ARG41229
anti-RUNX1 / AML1 antibody
anti-RUNX1 / AML1 antibody for IHC-Frozen sections,IHC-Formalin-fixed paraffin-embedded sections,Western blot and Human,Mouse,Rat
概述
| 产品描述 | Rabbit Polyclonal antibody recognizes RUNX1 / AML1 |
|---|---|
| 反应物种 | Hu, Ms, Rat |
| 预测物种 | Hm |
| 应用 | IHC-Fr, IHC-P, WB |
| 宿主 | Rabbit |
| 克隆 | Polyclonal |
| 同位型 | IgG |
| 靶点名称 | RUNX1 / AML1 |
| 抗原物种 | Human |
| 抗原 | Synthetic peptide corresponding to aa. 200-233 of Human RUNX1 / AML1. (ELEQLRRTAMRVSPHHPAPTPNPRASLNHSTAFN) |
| 偶联标记 | Un-conjugated |
| 別名 | Acute myeloid leukemia 1 protein; Oncogene AML-1; PEBP2-alpha B; Polyomavirus enhancer-binding protein 2 alpha B subunit; Runt-related transcription factor 1; AML1; CBFA2; AML1-EVI-1; CBF2alpha; PEBP2alpha; AMLCR1; EVI-1; SL3-3 enhancer factor 1 alpha B subunit; Core-binding factor subunit alpha-2; PEBP2aB; CBF-alpha-2; SL3/AKV core-binding factor alpha B subunit; PEA2-alpha B |
应用说明
| 应用建议 |
|
||||||||
|---|---|---|---|---|---|---|---|---|---|
| 应用说明 | IHC-P: Antigen Retrieval: Heat mediation was performed in Citrate buffer (pH 6.0) for 20 min. * The dilutions indicate recommended starting dilutions and the optimal dilutions or concentrations should be determined by the scientist. |
||||||||
| 实际分子量 | 55 kDa |
属性
| 形式 | Liquid |
|---|---|
| 纯化 | Affinity purification with immunogen. |
| 缓冲液 | 0.2% Na2HPO4, 0.9% NaCl, 0.05% Sodium azide and 5% BSA. |
| 抗菌剂 | 0.05% Sodium azide |
| 稳定剂 | 5% BSA |
| 浓度 | 0.5 mg/ml |
| 存放说明 | For continuous use, store undiluted antibody at 2-8°C for up to a week. For long-term storage, aliquot and store at -20°C or below. Storage in frost free freezers is not recommended. Avoid repeated freeze/thaw cycles. Suggest spin the vial prior to opening. The antibody solution should be gently mixed before use. |
| 注意事项 | For laboratory research only, not for drug, diagnostic or other use. |
生物信息
| 数据库连接 |
Swiss-port # Q01196 Human Runt-related transcription factor 1 |
|---|---|
| 基因名称 | RUNX1 |
| 全名 | runt-related transcription factor 1 |
| 背景介绍 | Core binding factor (CBF) is a heterodimeric transcription factor that binds to the core element of many enhancers and promoters. The protein encoded by this gene represents the alpha subunit of CBF and is thought to be involved in the development of normal hematopoiesis. Chromosomal translocations involving this gene are well-documented and have been associated with several types of leukemia. Three transcript variants encoding different isoforms have been found for this gene. [provided by RefSeq, Jul 2008] |
| 生物功能 | CBF binds to the core site, 5'-PYGPYGGT-3', of a number of enhancers and promoters, including murine leukemia virus, polyomavirus enhancer, T-cell receptor enhancers, LCK, IL-3 and GM-CSF promoters. The alpha subunit binds DNA and appears to have a role in the development of normal hematopoiesis. Isoform AML-1L interferes with the transactivation activity of RUNX1. Acts synergistically with ELF4 to transactivate the IL-3 promoter and with ELF2 to transactivate the mouse BLK promoter. Inhibits KAT6B-dependent transcriptional activation. Controls the anergy and suppressive function of regulatory T-cells (Treg) by associating with FOXP3. Activates the expression of IL2 and IFNG and down-regulates the expression of TNFRSF18, IL2RA and CTLA4, in conventional T-cells. [UniProt] |
| 细胞定位 | Nucleus. [UniProt] |
| 预测分子量 | 49 kDa |
| 翻译后修饰 | Phosphorylated in its C-terminus upon IL-6 treatment. Phosphorylation enhances interaction with KAT6A. Methylated. Phosphorylated in Ser-249 Thr-273 and Ser-276 by HIPK2 when associated with CBFB and DNA. This phosphorylation promotes subsequent EP300 phosphorylation. [UniProt] |
检测图片 (6) Click the Picture to Zoom In
-
ARG41229 anti-RUNX1 / AML1 antibody IHC-Fr image
Immunohistochemistry: Frozen section of Rat spleen tissue. The tissue section was blocked with 10% goat serum. The tissue section was then stained with ARG41229 anti-RUNX1 / AML1 antibody at 1 µg/ml dilution, overnight at 4°C.
-
ARG41229 anti-RUNX1 / AML1 antibody IHC-P image
Immunohistochemistry: Paraffin-embedded Rat thymus tissue. Antigen Retrieval: Heat mediation was performed in Citrate buffer (pH 6.0, epitope retrieval solution) for 20 min. The tissue section was blocked with 10% goat serum. The tissue section was then stained with ARG41229 anti-RUNX1 / AML1 antibody at 1 µg/ml dilution, overnight at 4°C.
-
ARG41229 anti-RUNX1 / AML1 antibody WB image
Western blot: 50 µg of samples under reducing conditions. HL-60, Rat thymus and Mouse thymus lysates stained with ARG41229 anti-RUNX1 / AML1 antibody at 0.5 µg/ml, overnight at 4°C.
-
ARG41229 anti-RUNX1 / AML1 antibody IHC-P image
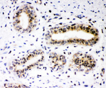
Immunohistochemistry: Paraffin-embedded Human mammary cancer tissue. Antigen Retrieval: Heat mediation was performed in Citrate buffer (pH 6.0, epitope retrieval solution) for 20 min. The tissue section was blocked with 10% goat serum. The tissue section was then stained with ARG41229 anti-RUNX1 / AML1 antibody at 1 µg/ml dilution, overnight at 4°C.
-
ARG41229 anti-RUNX1 / AML1 antibody IHC-P image
Immunohistochemistry: Paraffin-embedded Mouse intestine tissue. Antigen Retrieval: Heat mediation was performed in Citrate buffer (pH 6.0, epitope retrieval solution) for 20 min. The tissue section was blocked with 10% goat serum. The tissue section was then stained with ARG41229 anti-RUNX1 / AML1 antibody at 1 µg/ml dilution, overnight at 4°C.
-
ARG41229 anti-RUNX1 / AML1 antibody IHC-P image
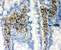
Immunohistochemistry: Paraffin-embedded Rat intestine tissue. Antigen Retrieval: Heat mediation was performed in Citrate buffer (pH 6.0, epitope retrieval solution) for 20 min. The tissue section was blocked with 10% goat serum. The tissue section was then stained with ARG41229 anti-RUNX1 / AML1 antibody at 1 µg/ml dilution, overnight at 4°C.
