha A; Oncogene AML-3; CBF-alpha-1; CCD; PEBP2aA; CCD1; OSF-2; PEA2-alpha A; Runt-related transcription factor 2 |
应用说明
| 应用建议 |
|
||||||
|---|---|---|---|---|---|---|---|
| 应用说明 | * The dilutions indicate recommended starting dilutions and the optimal dilutions or concentrations should be determined by the scientist. |
属性
| 形式 | Liquid |
|---|---|
| 纯化 | Affinity purified. |
| 缓冲液 | PBS (pH 7.4), 150mM NaCl, 0.02% Sodium azide and 50% Glycerol. |
| 抗菌剂 | 0.02% Sodium azide |
| 稳定剂 | 50% Glycerol |
| 存放说明 | For continuous use, store undiluted antibody at 2-8°C for up to a week. For long-term storage, aliquot and store at -20°C. Storage in frost free freezers is not recommended. Avoid repeated freeze/thaw cycles. Suggest spin the vial prior to opening. The antibody solution should be gently mixed before use. |
| 注意事项 | For laboratory research only, not for drug, diagnostic or other use. |
生物信息
| 数据库连接 |
Swiss-port # Q08775 Mouse Runt-related transcription factor 2 Swiss-port # Q13950 Human Runt-related transcription factor 2 |
|---|---|
| 基因名称 | RUNX2 |
| 全名 | runt-related transcription factor 2 |
| 背景介绍 | This gene is a member of the RUNX family of transcription factors and encodes a nuclear protein with an Runt DNA-binding domain. This protein is essential for osteoblastic differentiation and skeletal morphogenesis and acts as a scaffold for nucleic acids and regulatory factors involved in skeletal gene expression. The protein can bind DNA both as a monomer or, with more affinity, as a subunit of a heterodimeric complex. Mutations in this gene have been associated with the bone development disorder cleidocranial dysplasia (CCD). Transcript variants that encode different protein isoforms result from the use of alternate promoters as well as alternate splicing. [provided by RefSeq, Jul 2008] |
| 生物功能 | Transcription factor involved in osteoblastic differentiation and skeletal morphogenesis. Essential for the maturation of osteoblasts and both intramembranous and endochondral ossification. CBF binds to the core site, 5'-PYGPYGGT-3', of a number of enhancers and promoters, including murine leukemia virus, polyomavirus enhancer, T-cell receptor enhancers, osteocalcin, osteopontin, bone sialoprotein, alpha 1(I) collagen, LCK, IL-3 and GM-CSF promoters. In osteoblasts, supports transcription activation: synergizes with SPEN/MINT to enhance FGFR2-mediated activation of the osteocalcin FGF-responsive element (OCFRE) (By similarity). Inhibits KAT6B-dependent transcriptional activation. [UniProt] |
| 细胞定位 | Nucleus. [UniProt] |
| 预测分子量 | 57 kDa |
| 翻译后修饰 | Phosphorylated; probably by MAP kinases (MAPK). Phosphorylation by HIPK3 is required for the SPEN/MINT and FGF2 transactivation during osteoblastic differentiation (By similarity). Phosphorylation at Ser-451 by CDK1 promotes endothelial cell proliferation required for tumor angiogenesis probably by facilitating cell cycle progression. Isoform 3 is phosphorylated on Ser-340. [UniProt] |
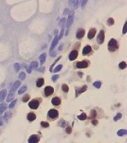
检测图片 (2) Click the Picture to Zoom In
